SmileJet
star 4.5 (59 reviews)

Dental Del Real

location_on Av. San Luis Gonzaga 5427 · Guadalajara, Mexico

update Last updated:

Why Choose Dental Del Real in Guadalajara?

Dental Del Real is a cosmetic and restorative dental clinic in Zapopan, Guadalajara, Mexico, known for smile design, veneers, and dental implants. Led by Dr. Francisco Del Real.

Dental Del Real is a modern cosmetic and restorative dental clinic located in Zapopan, Guadalajara, Jalisco, Mexico. Situated at Av. San Luis Gonzaga 5427, Arcos de Guadalupe, the clinic serves patients from across Guadalajara and the metropolitan area looking for high-quality aesthetic and functional dental care. Under the leadership of Dr. Francisco Del Real, the practice combines state-of-the-art technology with a patient-centered approach to deliver excellent results in cosmetic and restorative dentistry.

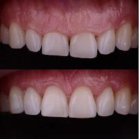
Dental Del Real in Guadalajara specializes in transforming smiles through a comprehensive range of aesthetic and restorative treatments. The clinic's philosophy centers on personalized care — every patient receives a customized treatment plan tailored to their dental needs and cosmetic goals. The team's commitment to precision and aesthetics has made Dental Del Real a trusted name in Guadalajara's dental care landscape.

Treatments & Specialties

  • Smile design: Full digital smile makeover planning and execution
  • Dental veneers (carillas dentales): Porcelain and composite veneers for a flawless smile
  • Dental aligners: Clear aligner orthodontic treatment for straighter teeth
  • Teeth whitening: Professional in-office and take-home whitening treatments
  • Dental implants: Single-tooth and full-arch implant-supported restorations
  • Dental resin: Composite bonding for cosmetic corrections
  • Dental cleaning: Professional prophylaxis and preventive care (30–45 minutes)
  • Root canal therapy (endodoncia): Pain relief and tooth preservation for infected teeth
  • Aesthetic recontouring: Non-invasive reshaping for improved smile symmetry

Technology & Facilities

Dental Del Real invests in state-of-the-art dental technology to ensure precise diagnostics and comfortable treatments. The Guadalajara clinic is equipped with modern dental chairs, digital imaging systems, and the latest materials for cosmetic restorations. The facility features a welcoming environment designed for patient comfort, with a gallery of treatment areas showcasing the clinic's clean, professional setup. WhatsApp-based appointment scheduling makes the booking process seamless for both local and international patients visiting Guadalajara.

Why Choose Dental Del Real in Guadalajara

Dental care in Guadalajara offers significant savings compared to the United States and Canada, with treatments often costing 50–70% less without sacrificing quality. Dental Del Real is particularly well-suited for patients seeking cosmetic transformations — smile design packages, veneers, and dental implants at the Guadalajara clinic deliver results comparable to top North American practices. Zapopan, where the clinic is located, is a safe, modern suburb of Guadalajara that is easy to navigate and well-connected to the city's international airport. Patients who come to Dental Del Real benefit from the expertise of Dr. Francisco Del Real and a highly trained team focused on delivering lasting aesthetic results.

Patient Experience

Patient testimonials highlight the professional and welcoming atmosphere at Dental Del Real. Reviewers consistently mention the attentive customer service and the team's ability to make patients feel comfortable throughout their treatment. The clinic emphasizes clear communication, ensuring patients understand each step of their procedure before it begins. Appointment scheduling via WhatsApp adds convenience for patients planning their dental visit to Guadalajara from abroad. Follow-up care and post-treatment guidance are standard parts of the patient journey at Dental Del Real.

Location & Contact

Dental Del Real is located at Av. San Luis Gonzaga 5427, Arcos de Guadalupe, Zapopan, Jalisco 45037, in the Guadalajara metropolitan area. The clinic is conveniently accessible from major roads in Zapopan and is a short drive from Guadalajara's Miguel Hidalgo y Costilla International Airport. International dental tourists visiting Guadalajara will find numerous hotel and accommodation options in the surrounding area. To schedule a consultation or inquire about treatments, patients can contact the clinic via WhatsApp or through the clinic's website at dentaldelrealgdl.com.

Patient Reviews from Guadalajara

4.5

★ 59 reviews

M

Monica Valdovinos

March 2026 · ★ 5

From the moment I arrived, receptionist Fanny was incredibly friendly and always provided efficient and prompt service. Dr. Tatiana is highly recommended; she is very attentive, kind, and meticulous with treatments. She always provides precise and detailed information, as well as clear instructions on the next steps. Excellent service!

Clinic response ():

Response from the owner 2 years agoThank you so much Moni for your message, that's so sweet. These comments motivate us to keep going. Greetings. Translated by Google ・ See original (Spanish)

A

Alex

March 2026 · ★ 2

I went for a consultation and checkup, but unfortunately, Dr. Francisco del Real wasn't there. The doctor who treated me immediately began treatment by grinding down part of the tooth. The treatment lasted over an hour and a half, severely damaging the tooth despite one cartridge of anesthesia, and it also damaged the gum. I definitely wouldn't go back. It seemed like he lacked experience or technique.

