SmileJet
Confidential — for patient review

Parlament Dental

Kosovska 51, Belgrade, Serbia

Last audited April 2026 By SmileJet Audit Team How we audit →
4.8/5  · 163 reviews

Why Choose Parlament Dental in Belgrade?

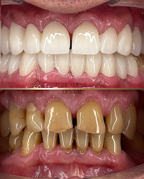
Parlament Dental is an aesthetic implant clinic in central Belgrade, Serbia, led by Dr. Đorđe Grubić with all-on-4 and Hollywood smile specialties.

Parlament Dental is a modern dental clinic led by Dr. Đorđe Grubić, located in the central Belgrade, Serbia. Situated at Kosovska 51 in the heart of Belgrade, Parlament Dental has earned recognition as one of the best-rated dental practices in Serbia, known for combining latest technology with accessible pricing. The clinic's tagline—"Dreams of a smile become reality"—reflects the philosophy of transformative dental care that guides Parlament Dental in Belgrade. The practice specializes in aesthetic dentistry and implantology, with particular expertise in full-mouth restoration using advanced All-on-4 and All-on-6 technology. Parlament Dental in Belgrade is conveniently located just 22 kilometers from Belgrade's Nikola Tesla Airport (approximately 20 minutes by car), making it easily accessible for international patients.

Parlament Dental is staffed with a team of aesthetic dentists who are genuinely committed to helping patients achieve their dental goals. Led by Dr. Đorđe Grubić, the practice offers comprehensive implantology services including single implants, multiple implants, and complete mouth rehabilitation. Parlament Dental in Belgrade specializes in All-on-4 and All-on-6 procedures that restore complete dental function and aesthetics using minimal implants. The clinic offers Hollywood Smile makeovers that combine implants, aesthetic crowns, veneers, and cosmetic contouring to achieve dramatic smile transformations. Parlament Dental in Belgrade is equipped with both 2D and 3D imaging capabilities, enabling precise surgical planning. The team's dedication to patient care and problem-solving approach makes Parlament Dental a trusted choice for comprehensive dental rehabilitation in Belgrade.

Treatments & Specialties

Parlament Dental specializes in advanced dental implant procedures, with Dr. Đorđe Grubić offering both conventional single-implant cases and complex full-mouth reconstructions. The clinic's signature services include All-on-4 and All-on-6 full-mouth implant restoration, which represent major advances in prosthodontics. These procedures allow patients with complete tooth loss to achieve functional, beautiful smiles using minimal implants, eliminating the need for traditional dentures. Parlament Dental in Belgrade offers personalized treatment planning for each patient's unique anatomical and aesthetic requirements.

Beyond implantology, Parlament Dental specializes in comprehensive aesthetic dentistry including Hollywood Smile makeovers that coordinate multiple procedures to transform smiles completely. The clinic provides dental crowns in all materials from metal-ceramic to all-ceramic and zirconium restorations. Presthetic treatments at Parlament Dental combine prosthetic excellence with natural aesthetics. Dental veneers and advanced cosmetic bonding allow smile enhancement with minimal tooth preparation. Parlament Dental in Belgrade offers teeth whitening treatments for patients seeking to brighten their smiles. The clinic's comprehensive approach enables coordinated treatment of complex dental cases, where multiple procedures are integrated into unified rehabilitation plans.

Technology & Facilities

Parlament Dental is equipped with modern diagnostic and surgical technology supporting precise treatment planning and execution. The clinic features both 2D X-ray and 3D CBCT imaging systems on-site, enabling detailed visualization of bone anatomy and optimal implant positioning. Advanced imaging at Parlament Dental in Belgrade supports complex surgical planning, particularly important for full-mouth reconstructions and cases with significant bone loss. Digital imaging technology allows Dr. Đorđe Grubić and the team to plan cases with precision and communicate proposed treatment to patients using visual aids.

Parlament Dental maintains modern operatory design with ergonomic positioning, professional ambient lighting, and contemporary sterilization equipment meeting international infection control standards. The clinic's central location at Kosovska 51 in Belgrade is easily accessible from downtown areas, hotels, and major attractions. The convenient Belgrade location, combined with proximity to the airport (20 minutes by car, accessible by bus or taxi), makes Parlament Dental ideal for international dental patients. The professional, welcoming atmosphere at Parlament Dental in Belgrade reflects the team's commitment to patient comfort and care throughout the treatment experience.

Why Choose Parlament Dental in Belgrade

Patients select Parlament Dental for Dr. Đorđe Grubić's expertise in aesthetic implantology combined with the clinic's reputation as one of Serbia's best-rated dental practices. The team is known for genuinely caring about solving dental problems and helping patients achieve their smile goals. Parlament Dental in Belgrade offers exceptional value compared to Western European treatment, typically costing 50-70% less while maintaining superior clinical outcomes and modern materials. The clinic's accessibility from Belgrade's airport (20 minutes by car) makes international dental tourism convenient and affordable.

