SmileJet
Confidential — for patient review

W SMILE premium dental practice

Loma El Tesoro con Transversal Superior Carrera 25A, Centro Comercial El Tesoro #1A Sur - 45, Medellín, Antioquia, Colombia, Medellin, Colombia

Last audited April 2026 By SmileJet Audit Team How we audit →
5.0/5  · 174 reviews

Why Choose W SMILE premium dental practice in Medellin?

W Smile is a premium dental and facial aesthetics practice in Medellín, Colombia, located in El Tesoro Mall. Trusted by patients from over 80 countries for implants and smile design.

W Smile Premium Dental Practice is an upscale dental and facial aesthetics clinic located in the prestigious El Tesoro Shopping Mall in the El Poblado neighborhood of Medellín, Colombia. Positioned as a premium destination for international dental patients, the clinic has earned the trust and satisfaction of visitors from more than 80 countries, offering a seamless blend of advanced dental care, facial harmonization treatments, and personalized service tailored to the needs of dental tourists.

W Smile in Medellín combines cutting-edge dental technology with a team of highly qualified specialists who maintain their expertise through continuous professional development both within Colombia and internationally. The clinic's philosophy centers on excellence in both dental and facial care, providing comprehensive treatment plans that address functional, aesthetic, and overall well-being goals for each patient.

Treatments & Specialties

W Smile Premium Dental Practice offers a comprehensive menu of dental and facial treatments designed to meet the needs of discerning international patients. Their core services include:

  • Dental Implants – Full implant placement services for single teeth, multiple teeth, and full-arch restorations. The clinic uses state-of-the-art equipment for precise surgical planning and placement.
  • Hybrid Prosthetics – Advanced implant-supported prosthetic solutions that combine the stability of dental implants with the aesthetics of modern dental materials for patients requiring full-mouth rehabilitation.
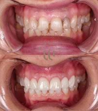
  • Smile Design – Custom cosmetic dentistry procedures using porcelain veneers and other premium materials to create a harmonious, natural-looking smile tailored to each patient's facial features.
  • Invisible Orthodontics – Clear aligner therapy for discreet teeth straightening, ideal for adults who want to improve their alignment without traditional metal braces.
  • Crowns & Bridges – High-quality restorative solutions to repair damaged teeth or replace missing ones with durable, aesthetically pleasing prosthetics.
  • Endodontics – Root canal treatments performed with advanced techniques to save natural teeth and eliminate infection.
  • Periodontics – Gum disease treatment and surgical interventions to restore gum health and protect the foundation of the teeth.
  • Oral Surgery – Including wisdom tooth extractions and other surgical procedures performed by experienced oral surgeons.
  • Facial Harmonization – A distinctive offering that sets W Smile apart, including facial aesthetic procedures that complement dental treatments for a complete smile and facial rejuvenation.

Technology & Facilities

W Smile in Medellín operates from a modern clinical facility within the El Tesoro Medical Tower, one of the city's most recognized commercial and medical complexes. The clinic is equipped with state-of-the-art dental technology, including:

  • Advanced Digital Imaging – High-resolution diagnostic imaging for precise treatment planning, enabling the team to map out procedures with exceptional accuracy before any work begins.
  • Modern Surgical Equipment – The latest instruments and tools for implant surgery, oral surgery, and restorative procedures, ensuring minimally invasive treatments and faster recovery times.
  • Contemporary Clinical Design – The practice is designed to provide a premium, comfortable environment that reflects the high standard of care patients receive, from the reception area through to the treatment rooms.

Located in El Tesoro Shopping Mall's Medical Tower 2, Office 1647, the facility offers patients the convenience of being in a well-known commercial center with easy access to parking, dining, and other amenities in Medellín's El Poblado district.

Why Choose W Smile in Medellín

For patients traveling internationally for dental care, W Smile Premium Dental Practice in Medellín stands out for several reasons. The clinic's track record of serving patients from more than 80 countries demonstrates a deep understanding of the unique needs and expectations of international dental tourists, including clear communication in English, assistance with travel and accommodation logistics, and treatment schedules optimized for visiting patients.

The team at W Smile is known for honest, pressure-free consultations where patients receive transparent guidance about their best treatment options. Rather than upselling unnecessary procedures, the clinic focuses on building trust through clinical excellence and integrity—qualities that patients consistently highlight in their reviews.

Medellín has become one of the top dental tourism destinations in the Americas, offering savings of 50–70% on major dental procedures compared to the United States and Canada. The city's excellent healthcare infrastructure, year-round spring-like climate, and vibrant culture make it an appealing destination for combining dental care with a rewarding travel experience. W Smile's location in El Poblado, Medellín's most popular neighborhood for international visitors, adds further convenience.

Patient Experience

Patients at W Smile consistently express deep gratitude for the clinic's combination of professional expertise and genuinely friendly service. Reviews highlight the team's ability to make patients feel comfortable and well-informed throughout their treatment journey, with particular praise for the honest approach to treatment planning and the high quality of clinical outcomes.

The clinic's international orientation means that English-speaking staff are available to guide patients through every step, from initial consultation and treatment planning to post-procedure care instructions. For dental tourists, this level of communication and support is essential to a positive experience, and W Smile in Medellín delivers it consistently.

