Confidential — for patient review

Zdental Ordinacija

Ul. Strossmayerova 8, Rijeka, Croatia

Advertisement
Last audited May 2026 By SmileJet Audit Team How we audit →
5.0/5  · 53 reviews

Why Choose Zdental Ordinacija in Rijeka?

Zdental is an elite dental clinic in Rijeka, Croatia, with a university-affiliated team led by Dr. Zlatko Cirkovic (NYU implant master, 5000+ implants) and academic specialists in periodontology and prosthetics.

Zdental Ordinacija — operating as Z Dental — is an elite dental clinic located at Strossmayerova 8 in Rijeka, Croatia, distinguished by one of the most academically credentialed clinical teams of any private dental practice in the city. Since joining the Luxoria Z-Dental network in 2022, the clinic has combined its specialist expertise with the resources and standards of a recognized dental group, offering patients in Rijeka access to a multidisciplinary team that includes a Master in Implantology from New York University, an Associate Professor and specialist in periodontology, and an Associate Professor and dental prosthetics specialist from the University of Rijeka Faculty of Medicine.

The clinic's philosophy is founded on making dental visits genuinely stress-free, providing each patient with individualized attention, complete dedication, and a comfortable, relaxed experience that transforms the perception of dental care. The team uses only the highest quality, most modern materials from world-renowned manufacturers — a commitment reflected throughout every discipline the clinic serves. With a team that participates regularly in professional development courses and holds membership in leading dental associations including the Croatian Chamber of Dental Medicine and the European Association for Osseointegration, Zdental in Rijeka maintains clinical standards aligned with the leading edge of European dental medicine.

Treatments & Specialties

Zdental in Rijeka provides a comprehensive, specialist-led range of dental services across multiple disciplines:

  • Implantology: Led by Dr. Zlatko Ćirković — a graduate of the Faculty of Medicine Rijeka (2005) and holder of a Master's degree in Implantology and Oral Rehabilitation from New York University (NYU) Dentistry — the clinic offers single-tooth implants, multi-implant restorations, and full-arch fixed rehabilitations. Dr. Ćirković has placed over 5,000 dental implants and completed approximately 500 All-on-4® procedures.
  • All-on-4® Full-Arch Rehabilitation: With approximately 500 All-on-4® procedures completed by Dr. Ćirković alone, Zdental carries one of the most significant concentrations of All-on-4® experience among dental clinics in Rijeka — making the clinic a specialist destination for patients seeking complete arch restoration.
  • Oral Surgery: Comprehensive surgical services including extractions, complex surgical procedures, and advanced bone augmentation procedures managed by Dr. Vladimir Podrug, who holds extensive training in bone augmentation and prosthetic rehabilitation, and serves as a teaching base instructor for the Faculty of Medicine Split.
  • Bone Augmentation: Advanced bone grafting and augmentation procedures performed by Dr. Podrug, enabling implant treatment for patients with insufficient bone volume and expanding the range of achievable implant outcomes.
  • Periodontology: Specialist periodontal care led by Assoc. Prof. Dr. Davor Kuiš — a specialist in periodontology from the Faculty of Medicine Rijeka — delivering research-informed, academically grounded diagnosis and treatment of gum disease at all clinical stages.
  • Prosthodontics: Specialist prosthetic rehabilitation under Assoc. Prof. Dr. Petra Tariba Knežević — a specialist in dental prosthetics employed at the Faculty of Medicine, University of Rijeka — providing patients with access to academic-level expertise in complex prosthetic reconstruction.
  • Implant Prosthodontics: The integration of implantology and prosthodontics across the team enables seamless coordination of implant placement and prosthetic superstructure design for optimal functional and aesthetic outcomes.
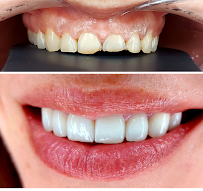
  • Aesthetic Dentistry: Comprehensive cosmetic treatments including veneers, composite bonding, and teeth whitening, guided by specialist knowledge of occlusion and prosthetics to ensure that aesthetic enhancements are functionally sound as well as visually compelling.
  • Pediatric & Preventive Dentistry: Child-focused preventive and restorative care, including routine check-ups, hygiene treatments, and early intervention protocols to establish oral health foundations from childhood.

Technology & Facilities

At Zdental in Rijeka, the clinical team's exceptional academic credentials are matched by a commitment to using the most modern materials and technology available in contemporary dental medicine. The clinic uses materials from world-renowned manufacturers exclusively — ensuring that every restoration, implant, and prosthetic component meets the highest international quality standards.

