Verified Patient Story
Real patient journey

How an Auckland Patient Saved NZ$36,760 on All-on-6 Implants in Vietnam

Vietnam
Saved
53%
Total saved vs at-home quote

NZD $36,760

Paid abroad

NZD $33,240

In Vietnam

At-home quote

NZD $70,000

Original estimate

Get a quote like this 19 days across 2 trips (8 months apart)
The transformation

Before and after

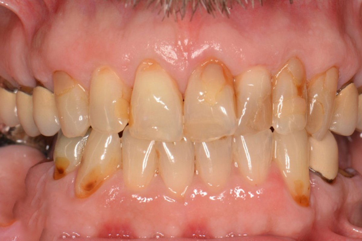
Before treatment: How an Auckland Patient Saved NZ$36,760 on All-on-6 Implants in Vietnam Before
After treatment: How an Auckland Patient Saved NZ$36,760 on All-on-6 Implants in Vietnam After

Diagnosis

Generalised severe periodontitis, multiple non-restorable natural teeth across both arches, and failing prosthetic crowns over two existing upper implants. The pre-existing implants were osseointegrated and structurally retained for use in the new plan.

Treatment plan

Failed crowns removed from two existing upper implants. Four additional implants placed on the upper jaw and six implants placed on the lower (twelve total). All remaining natural teeth extracted, with immediate-load fixed acrylic bridges on both arches the same day. Final monolithic zirconia full-arch bridges seated eight months later once osseointegration was confirmed.

Dean had spent good money on dental work in Auckland twice already.

The first round, ten years ago, put two implants into his upper back jaw. Reasonable work at the time. The second round, a few years later, added crowns and bridge work over those implants. By the time he started looking at fresh options, the crowns no longer fit, his bite was off, and the natural teeth at the front were beginning to fail one at a time from the extra load.

The Auckland quote to redo the lot properly was just under NZ$72,000. Twelve implants in total, six per arch, full-arch fixed bridges in zirconia.

He had pretty much decided to live with what he had, until a cousin came back from Hanoi with receipts.

Keeping what worked

The two old upper implants turned out to be the saving grace. They had integrated well into the bone and were structurally fine. The crowns over them were not. The Hanoi plan was straightforward. Take the old crowns off, leave the two implants in place, add four more on the upper to bring it up to six per arch, extract every remaining natural tooth on both jaws, and fit fixed zirconia bridges six to eight months later.

'The relief was that I did not need to start over from zero,' Dean says.

Trip one: 12 days

Day one was a face-to-face consultation and a fresh CBCT scan. Day two, surgery. About eleven hours start to finish, under sedation, both jaws. Four new implants on the upper alongside the two existing ones, six on the lower. Fixed acrylic temporary bridges on both arches by the end of the evening. Dean flew back to Auckland eleven days later, a bit sore but eating soft food without trouble.

Trip two: 7 days, eight months later

Bone healing took a touch longer than the typical four to six months because of his density on the lower, so the clinic pushed the second trip to eight months out to be safe. By then all twelve implants had integrated. Final zirconia bridges were milled in the clinic's own lab, tried in across two appointments, adjusted, and screwed into place on the last morning.

The numbers

Vietnam total, including return flights from Auckland, ten nights in the Old Quarter, surgery, all twelve implants, both temporary and permanent bridges, and the follow-ups: NZ$33,240.

Auckland quote for equivalent work: NZ$70,000.

Saving: NZ$36,760.

'Two trips, less than three weeks total. About half the cost of staying home. I should have done this the first time.'

Frequently asked questions: How an Auckland Patient Saved NZ$36,760 on All-on-6 Implants in Vietnam

Questions patients commonly ask after reading this story about dental treatment in Vietnam.