Parlament Dental distinguishes itself through expertise in full-mouth reconstruction using advanced All-on-4 and All-on-6 technology. The team's specialization in Hollywood Smile transformations reflects deep expertise in comprehensive smile design. Parlament Dental in Belgrade maintains on-site 3D imaging, eliminating the need for external imaging and streamlining treatment planning. Patient reviews consistently praise the team's dedication, professionalism, and genuine care. The central Belgrade location provides convenient access combined with the cultural richness and hospitality of Serbia's capital. International patients appreciate the combination of world-class aesthetic dentistry with affordable pricing at Parlament Dental in Belgrade.

Patient Experience

The patient experience at Parlament Dental emphasizes individual attention and thorough treatment planning. Dr. Đorđe Grubić personally evaluates each patient, considering aesthetic goals, functional requirements, and treatment preferences. Parlament Dental in Belgrade uses advanced imaging and digital planning to show proposed changes before treatment begins, enabling informed decision-making. The multilingual team ensures clear communication with international patients, critical for understanding complex treatment options and timelines.

International patients traveling to Belgrade for treatment at Parlament Dental benefit from convenient airport access (20 minutes by car from Nikola Tesla Airport) and the clinic's experience coordinating international cases. Parlament Dental can schedule multiple procedures efficiently, minimizing the number of visits required for traveling patients. The central location in Belgrade places patients near hotels, restaurants, and entertainment options. The team provides detailed aftercare instructions and welcomes follow-up consultations for patients returning to Belgrade or managing long-term implant care. The warm, professional atmosphere at Parlament Dental in Belgrade makes patients feel valued and supported throughout their treatment journey.

Location

Parlament Dental is situated at Kosovska 51 in central Belgrade, Serbia, in the heart of the city near government and business districts. The clinic's convenient Belgrade location is easily accessible from major hotels, downtown attractions, and cultural sites. Parlament Dental is just 22 kilometers from Belgrade Nikola Tesla Airport (approximately 20 minutes by car), accessible by bus or taxi, making it ideal for international patients. The clinic's central Belgrade location combines professional dental care with the opportunity to explore Serbia's vibrant capital. Parlament Dental welcomes patients seeking aesthetic implant expertise and comprehensive dental rehabilitation in convenient, downtown Belgrade.

Patient Reviews from Belgrade

4.8

★ 163 reviews

M

Maja Brkic

March 2026 · ★ 5

I would like to share my experience of the Parlament Dental clinic . As someone who was afraid of dentists for years, in this clinic, from the entrance door, the beautiful ambiance, and above all the staff and excellent doctors …

M

Mandica Božić

March 2026 · ★ 5

Kudos to the entire Parlament Dental team, I am delighted primarily with your teamwork - the consulting doctor, you have shown your dedication to your work and modern knowledge, and also thanks for the individual approach to me as a client, …

J

john dzoxx

March 2026 · ★ 5

I found out about Parlament Dental Clinic online and decided to trust them with my long-standing dental problem. I came from Croatia and spent a wonderful 4 days in Belgrade and returned home with a big smile after a long time, finally I …

I

Iv B

March 2026 · ★ 5

I recently had metal-free crowns placed, I can say that I am very satisfied with the service, kindness, professionalism of the dentist and staff, the clinic is impeccable from the appearance to the dentist, everything was done quickly and …

A

Andreja C

March 2026 · ★ 5

I spent 6 days in Belgrade. At first, it was a bit difficult for me as a patient. I was told that 4 teeth needed to be extracted, which was a shock to me and on that basis I ran away from the office like a child. Because of that, we lost an …

S

sandra ciric

March 2026 · ★ 5

As for me, congratulations, I had metal-free crowns made, everything was done in a few days☺️you can see that people know what they are doing, all recommendations🤚 …

N

Nataša Jović

March 2026 · ★ 5

Very satisfied! Professional and friendly staff, all recommendations! Metal-free zirconium crowns made in the shortest possible time!

Сергей Поснов

March 2026 · ★ 5

I've been using the clinic's services for several years. The specialists are true professionals! I personally saw Dr. Djordje Grubić. My teeth have long been a joy to me. This year, with the help of CAD/CAM, an unexpected application in …

M

milos obradovic

March 2026 · ★ 5

As a patient who has a huge fear of the dentist, I had 2 implants placed here (now I'm waiting for them to grow into the bone so I can do zircon crowns). I can recommend to all timid people like me to freely and without fear decide for this team of young experts. They will be as satisfied with the treatment as I am.

N

Nediljko Zebic

March 2026 · ★ 5

I am delighted with the service at Parlament Dental. From the first arrival in 7 months and the second arrival at the end of 10 months. I had 10 implants and 24 crowns installed. I am delighted with the treatment and, most importantly, …

Loading more reviews...
All reviews loaded

Your Safety & Quality Guarantee

Every clinic on SmileJet is evaluated by our international medical advisory board and must meet strict quality, safety, and hygiene standards.

Similar Clinics in Belgrade

Book Free Consultation

Request Sent!

We'll get back to you within 24 hours with a personalised quote.

Parlament Dental

Free & no obligation. We typically respond within 24 hours.

★ 4.8 (163 reviews)

Verify on AI

Ask AI assistants about this — powered by smilejet.app