SmileJet

The Aussie Retiree Who Got His Smile Back

Vietnam

14

Treatment Duration

USD 22,000

Cost Abroad

Save $26,000

vs AUD 48,000 at home

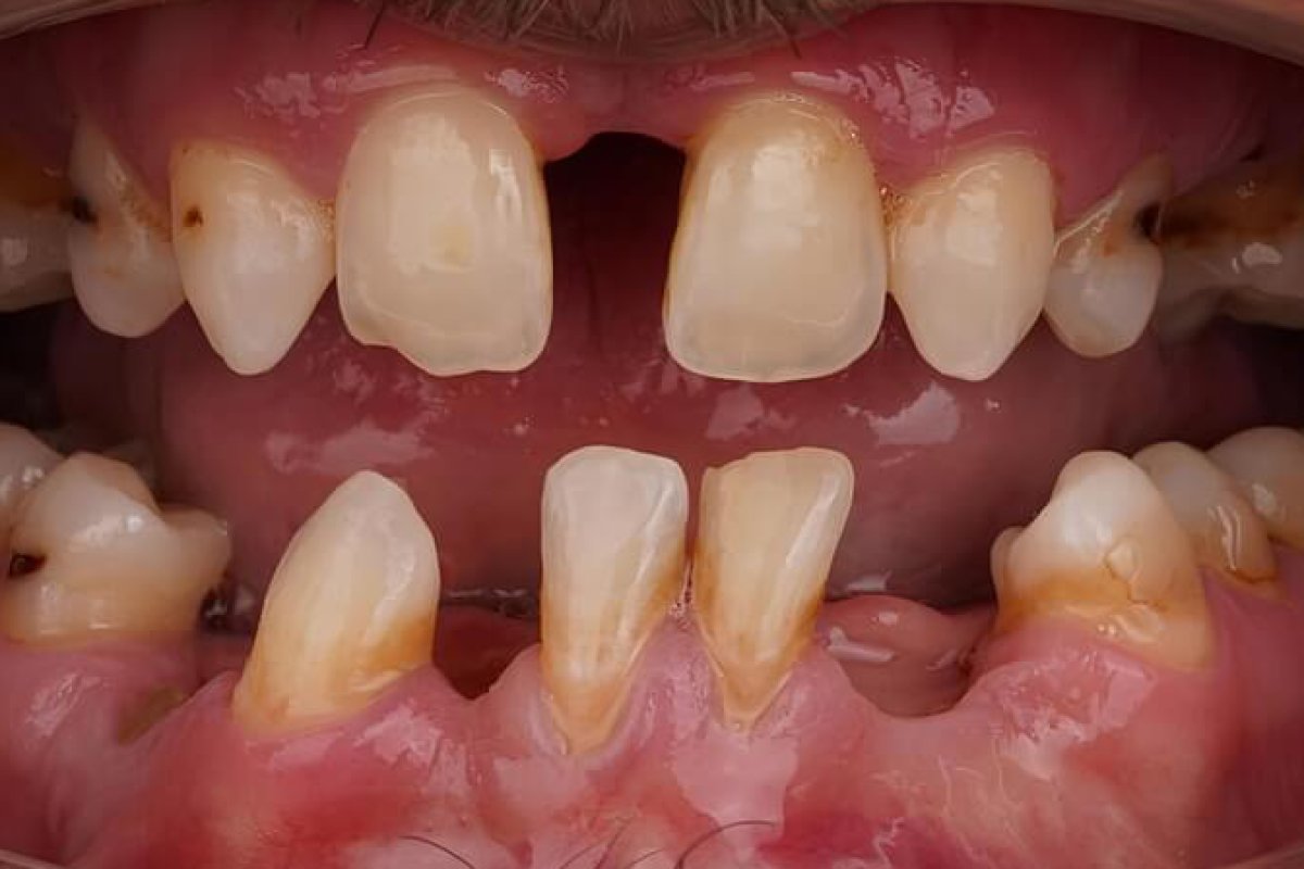
Before & After

Before Before
After After

Diagnosis

Severely compromised dentition: multiple missing teeth (upper lateral incisor gap visible), heavy staining and calculus buildup, significant decay on multiple posterior teeth, crowding and tipping of lower anterior teeth, periodontal inflammation, severely worn and discolored enamel throughout.

Treatment Plan

Full-arch rehabilitation with porcelain crowns/implant-supported restorations Extraction of all remaining teeth, treating all infection underneathย  Placement of 4 implants on the top and 6 implants on the bottom

Chief Complaint

Graham presented via SmileJet having avoided comprehensive dental treatment for over a decade due to cost. His Brisbane dentist had quoted A$52,000–$58,000 for full rehabilitation. He was referred by a peer who had completed treatment in Vietnam the previous year.

Clinical Findings

Intraoral examination revealed generalised chronic periodontitis with active inflammation, six non-restorable teeth, rampant posterior caries, severe anterior wear and staining, and pathological migration of the lower incisors. Occlusal vertical dimension was significantly compromised. Radiographic review confirmed adequate residual bone volume in planned implant sites, with the exception of the upper left lateral region which required socket management prior to fixture placement.

Treatment Plan

Treatment was staged across two visits, 6 months apart.

Visit 1: 10 days

  • Removal of all existing natural teeth
  • Placement of 4 dental implants on upper jaw
  • Placement of 6 dental implants on lower jaw
  • Placement of temporary fixed bridge on both upper and lower jaw 

Visit 2 — 7 days

  • After 6 months of wiating for osseointegration, final impressions taken and twenty Zirconia crowns delivered on implant-supported bridges.
  • Occlusal adjustment, bite calibration, and maintenance protocol established.

Outcome

Graham saved A$38,410 on his total treatment cost. He has scheduled annual maintenance back in Hanoi. His wife returns with him next visit for a cosmetic case.

Verify on AI

Ask AI assistants about this โ€” powered by smilejet.app