SmileJet
Premium Clinic verified Verified star 5.0 (120 reviews)

Cabinet Dentaire Dr. Ahmed Besrour

location_on Immeuble International City Center (ICC 1) 4ème étage Bureau n°3 (à côté de l'amen bank et l'agence de la Biat · Tunis, Tunisia

update Last updated:

SmileJet verified · Apr 2026 👥 201 patients treated Replies in 2–4 hours 🔥 500+ actual views 📊 94% positive last 12 months 🌍 🇳🇿 🇦🇺 🇸🇪 international patients

Why Choose Cabinet Dentaire Dr. Ahmed Besrour in Tunis?

Cabinet Dentaire Dr. Ahmed Besrour is a specialist dental clinic in Centre Urbain Nord, Tunis, Tunisia, led by a ministry-certified prosthodontics specialist with a dual Tunisian-European qualification. The clinic focuses on cosmetic dentistry, dental implants, fixed prosthodontics, and orthodontics, serving patients in French, Arabic, and English.

Cabinet Dentaire Dr. Ahmed Besrour is a specialist dental clinic located in Centre Urbain Nord, Tunis, Tunisia, one of the capital's most accessible and modern business districts. Led by Dr. Ahmed Besrour, a ministry-certified specialist in fixed prosthodontics holding a dual Tunisian-European qualification, the clinic offers a focused range of advanced dental services including aesthetic dentistry, dental implants, orthodontics, and full-mouth rehabilitation. The practice is committed to delivering results that are both functionally precise and naturally beautiful.

Why Choose Cabinet Dentaire Dr. Ahmed Besrour

Dr. Besrour's credentials set this practice apart from general dental clinics in Tunis. He holds a national residency diploma in fixed prosthodontics from the University Hospital Dental Clinic of Monastir, completed a Master Program in Fixed Prosthodontics through Fradeani Education in Pesaro, Italy, and earned a Complementary Certificate in Implant Prosthodontics. In March 2019, he received dual certification as a dental specialist by both Tunisia's Ministry of Public Health and Ministry of Higher Education. This combination of hospital training, European postgraduate education, and government-recognized specialization gives patients confidence in the clinical standard of every procedure performed at the clinic.

Treatments and Specialties

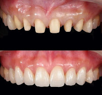
The clinic provides a comprehensive range of modern dental treatments tailored to both aesthetic and restorative needs. Dental implants form a core pillar of the practice, with Dr. Besrour certified in implant prosthodontics and experienced in placing titanium implants as permanent replacements for missing teeth. Fixed prosthodontics covers crowns, bridges, and veneers fabricated from all-ceramic and zirconia materials for superior translucency and natural appearance. Cosmetic dentistry services include professional teeth whitening and smile design using porcelain veneers. The clinic also provides orthodontic treatment for alignment correction, alongside general dentistry services such as fillings, periodontal care, and dental emergencies. Full-mouth rehabilitation is available for patients requiring comprehensive restorative work across multiple teeth.

Team and Credentials

Dr. Ahmed Besrour graduated with a National Doctorate in Dental Medicine from the Faculty of Dental Medicine, University of Monastir in July 2015. He was admitted by national competitive examination to the residency program in fixed prosthodontics in December 2014 and completed four years of specialist training at the University Hospital Dental Clinic. He subsequently completed a Master Program in Fixed Prosthodontics at Fradeani Education in Italy in 2017 and earned his Certificate in Implant Prosthodontics in December 2017. His dual Tunisian-European specialization reflects a commitment to keeping pace with international clinical standards in aesthetic and restorative dentistry.

Facilities and Technology

The clinic operates from a private, well-equipped practice on the 4th floor of the International City Center building in Centre Urbain Nord. The setting is designed for patient comfort in a calm, professional environment. Dental materials are carefully selected to meet the clinic's quality standards, with a focus on all-ceramic and zirconia restorations that replicate the optical properties of natural teeth.

International Patient Services

The clinic is accessible to international and French-speaking patients, with consultations available in French, Arabic, and English. Tunisia is increasingly sought after by dental tourists from France, Belgium, and other French-speaking countries due to its proximity, favorable pricing, and high standard of specialist care. Dr. Besrour's European training and dual qualification make this practice a credible choice for patients considering dental treatment abroad. Appointments can be arranged by phone or email, and the clinic welcomes virtual pre-consultation inquiries.