The team's academic affiliations with the Faculty of Medicine, University of Rijeka and Faculty of Medicine Split create ongoing access to the latest research and clinical innovations in implantology, periodontology, and prosthodontics. Dr. Ćirković's NYU-level training in implant planning and execution represents international academic validation of a clinical skill set that is directly applied in every implant case at the clinic. The European Association for Osseointegration membership further ensures that the team's implant protocols align with the highest-evidence clinical guidelines available in the field.

Why Choose Zdental in Rijeka

The clinical profile of Zdental in Rijeka represents a genuinely exceptional combination of academic credentials, specialist expertise, and real-world clinical volume:

  • NYU-trained implant specialist: Dr. Zlatko Ćirković's Master's degree in Implantology and Oral Rehabilitation from New York University places him among the most internationally credentialed implant specialists practicing in Croatia.
  • 5,000+ implants placed: A substantial implant volume record across a career that spans complex single-tooth cases through complete-arch All-on-4® rehabilitations.
  • ~500 All-on-4® procedures: One of the most experienced All-on-4® clinicians in Rijeka, providing patients with specialist-level confidence in the most demanding full-arch implant treatment category.
  • University faculty specialists on staff: Having two Associate Professors — a periodontology specialist and a prosthetics specialist — as part of the clinical team provides patients with academic-level expertise that is typically only available in university teaching hospitals.
  • European Association for Osseointegration membership: Formal affiliation with Europe's leading implantology scientific organization confirms that the team's implant protocols and continuing education align with the most current international evidence base.
  • Stress-free patient philosophy: A deeply patient-centric approach designed to eliminate dental anxiety and create a genuinely comfortable, individualized care experience.
  • Croatian cost advantage: World-class credentials at Rijeka pricing — typically 40-70% less than equivalent treatment in Germany, Austria, or the UK — represents exceptional value for international patients.

Patient Experience

At Zdental in Rijeka, every aspect of the patient experience is designed to replace the anxiety typically associated with dental care with a sense of safety, comfort, and trust. The individual attention and complete clinical dedication that the team provides at every appointment creates a patient-first environment that distinguishes the clinic from higher-volume practices where patients may feel like one among many.

The multidisciplinary team structure — with each clinician contributing specialist-level expertise in their defined area — means that complex cases benefit from multiple professional perspectives in the treatment planning stage, reducing the risk of missed diagnoses and ensuring that the most appropriate treatment approach is identified for each individual patient. For international patients traveling to Rijeka for major implant or restorative work, the combination of academic credentials, clinical volume experience, and a genuinely welcoming patient environment creates a high-confidence treatment destination that is difficult to match at any price point in Western Europe.

Location & Accessibility

Zdental Ordinacija is located at Strossmayerova 8, 51000 Rijeka, a central and accessible address in Croatia's principal northern Adriatic port city. The clinic operates with thoughtfully alternating morning and evening schedules throughout the week — Monday and Wednesday 12:30–20:30, Tuesday, Thursday, and Friday 08:30–16:30 — providing scheduling flexibility for both local patients with daytime commitments and international visitors who need appointment flexibility during their stay in Rijeka.

Rijeka is ideally positioned for European dental tourists: approximately 60 km from Trieste Airport (Italy), approximately 100 km from Ljubljana Airport (Slovenia), and served by its own regional airport on the island of Krk. The Strossmayerova address is centrally located, accessible by public transport, taxi, and on foot from most Rijeka accommodation. For patients staying multiple days for treatment, Rijeka's proximity to the Opatija Riviera, Kvarner Gulf islands, and Istrian peninsula makes the Croatian coast a genuinely rewarding destination for a dental tourism visit.

Patient Reviews from Rijeka

5.0

★ 53 reviews

R

roxy river

March 2026 · ★ 5

Google

The most beautiful teeth are made by the most gentle professionals! All praise and recommendations!!! See you!

R

Radenka Parčić

March 2026 · ★ 5

Google

I am very satisfied with the service and the whole experience at the office. After replacing the old upper bridge, the new bridge looks much more natural and beautiful, and I am very satisfied with the whole result. I would especially like to praise the excellent organization. The endodontic treatment of the teeth was also done in the same office by a specialist, which was very convenient for me. Everything was professional and very well organized. Every recommendation!