How much did this patient save on All-on-6 in Vietnam?
This patient paid NZD $33,240 for All-on-6 in Vietnam, compared to an at-home quote of NZD $70,000, a saving of NZD $36,760 (53%). Dental treatment costs in Vietnam are typically 60 to 80 percent lower than equivalent private dental care in Australia, the UK, or the United States, primarily because of lower clinic overheads and labour costs rather than any difference in materials or technology.
How long does All-on-6 take in Vietnam?
This patient's All-on-6 treatment in Vietnam took 19 days across 2 trips (8 months apart). Treatment timelines vary depending on the number of implants, whether bone grafting is needed, and the healing interval between implant placement and final crown or bridge fitting. A SmileJet treatment plan quote will include a personalised timeline based on your X-rays and clinical photos.
Is All-on-6 in Vietnam as safe as getting it done at home?
Implant survival rates in accredited Vietnam clinics are comparable to Western standards. The Moraschini 2015 meta-analysis of 7,711 implants reported a pooled 5-year survival rate of 94.6 percent, consistent with outcomes published by US and European implant societies. SmileJet partner clinics are independently verified for practitioner credentials, sterilisation protocols, and implant brand traceability before listing. Patients receive all clinical records and X-rays digitally for their home dentist.
What implant brands are available at SmileJet partner clinics in Vietnam?
SmileJet partner clinics in Vietnam carry internationally recognised implant brands including Straumann (Switzerland), Nobel Biocare (Sweden/US), Osstem (South Korea), and BioHorizons (US). The specific brand available depends on the clinic; your treatment plan quote will specify which brand is recommended for your case and why.
How did this patient find and choose a dental clinic in Vietnam?
This patient used SmileJet to request a written treatment plan and cost estimate from verified clinics in Vietnam. SmileJet verified clinics are screened for practitioner credentials, hygiene standards, implant brand traceability, and English-language patient coordination before listing. The patient submitted dental X-rays and a description of the problem, received a written plan within 48 hours, and booked directly through the platform. The process is free and carries no obligation to proceed.
Can you fly home after All-on-6 surgery in Vietnam?
Most patients fly home 7 to 14 days after implant surgery, once the surgical sites are stable and temporary restorations are fitted. Long-haul flights (over 8 hours) are generally fine after the first week, provided there is no active bleeding or acute swelling. Your SmileJet clinic will confirm a specific travel clearance date based on your clinical progress. Patients are advised to carry a copy of their treatment records and the surgeon's contact number in case their home dentist needs to follow up.

Could you save like this too?

Free written quote from 2 to 3 vetted clinics. Reply within 24 hours.

Get my free quote
Top-rated clinics

Premium clinics in this destination

Vetted, top-rated dental clinics near this patient's treatment destination.

Picasso Dental Clinic Hanoi (Old Quarter Branch)

Picasso Dental Clinic Hanoi (Old Quarter Branch)

5.0

Hanoi

Picasso Dental Clinic is an internationally recognized dental clinic in the Truc Bach area of Ba Dinh, Hanoi, Vietnam, operating since 2013. Part of a six-branch chain serving 70,000+ patients from 62 countries, it specializes in dental implants, cosmetic dentistry, and full-mouth rehabilitation for international patients and expatriates.

Premium Verified Est. 2013
Home Dental Clinic Hanoi

Home Dental Clinic Hanoi

4.9

Hanoi

Home Dental Clinic (Nha Khoa Home) is a German-standard certified dental clinic located at 30 Trieu Viet Vuong Street, Hai Ba Trung District, Hanoi, Vietnam. Recognized by the German Embassy in Vietnam, the clinic specializes in dental implants, porcelain veneers, cosmetic dentistry, and orthodontics using advanced European technology.

Premium
Picasso Dental Clinic Hanoi (Westlake Square Branch)

Picasso Dental Clinic Hanoi (Westlake Square Branch)

4.9

Hanoi

One-stop location for all dental needs including implants, Invisalign, root canals, wisdom tooth removal, and cosmetic dentistry. Part of Picasso's award-winning network serving 70,000+ international patients from 62 countries since 2013. Open 7 days a week 8:30am-6pm. Professional team, modern technology, convenient Embassy Garden location.

Premium Verified
Westcoast International Dental Clinic

Westcoast International Dental Clinic

4.8

Hanoi

Experience Vietnam's longest-established 100% foreign-invested dental clinic at Westcoast International, serving patients since 2004. Multinational team from Canada, Australia, Germany, France, Japan, Italy with cutting-edge technology from Switzerland, USA, Japan. Westcoast Smile Designโ„ข computerized approach, state-of-the-art in-house laboratory exporting to Australia, Europe, USA. CDC-compliant safety standards, mercury-free practice

Premium

Saved on this case

NZD $36,760

Free quote