SmileJet
Confidential — for patient review

ZUN CLINIK. Clínica de Especialidades Dentales

medica anexa al hospital trinidad, tlaxcala, Minatitlan esquina-piso 1 consultorio 14, Mexico City, Mexico

Last audited April 2026 By SmileJet Audit Team How we audit →
4.9/5  · 83 reviews

Why Choose ZUN CLINIK. Clínica de Especialidades Dentales in Mexico City?

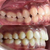
ZUN CLINIK in Roma Sur, Mexico City is led by AAO/WFO-member Dr. Marisol Almeida, specializing in orthodontics using Damon and Ormco systems, TMJ treatment, and aesthetic dentistry.

ZUN CLINIK - Clinica de Especialidades Dentales is a specialist dental clinic located in Roma Sur, one of Mexico City's most culturally rich and internationally popular neighborhoods. Situated at Calle Tlaxcala / Minatitlan esquina, Piso 1, Consultorio 14, the clinic is led by Dr. Marisol Almeida Gonzalez, a specialist in orthodontics and maxillary orthopedics with over 7 years of dedicated experience and dual membership in the American Association of Orthodontists (AAO) and the World Federation of Orthodontists (WFO). These international credentials position ZUN CLINIK among the more rigorously trained orthodontic practices in Mexico City.

The clinic's mission is to work as a collaborative team of specialists to improve the quality of life of each patient and create smiles worth sharing. This philosophy is reflected in the detailed, patient-centered approach to treatment planning and execution that characterizes the ZUN CLINIK experience. Dr. Almeida Gonzalez has completed her training at the Hospital Infantil de Mexico Federico Gomez, published research in the Mexican Orthodontics Journal, and maintains ongoing professional development across multiple dental specialties. For patients in Mexico City seeking an orthodontist with internationally validated credentials and a research-backed clinical approach, ZUN CLINIK stands out as a premier choice.

Treatments & Specialties

ZUN CLINIK offers a focused yet comprehensive range of specialist and general dental services:

  • Traditional Orthodontics - metal and ceramic bracket systems using premium brands including Damon (self-ligating), Ormco, Forestadent, and Henry Schein
  • Self-Ligating Orthodontics (Damon System) - advanced bracket technology requiring fewer adjustments and providing more comfortable tooth movement
  • Invisible Orthodontics (Clear Aligners) - transparent, removable aligners for discreet alignment correction
  • Maxillary Orthopedics - specialist treatment for jaw growth issues and bite correction, particularly for adolescent patients
  • Temporomandibular Joint (TMJ) Treatment - specialist care for jaw joint disorders including viscosuplementation therapy and gnathologic guard fabrication
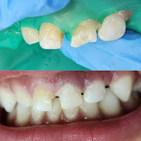
  • Dental Veneers & Aesthetic Reshaping - porcelain and composite veneers for smile enhancement
  • Teeth Whitening - professional in-office and take-home whitening treatments
  • Dental Crowns - full-coverage restorations for damaged or weakened teeth
  • Composite Restorations (Resins) - tooth-colored fillings for cavities and fractures
  • Basic Restorations - routine dental repair and maintenance treatments

Technology & Facilities

The clinic is equipped with technology appropriate for specialist orthodontic and TMJ care. Tomographic interpretation capabilities allow detailed 3D imaging analysis for complex orthodontic planning and TMJ assessment, providing diagnostic depth beyond standard 2D radiography. The use of internationally recognized orthodontic systems, including Damon self-ligating brackets, Ormco and Forestadent bracket systems, and Ivoclar materials, ensures that patients receive treatment with the same equipment and materials used by leading orthodontic practices worldwide.

The viscosuplementation technology available for TMJ treatment is a specialized intervention that goes beyond the capabilities of most general dental practices, requiring specific training and equipment that ZUN CLINIK has specifically acquired. The clinic's location within a medical complex adjacent to hospital facilities provides an added layer of clinical infrastructure for complex cases in Mexico City.

Why Choose ZUN CLINIK in Mexico City

Dr. Almeida Gonzalez's dual membership in the AAO and WFO is a meaningful credential for patients evaluating orthodontic specialists in Mexico City. These organizations require members to maintain ethical standards, stay current with continuing education, and demonstrate clinical competence - standards that are universal rather than specific to Mexican practice regulations. For patients from the United States or Canada accustomed to seeking orthodontists with AAO membership, finding equivalent credentials in Mexico City at a fraction of the cost is a significant advantage.

The clinic's specialist focus on TMJ disorders is particularly valuable. Temporomandibular joint dysfunction is a condition that many general dentists refer out due to its complexity, yet it frequently occurs alongside orthodontic issues. Having both orthodontic and TMJ expertise under one roof at ZUN CLINIK allows for more coordinated, comprehensive treatment planning for patients with both conditions in Mexico City.

The Roma Sur location provides excellent accessibility within Mexico City, with multiple metro and Metrobus connections and easy access from major hotels in the Condesa, Roma Norte, and Cuauhtemoc areas. The neighborhood's walkable character and abundant cafes and restaurants make time between orthodontic adjustment appointments genuinely pleasant.

