SmileJet
Confidential โ€” for patient review

DentalSPA, Dentistas en Playa del Carmen

10 avenida nte y calle 1ra Sur Centro, Calica, Playa Del Carmen, Mexico

Last audited April 2026 By SmileJet Audit Team How we audit โ†’
4.9/5  · 249 reviews

Why Choose DentalSPA, Dentistas en Playa del Carmen in Playa Del Carmen?

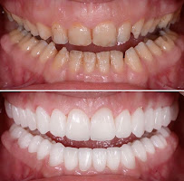
DentalSPA is a modern dental clinic in Playa del Carmen, Mexico, established in 2010, specializing in dental implants and cosmetic dentistry. Features on-site CAD-CAM laboratory for rapid crown fabrication with quality guarantee.

DentalSPA is a modern dental clinic located in Playa del Carmen, Mexico, established in 2010 as a specialized provider of implant dentistry and cosmetic dental services. The clinic combines professional expertise with cutting-edge technology, featuring an on-site CAD-CAM laboratory that enables rapid crown fabrication and quality assurance for patients in Playa del Carmen.

Playa del Carmen is situated on Mexico's Caribbean coast in Quintana Roo, known for its beautiful beaches and reputation as a premier international destination. DentalSPA in Playa del Carmen serves local patients and international dental tourism visitors seeking quality dental treatment combined with a vacation setting.

Treatments & Specialties

DentalSPA in Playa del Carmen offers comprehensive general and cosmetic dental services with special expertise in implant dentistry:

  • Dental Implants - Advanced implant placement and restoration with quality materials
  • Cosmetic Dentistry - Aesthetic treatments and smile enhancement
  • Dental Crowns - High-quality crowns fabricated on-site with CAD-CAM technology
  • Teeth Whitening - Professional whitening treatments
  • General Dentistry - Preventive care, exams, and routine treatment
  • Restorative Dentistry - Fillings and tooth restoration
  • Dental Emergencies - Urgent dental care services
  • Bridgework & Prosthetics - Custom fabricated restorations

Technology & Facilities

DentalSPA in Playa del Carmen maintains a modern dental facility with contemporary equipment and technology. The clinic features an on-site CAD-CAM laboratory, enabling rapid and high-quality crown fabrication. The digital impression technology and on-site milling capability allow DentalSPA in Playa del Carmen to provide fast turnaround times - typically 4-7 days for single to multiple crowns - while maintaining strict quality control.

The on-site laboratory at DentalSPA in Playa del Carmen ensures rapid fabrication times and consistent quality. All crowns come with a 3-year quality guarantee, reflecting the clinic's confidence in its work and technology.

Why Choose DentalSPA in Playa del Carmen

Playa del Carmen has become a premier destination for dental tourism in Mexico, and DentalSPA exemplifies the quality of modern dental care available in the region. The clinic's on-site CAD-CAM laboratory, combined with experienced staff and modern equipment, makes it an excellent choice for patients requiring dental implants or cosmetic restorations. Patients choose DentalSPA in Playa del Carmen for the combination of quality workmanship, rapid turnaround times, affordable pricing compared to North America, and the opportunity to recover in a beautiful Caribbean destination.

Patient reviews of DentalSPA in Playa del Carmen highlight the professional staff, clear communication, patience with anxious patients, and quality outcomes. Dr. Victor and the team are noted for excellent patient care and explaining procedures thoroughly.

Patient Experience

At DentalSPA in Playa del Carmen, patient care and comfort are priorities. The professional staff is experienced in working with international patients and creates a welcoming environment for anxious or nervous patients. Consultations include detailed treatment planning and clear explanation of procedures and expected outcomes.

DentalSPA in Playa del Carmen provides professional dental care in a modern clinical setting, with attention to patient communication and satisfaction. The clinic's extended hours and weekend availability demonstrate commitment to patient accessibility. The combination of quality work, rapid turnaround, and professional service makes DentalSPA an attractive choice for dental tourism patients.

Location

DentalSPA is conveniently located in Playa del Carmen, Mexico, in the Centro neighborhood. Playa del Carmen is situated on Mexico's Caribbean coast in Quintana Roo, known for its white sand beaches, turquoise waters, world-class resorts, and excellent international infrastructure. The location of DentalSPA in Playa del Carmen makes it easily accessible to international visitors and provides an ideal setting for combined dental treatment and vacation recovery.

Patient Reviews from Playa Del Carmen

4.9

โ˜… 249 reviews

S

Susan Mills

April 2026 ยท โ˜… 5

Highly recommed Dr Victor was amazing every dentist has made my daughter anxious not Victor he was great we will never go anywhere else.