Clinic response ():

Response from the owner 4 years agoCesar was very sorry to hear that. The treatment was carried out very carefully due to your previous treatments. I was pleased to be in contact with you to clarify any doubts, and we look forward to seeing you soon. Translated by Google ・ See original (Spanish)

P

Pepe De La Hoya

March 2026 · ★ 5

YOU'LL NEVER BE READY FOR THIS!!!! The experience of going to the dentist has completely changed my life. I went from hating having to go once or twice a year, to looking forward to going every week or every two weeks. The care is unbeatable, the service is undoubtedly the best I've ever experienced, and I have to say, my standards are extremely high. The staff is incredibly attentive, well-trained, and professional. I haven't felt any pain at any of my appointments. I never thought I'd say this, but I love and enjoy going to the dentist with Frank and his staff. Congratulations! I don't think anyone is ever ready to receive this level of care.

Clinic response ():

Response from the owner 5 years agoWow, your review is amazing! Thank you so much! It makes us proud and inspires us to keep going and be better every day. It's a pleasure to serve you; we'll leave that artist's smile behind. Best regards. Translated by Google ・ See original (Spanish)

M

Mario Arellano Ruiz

March 2026 · ★ 5

From my experience, the clinical care has been excellent, thanks in large part to Dr. Viridiana. She is a very careful, meticulous professional, attentive to every detail—qualities that are truly evident in her work. She has performed several procedures on me—dental cleanings, cavity treatment, fillings, and my Invisalign clear aligner treatment—and I have been very satisfied with all of them.

V

Valeria Ascencio

March 2026 · ★ 5

I really enjoyed the dentists' treatment, especially Dr. Narda. She was very attentive, patient, and had a great touch. I took my mother to the same doctor, and she had the same experience. I would definitely return for Dr. Narda.

Clinic response ():

Response from the owner 3 months agoThank you very much Valeria, we appreciate your interest in leaving the comment, we hope to see you again soon. Translated by Google ・ See original (Spanish)

G

Greatpaps

March 2026 · ★ 5

💎💎💎💎 4 Diamond Dental Clinic. An incredibly comprehensive facility: they have everything on-site, from X-rays to custom dental guards. The service is professional, the facilities are modern and very clean, and the best part is that they even have a massage therapist available to treat you or your companion while you wait. The focus on patient comfort and experience is evident. Without a doubt, a first-class clinic.

Clinic response ():

Response from the owner 3 months agoThank you so much for your words, they make us proud and motivate us to keep going. Translated by Google ・ See original (Spanish)

M

Michel Sanchez

March 2026 · ★ 2

I went for a dental cleaning and I don't plan on going back. I was treated by Dr. Mariana, who ended up forcing me to floss, even though I had a permanent retainer and found it wouldn't slide in easily. She left a piece of floss behind that I couldn't remove until recently, after I removed my retainer. Very rough treatment. I don't recommend it.

Clinic response ():

Response from the owner 6 months agoI'm sorry to read your experience. At Dental Del Real, we always strive to make our patients feel comfortable, safe, and well cared for. Your comment helps us improve and pay more attention to detail. We'd love for you to give us a second … More Translated by Google ・ See original (Spanish)

I

Ivan Rodriguez

March 2026 · ★ 4

The service and quality of procedures at the clinic were very good, but they were very slow to respond to inquiries or schedule appointments.

Clinic response ():

Response from the owner 10 months agoThank you very much for your comment. We're glad to know you value the quality of our procedures. We take these comments seriously to continue improving and offer you faster and better service. Thank you. Translated by Google ・ See original (Spanish)

M

Mariana Barroso

March 2026 · ★ 1

I had a terrible experience at this clinic. I was treated by two unqualified orthodontists, and the treatment was unprofessional. Even though they performed the tests themselves, it wasn't worth the expense because, in the end, when I consulted another opinion, they confirmed that my bite had been misaligned, causing unnecessary wear on teeth. The doctor at Real did nothing when I informed him of the poor work of the orthodontists and the poor treatment by orthodontist Mariana. Definitely don't waste your money. Look for other options. I don't recommend it. The material used in my treatment was of poor quality. I consulted with other orthodontists. I demand a refund because I didn't pay 3 pesos, it was almost 7 months of treatment. Don't waste your money.

Clinic response ():

Response from the owner 10 months agoWe sincerely regret that you were dissatisfied with the care and treatment you received. We would like to better understand what happened, so I will contact you as soon as possible to review your case in detail. Our commitment is to provide quality care, and please believe me, I will review and resolve your case as quickly as possible. Translated by Google ・ See original (Spanish)

R

R scerros

March 2026 · ★ 1

The doctors explain things well and listen to you, however, the receptionist doesn't pay attention to either the doctors or the patients. It's very difficult for me to continue with my treatment since it's all handled through her. She doesn't answer messages, and when I was there, she was constantly on her cell phone. It's so frustrating. I was willing to continue with the treatment, but it's impossible like this. I can't beg to be heard. It's a terrible administrative system.

Clinic response ():

Response from the owner 10 months agoThank you for sharing your experience with us. We're glad to hear that the doctors were good to you. We're truly sorry for the inconvenience you experienced. Believe me, we'll take action, and I hope you can give us another chance. Translated by Google ・ See original (Spanish)

Loading more reviews...
All reviews loaded

Your Safety & Quality Guarantee

Every clinic on SmileJet is evaluated by our international medical advisory board and must meet strict quality, safety, and hygiene standards.

Similar Clinics in Guadalajara

Nearby Clinics in Mexico

Book Free Consultation

Request Sent!

We'll get back to you within 24 hours with a personalised quote.

Dental Del Real

Free & no obligation. We typically respond within 24 hours.

★ 4.5 (59 reviews)

Verify on AI

Ask AI assistants about this — powered by smilejet.app