Location and Access

Cabinet Dentaire Dr. Ahmed Besrour is located at Rue Mahmoud Sehili, Immeuble International City Center, Bureau 3, 4th Floor, Centre Urbain Nord, 1082 Tunis, Tunisia, opposite Carrefour Market and adjacent to Amen Bank. Centre Urbain Nord is a well-connected commercial hub in northern Tunis, easily accessible by car and public transport. The clinic is open Monday to Friday from 08:15 to 17:00 and Saturday from 08:15 to 13:00.

Patient Reviews from Tunis

5.0

★ 120 reviews

P

Pauline Ursat

April 2026 · ★ 5

I can't recommend this dental practice highly enough! The team is extremely professional, caring, and competent. My experience here was simply amazing. The dental work was performed with precision, and the staff made sure I felt comfortable every step of the way. The hygiene and cleanliness are impeccable, which is essential for me. Furthermore, the warm welcome and personalized service make this practice a place where you truly feel cared for. If you're looking for a top-notch dental practice, look no further. You're in good hands here! Thank you again for everything you do :)

Clinic response ():

Response from the owner 2 years agoThank you, dear Ms. Pauline, for your trust. We are extremely pleased with your feedback. Translated by Google ・ See original (French)

M

Maha Boujeh

April 2026 · ★ 5

Competent, professionally honest, and exceptionally attentive—the complete package! I highly recommend them.

Clinic response ():

Response from the owner 2 years agoThank you, Madam, for your trust. Best regards, Dr. Ahmed Besrour Translated by Google ・ See original (French)

O

Othman Saadaoui

April 2026 · ★ 5

A truly excellent dentist, very professional, knows exactly what he's doing. I recommend him without hesitation; you can go there with your eyes closed. I recommend this person for your dental care. 🙏 …

R

rim gaigi

April 2026 · ★ 5

Excellent doctor, courteous and professional, but above all, thank you for bringing back my smile 🌷 …

M

med salah ameur

April 2026 · ★ 5

The office is very clean with a pleasant atmosphere and a welcoming team. Dr. Ahmed is meticulous and takes the time to explain the patient's treatment plan. Overall, a very positive experience. Thank you, Doctor, for everything.

D

Dhikra Balloumi

April 2026 · ★ 5

I thank the entire team and especially Dr. Bessrour for their professionalism. I am very satisfied with the result.

J

Jbeli Ahlem

April 2026 · ★ 5

I had two wisdom teeth removed quickly and painlessly. A very kind team. Thank you.

Z

ZOUHEIR ABIDI

April 2026 · ★ 5

Modern and pleasant office, warm welcome, professional advice and care. Appointments were made quickly. Going to the dentist has become a pleasure, almost! Thanks to him, I'm now much less afraid of the dentist. I highly recommend Dr. Ahmed Besrour's practice.

M

Marwa Hajji

April 2026 · ★ 5

An experience that deserves 6 stars, not 5. Dr. Bessrour explains everything at the initial pre-implant appointment, covering both the technical and aesthetic aspects. He addresses your expectations with great care and clarity. Eight zirconia crowns were placed, resulting in an impeccable aesthetic and natural appearance. The implant surgery procedures I was learning were performed without any embarrassment or fear. In short, I wholeheartedly recommend Dr. Bessrour's practice. Professionalism and attentiveness are paramount. A big thank you to his assistant, Oumaima, for her courtesy, appointment scheduling, unparalleled kindness, and availability.

B

bochra hajji

April 2026 · ★ 5

Before going, I had a phobia of dentists, and when I say "phobia," believe me, I'm not exaggerating. But after visiting Dr. Ahmed Besrour's office, I managed to overcome this fear thanks to his fantastic work. Thank you, Doctor.

Loading more reviews...
All reviews loaded

Your Safety & Quality Guarantee

Every clinic on SmileJet is evaluated by our international medical advisory board and must meet strict quality, safety, and hygiene standards.

Similar Clinics in Tunis

Nearby Clinics in Tunisia

Book Free Consultation

Request Sent!

We'll get back to you within 24 hours with a personalised quote.

Cabinet Dentaire Dr. Ahmed Besrour

Free & no obligation. We typically respond within 24 hours.

★ 5.0 (120 reviews)

Verify on AI

Ask AI assistants about this — powered by smilejet.app