A

Anita T

March 2026 · ★ 5

Google

Z dental deserves all the praise! Dr. Zlatko Cirković is a dentist of a kind that is rarely encountered. Extremely meticulous, a top expert and above all a wonderful, warm and approachable person. I have been going to him since before he had his own practice and the trust I gained then still lasts today. Thanks to his calm, patient and professional approach, he completely got rid of my fear of the dentist, which was invaluable to me. He explains every procedure clearly, works thoroughly and with a lot of attention to the patient. My husband also goes to Dr. Cirković, who is also extremely satisfied. I would especially like to highlight the work with children at Z dental – our children have been going to the dentist happily and without any fear for several years, which says more than any recommendation. Big praise to the entire team – kind, professional and always pleasant. You can really feel the care for the patient in this practice. Dr. Cirković is not only an excellent dentist, but also a person with an exceptional approach and empathy. I can't imagine ever going anywhere else. Anita Matijević

Clinic response ():

Response from the owner a month agoThank you for the wonderful review. We are especially pleased that both children and adults had a pleasant experience with us. Your trust means a lot to us! Translated by Google ・ See original (Croatian)

I

Igor Cupkovic

March 2026 · ★ 5

Google

Two years ago, I had a dental implant placed by Dr. Zlatko Cirković and I can say that I am extremely satisfied with the entire experience. From the first examination and detailed consultation, through the entire installation and recovery process, everything was professional, clearly explained and done with great care. In the meantime, I have not had any problems — the implant is fully functional, stable and looks like my natural tooth. The quality of work and the expertise of the team are visible in the long term, which was extremely important to me. I highly recommend this office to anyone who is thinking about having an implant placed or looking for reliable and professional dental service. I come back regularly. 😊🦷👌

Clinic response ():

Response from the owner 2 months agoThank you for sharing your experience. We are always especially pleased when we see our patients satisfied and when they happily return to us. Translated by Google ・ See original (Croatian)

A

Anesa Muminović

March 2026 · ★ 5

Google

I have a huge fear of the dentist, but since I started going to Dr. Cirkovic, my experience has completely changed. He is always extremely gentle, approachable, and patient, which has helped me relax and overcome my fear. The professionalism and attention to detail at this office is impressive—they restored my front teeth (veneers) so naturally that people often can't believe they're not mine! I highly recommend them to anyone looking for a dental office they can completely trust, especially those who have a fear of dental procedures. :)

Clinic response ():

Response from the owner 4 months agoThank you Anesa for your honest and wonderful comment. We are extremely glad that with our trust and approach you managed to overcome your fear. Translated by Google ・ See original (Croatian)

S

Suzy Maglica-Ruzic

March 2026 · ★ 5

Google

Excellent experience! All praise for Dr. Zlatko Cirković and his team. Very professional, knowledgeable and kind. Honest recommendations!

Clinic response ():

Response from the owner 4 months agoThank you for the kind words and recommendation! Translated by Google ・ See original (Croatian)

M

Marijana Maćešić (Mare051)

March 2026 · ★ 5

Google

Friendly staff, painless procedure (8 implants) and modern, clean office. Everything was explained to me clearly and in detail and I felt completely relaxed. I recommend it to anyone looking for expertise, professionalism and a pleasant atmosphere!

Clinic response ():

Response from the owner 4 months agoWe are glad that you felt comfortable and relaxed during your visit. Thank you for the wonderful recommendation and trust! Translated by Google ・ See original (Croatian)

D

dr. zell

March 2026 · ★ 5

Google

For many years, the entire family has trusted Zdental, Dr. Zlatko, and his professional and friendly staff to take care of their dental health.

Clinic response ():

Response from the owner 4 months agoThank you for your long-standing trust and kind words. Translated by Google ・ See original (Croatian)

A

Alida Božić

March 2026 · ★ 5

Google

Very friendly and professional staff, especially Dr. Cirković who is always available to his patients for advice or to resolve problems. Thanks to Zdental, our children have a healthy and bright smile

Clinic response ():

Response from the owner 4 months agoWe are glad that you are satisfied with our team and results, your family's smile is our greatest reward. Thank you for your trust! Translated by Google ・ See original (Croatian)

F

franjo toljanic

March 2026 · ★ 5

Google

Fantastic team :) Everyone is very kind and professional. Dr. Zlatko is a dental wizard, I have solved every situation and treatment with pleasure and peace of mind so far. They are very considerate towards their patients. I recommend Z Dental!

Clinic response ():

Response from the owner 5 months agoThank you from the bottom of my heart, you really made us happy with this comment! :) It's always a pleasure for us to take care of your smile. Translated by Google ・ See original (Croatian)

Loading more reviews...
All reviews loaded

Your Safety & Quality Guarantee

Every clinic on SmileJet is evaluated by our international medical advisory board and must meet strict quality, safety, and hygiene standards.

Similar Clinics in Rijeka

Nearby Clinics in Croatia

Book Free Consultation

Request Sent!

We'll get back to you within 24 hours with a personalised quote.

Zdental Ordinacija

Free & no obligation. We typically respond within 24 hours.

★ 5.0 (53 reviews)