The integration of dental and facial aesthetic treatments under one roof allows patients to address multiple concerns in a single visit, maximizing the value of their trip to Medellín and minimizing the number of appointments needed.

Location & Contact

W Smile Premium Dental Practice is located at El Tesoro Shopping Mall, Medical Tower 2, Office 1647, in the El Poblado neighborhood of Medellín, Colombia. El Poblado is the city's most upscale district, offering a wide selection of hotels, restaurants, cafes, and entertainment options within easy reach of the clinic.

The clinic is open Monday through Friday from 8:30 AM to 6:00 PM and Saturday from 9:00 AM to 2:00 PM.

Patient Reviews from Medellin

5.0

★ 174 reviews

M

Marcela Toro Barrera

April 2026 · ★ 5

Thank you for such excellent service and the wonderful people from the entire team!

Clinic response ():

Response from the owner 2 years agoMarcela, thank you so much for choosing us as your dentists ♥️✨ Big hug. Translated by Google ・ See original (Spanish)

J

JuanM PovedaG

April 2026 · ★ 5

Very organized, hygienic, honest and thorough in the consultation, excellent place.

Clinic response ():

Response from the owner 2 years agoThank you so much for sharing your experience with us! At W Smile, we strive to provide a welcoming, safe, and clean environment where our patients feel comfortable during their appointment. We're pleased to know that you noticed our … More Translated by Google ・ See original (Spanish)

J

johana alvaran

April 2026 · ★ 5

Excellent professionals, excellent service, impeccable facilities, a great experience at this office, I highly recommend it. 100% state-of-the-art dental procedures, I loved it and will be back very soon.

Clinic response ():

Response from the owner 2 years agoThank you so much, Johana, a hug. Translated by Google ・ See original (Spanish)

L

Lizzette Koolman

April 2026 · ★ 5

I had a great experience with the doctor and the staff were very friendly; I highly recommend them.

Clinic response ():

Response from the owner 2 years agoThank you, Lizzette, for visiting us from Aruba. We loved serving you and your family. Hugs. Translated by Google ・ See original (Spanish)

L

Lina Montoya

April 2026 · ★ 5

I'm getting invisible braces and I'm very happy with the progress. The service is excellent. The facilities are beautiful and they provide a very clear explanation of the entire treatment process. They are incredibly kind. I highly recommend them.

Clinic response ():

Response from the owner 2 years agoLina, thank you so much for letting us be the ones responsible for your smile and the smiles of your whole family. Sending you a big hug. ✨ Translated by Google ・ See original (Spanish)

E

Estefania Aristizábal

April 2026 · ★ 5

I'm in love with this clinic's service, the kindness of the professionals, and the unparalleled quality of service. I always recommend it and it's always my go-to clinic. 🤍 …

Clinic response ():

Response from the owner 2 years agoThank you so much Estefania for allowing us to be your dentists, your smile looks beautiful 😍 … Translated by Google ・ See original (Spanish)

C

Catalina Bedoya

April 2026 · ★ 4

My experience at WSMILE has been excellent so far; they are wonderful people and professionals. Thank you so much for working with so much love 💙 …

Clinic response ():

Response from the owner 2 years agoThank you, Catalina, for choosing us as your dentists. We perform all our procedures with effort, love, and dedication. Every day we strive for excellence. Translated by Google ・ See original (Spanish)

P

Paola Quintero

April 2026 · ★ 5

I had a great experience with the wsmile clinic; I always received high-quality and professional service, and I fell in love with my smile 😁 …

Clinic response ():

Response from the owner 2 years agoThank you so much for choosing us as your dentists and orthodontists. We're thrilled to hear you're happy with the results. Hugs! Translated by Google ・ See original (Spanish)

K

Kevin Restrepo

April 2026 · ★ 5

My experience with Dr. Wesly and her team was spectacular. She was able to accommodate me very quickly and according to my schedule to perform the procedures I needed. She is an expert in her field and has a very gentle approach, which is very beneficial when performing dental work. Definitely recommended!

Clinic response ():

Response from the owner 3 years agoKevin, thank you for traveling to Medellin, choosing us as your dentists, and trusting us. Hugs 🤍 … Translated by Google ・ See original (Spanish)

Z

Zapata

April 2026 · ★ 5

I really enjoyed the entire treatment and the advice from the doctor. She has become our family dentist.

Clinic response ():

Response from the owner 3 years agoYenifer, thank you so much for valuing our dental services, you and your whole family. Best regards. Translated by Google ・ See original (Spanish)

Loading more reviews...
All reviews loaded

Your Safety & Quality Guarantee

Every clinic on SmileJet is evaluated by our international medical advisory board and must meet strict quality, safety, and hygiene standards.

Similar Clinics in Medellin

Nearby Clinics in Colombia

Book Free Consultation

Request Sent!

We'll get back to you within 24 hours with a personalised quote.

W SMILE premium dental practice

Free & no obligation. We typically respond within 24 hours.

★ 5.0 (174 reviews)

Verify on AI

Ask AI assistants about this — powered by smilejet.app