Clinic response ():

Response from the owner 2 years agoThank you, Susans for taking the time to share your experience at our clinic, at DentalSPA is very important that every patient feels relax and confident to come to the dentist, it will be our pleasure to see you again when your travel plans bring you back into Playa

P

Patricia Mooney

April 2026 ยท โ˜… 5

A wonderful experience for the past 2 years. I first went last winter to have a crown and returned this year to have 2 more done. Everyone is very attentive and the dentist is very compassionate and professional. They speak English very well. Prices are so affordable. I'll back next year!

Clinic response ():

Response from the owner 2 years agoDear Patricia: It has been a pleasure having you as a patient, we appreciate your trust and we are very happy to know that the results have been to your satisfaction, we will be very happy to see you again during your next visit.

A

Andrew Tran

April 2026 ยท โ˜… 5

Went for a Last minute teeth cleaning, Dr. Frida was absolutely incredible. One of the best teeth cleaning experiences I have ever had, so gentle, the entire staff was super accommodating, clean professional facility. Will %100 be back again

Clinic response ():

Response from the owner 2 years agoDear Andrew: We are glad to know that you felt well assisted during your visit to our clinic and we appreicate the special mention to Dr. Frida, we will make sure that she know about it. We're looking forward to see you again.

M

Maryam El

April 2026 ยท โ˜… 5

Got a bunch of dental work done with Dr. Victor Betancourt. Iโ€™m very satisfied, he is awesome, the staff is awesome and very responsive, and very flexible with appointments. Highly recommend

Clinic response ():

Response from the owner 2 years agoDear Maryam We appreciate the confidence you gave us, and we are glad that you are satisfied with the results. We will be happy to see you again in a near future.

A

Alex Heckscher

April 2026 ยท โ˜… 5

Excellent place, high-quality service at a reasonable price. Frida worked with my twice, giving me a cleaning and then filling a couple of cavities. She was very thorough and attentive. My partner saw Dr. Bettancourt for more complex work including crowns, and was very happy with that as well.

Clinic response ():

Response from the owner 2 years agoDear Alex: Thank you for taking the time to share your experience with us, it is always a pleasure to learn that we could fullfil our patients expectations, we'll make โ€ฆ More

V

Vesta Walker

April 2026 ยท โ˜… 5

Excellent experience! The receptionist, doctors and massage therapist go above and beyond for their patients. I came from NYC for a root canal & crown, which was painless and went smoothly. I also decided to replace my filling while there. โ€ฆ

Clinic response ():

Response from the owner 2 years agoDear Vesta: it's always very nice to hear that we achieved our goal of offering high quiality services with a human touch. It was a pleasure to help you with your dental โ€ฆ More

C

Caryl Rieckman

April 2026 ยท โ˜… 5

Frida was very personable, professional, and she did an excellent job on my tooth. I am very pleased.

Clinic response ():

Response from the owner 3 years agoHi Caryl! Thank you for your comments, we will make sure Frida knows about it, at DentalSPA we work hard to make our patients feel comfortable and relaxed while having a top-notch dental attention

K

kelly brogan

April 2026 ยท โ˜… 5

Such a wonderful facility!!! My husband cracked his partial having lunch on 5th and was in full blown panic mode. We googled dentist, and walked over and they were able to help us right away! Front staff and Dr Victor were wonderful!!

Clinic response ():

Response from the owner 3 years agoDear Kelly: Thank you for your comments, we are glad we were able to help your husband and that you can continue to enjoy your visit to Playa!

T

T S

April 2026 ยท โ˜… 5

Easy and quick booking of appointment for the next day. The service was very quick and professional. I was happy with the experience and would recommend it.

Clinic response ():

Response from the owner 3 years agoDear T S: Thank you for your comments, we are glad to know that we have achieved our goal of providing a professional, effective and high quality experience.

G

Ghislaine Romi

April 2026 ยท โ˜… 5

While in Playa for the holidays, I had a one-hour leg massage from Serena. Very professional and highly competent, and speaking a little French, we were able to chat. She gave me a wonderful massage and soothed my leg muscles. Thank you so โ€ฆ

Clinic response ():

Response from the owner 3 years agoDear Ghislaine, Thank you so much for taking the time to share your experience with us. It's always a pleasure to know that our clients are satisfied with the service we provide. Our therapists are highly qualified to deliver excellent service, and we're delighted that this was the case for you. Translated by Google ใƒป See original (French)

Loading more reviews...
All reviews loaded

Your Safety & Quality Guarantee

Every clinic on SmileJet is evaluated by our international medical advisory board and must meet strict quality, safety, and hygiene standards.

Similar Clinics in Playa Del Carmen

Nearby Clinics in Mexico

Book Free Consultation

Request Sent!

We'll get back to you within 24 hours with a personalised quote.

DentalSPA, Dentistas en Playa del Carmen

Free & no obligation. We typically respond within 24 hours.

★ 4.9 (249 reviews)

Verify on AI

Ask AI assistants about this โ€” powered by smilejet.app