Patient Experience

Patient reviews of ZUN CLINIK consistently highlight Dr. Almeida Gonzalez's meticulous attention to individual cases and her thoroughness in explaining treatment plans. Orthodontic treatment is a multi-month or multi-year commitment, and patients appreciate a specialist who takes the time to explain each phase of treatment, the rationale behind bracket or aligner adjustments, and what to expect at each stage of tooth movement. This level of clinical communication builds the trust required for long-term treatment relationships.

For international patients visiting Mexico City who are mid-orthodontic treatment (having started treatment at home) and need adjustments or monitoring while in the city, ZUN CLINIK's specialist expertise and familiarity with major international bracket systems makes it well-placed to provide continuity of orthodontic care during extended stays in Mexico City.

Location & Contact

ZUN CLINIK - Clinica de Especialidades Dentales is located at Calle Tlaxcala / Minatitlan esquina, Piso 1, Consultorio 14, Roma Sur, Cuauhtemoc, 06760 Mexico City (CDMX), Mexico.

  • Lead Specialist: Dr. Marisol Almeida Gonzalez, Orthodontics and Maxillary Orthopedics (AAO Member, WFO Member)
  • Specialties: Orthodontics, Invisible Aligners, TMJ Treatment, Aesthetic Dentistry
  • Systems Used: Damon, Ormco, Forestadent, Ivoclar, Henry Schein
  • Social Media: @zunclinik on Instagram and Facebook
  • Neighborhood: Roma Sur, Mexico City

For patients in Mexico City seeking internationally credentialed orthodontic care with specialist expertise in the Damon system, invisible aligners, and TMJ treatment, ZUN CLINIK in Roma Sur offers the clinical depth and patient-centered approach to deliver outstanding orthodontic results in one of the Mexican capital's most vibrant neighborhoods.

Patient Reviews from Mexico City

4.9

★ 83 reviews

M

Mina González Barragán

March 2026 · ★ 5

Excellent service and efficiency. I've never been so satisfied with the results. Now I can show off my smile without worry and enjoy healthy teeth for a long time. Thank you so much, Dr. Marisol and your entire team.

Clinic response ():

Response from the owner 3 years agoThank you for having you with us! You can always count on the best results 😀 … Translated by Google ・ See original (Spanish)

A

Alexia Gonzalez

March 2026 · ★ 5

The best! No one could help me with my bruxism until I came to Dr. Marisol!

I

Irene Bolds-Hatten

March 2026 · ★ 5

This was the best dentist experience I’ve ever had! Dra. Marisol was so gracious and made me feel so cared for. She also saw me the next day after making an appointment and was very responsive! We also had a great conversation during the appointment! The other staff was kind and welcoming as well!

M

Michell Camacho

March 2026 · ★ 5

Dr. Marisol explained my treatment in great detail. She's a very attentive doctor, with a delicate approach to patients, and she gave me a lot of confidence because she has the training and knowledge to give you the correct diagnosis. I highly recommend the clinic. ✅

M

Mariana Rodriguez

March 2026 · ★ 5

I was treated by Dr. Fernanda Ceballos, who is extremely patient and professional. Her treatment is always timely, and the materials she uses are of excellent quality, unlike other clinics I've been to, which forced me to return for the same treatment due to poor quality materials.

R

Rodrigo Martín Ergoyena

March 2026 · ★ 5

Dr. Marisol helped me a lot improve my joint dysfunction, explaining everything clearly! She also treated some of my cavities without causing any harm. The treatment at the clinic is very good!

S

Skarlett Bonilla

March 2026 · ★ 5

I went to the clinic mainly for teeth whitening, and then I started orthodontic treatment with Marisol, which has had excellent results and is still ongoing. The cleaning was one of the best I've ever had. I really like the clinic's service.

L

Luis Batta

March 2026 · ★ 5

The facilities are always impeccable, offering a comfortable environment and first-class service. Marisol is an exceptional dentist: friendly, professional, and impeccably followed up on my case. Highly recommended.

Clinic response ():

Response from the owner 11 months agoIt's always a pleasure to serve you, Luis, and thank you for your trust. You'll be done very soon. Translated by Google ・ See original (Spanish)

A

Aline Hernandez

March 2026 · ★ 5

Dr. Marisol's care is excellent! I always feel very comfortable and well cared for at every appointment. She is very professional, kind, and always makes sure to explain everything clearly. I definitely recommend Dr. Marisol to anyone looking for a trustworthy dentist. 🦷🪥✨ …

Clinic response ():

Response from the owner 11 months agoThank you for your trust! You'll be the first in your family to complete your treatment. 😀🦷 … Translated by Google ・ See original (Spanish)

M

Mavhi Villalobos

March 2026 · ★ 5

Our experience at Zun Clinic has been one of quality and warmth. Thank you, Dr. Marisol 🌸 …

Clinic response ():

Response from the owner 11 months agoIt's a pleasure! And we're always at your service. Translated by Google ・ See original (Spanish)

Loading more reviews...
All reviews loaded

Your Safety & Quality Guarantee

Every clinic on SmileJet is evaluated by our international medical advisory board and must meet strict quality, safety, and hygiene standards.

Similar Clinics in Mexico City

Nearby Clinics in Mexico

Book Free Consultation

Request Sent!

We'll get back to you within 24 hours with a personalised quote.

ZUN CLINIK. Clínica de Especialidades Dentales

Free & no obligation. We typically respond within 24 hours.

★ 4.9 (83 reviews)

Verify on AI

Ask AI assistants about this — powered by smilejet.app