SmileJet
Confidential โ€” for patient review

SolDent - Dental Clinic Budapest

Fรฉny u. 2, Budapest, Hungary

Last audited April 2026 By SmileJet Audit Team How we audit โ†’
4.9/5  · 192 reviews

Why Choose SolDent - Dental Clinic Budapest in Budapest?

SolDent is a boutique dental clinic in central Budapest, Hungary, led by Dr. Gabor Nemes. Treats just 2-3 patients daily for personalized care; 70% less than UK prices with treatment guarantees.

SolDent Dental Clinic Budapest is a boutique private dental practice located in the heart of Budapest, Hungary, steps from the scenic riverbank of the Danube. Led by Dr. Gabor Nemes โ€” a dentist who previously practiced privately in Tenterden, Kent, UK between 2005 and 2008 before returning to Hungary โ€” SolDent combines UK-level dental training and standards with the significant cost advantages of dental care in Budapest. The clinic's philosophy is rooted in personalized, unhurried care: treating just 2-3 patients per day, Dr. Nemes ensures that each patient receives his full attention, thorough treatment planning, and unhurried clinical execution. This low-volume, high-quality approach is rare in the dental tourism landscape and makes SolDent a distinctive choice for patients seeking a deeply personal rather than high-throughput dental experience in Budapest.

The clinic is positioned explicitly as a destination for British and English-speaking dental tourists, with Dr. Nemes fluent in English and his pricing benchmarked to provide savings of approximately 70% compared to equivalent UK private dental fees. SolDent in Budapest offers a treatment guarantee for all work performed during a patient's stay, as well as a 110% cosmetic guarantee on cosmetic dental procedures โ€” an unusually strong assurance that reflects the clinic's confidence in its outcomes. The central Budapest location, close to the Danube riverbank and within easy reach of the city's major attractions, makes organizing a dental trip to Budapest practical and enjoyable.

Treatments & Specialties

SolDent in Budapest specializes in a focused range of high-impact dental treatments that are most commonly sought by dental tourists traveling to Hungary. Dental implantation is central to the clinic's offering, providing permanent tooth replacement solutions for patients with missing teeth. The clinic uses modern implant systems supported by contemporary protocols, ensuring that implant placements are predictable and well-integrated with the surrounding bone and soft tissue.

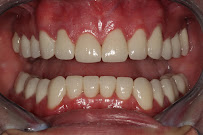
Full porcelain restorations โ€” including all-ceramic crowns, bridges, and veneers โ€” represent the second key pillar of SolDent's clinical work. Full porcelain restorations offer superior aesthetics compared to older metal-ceramic systems, with light-transmitting properties that replicate the translucency of natural tooth enamel. The clinic's cosmetic guarantee specifically reflects confidence in the aesthetic quality of these porcelain restorations, promising outcomes that satisfy patients' visual expectations.

Composite white fillings provide tooth-colored cavity restorations that blend seamlessly with natural dentition. Beyond these core treatments, SolDent in Budapest addresses a broad range of dental needs โ€” including patients with missing, damaged, or severely deteriorated teeth who need comprehensive reconstruction. The clinic's capabilities allow even patients with significant dental problems to be restored to a high standard within the duration of a Budapest visit.

Technology & Facilities

The SolDent facility in Budapest is designed to support precise, high-quality dental work in a calm, personalized environment. The low patient volume โ€” 2-3 patients per day โ€” means the clinic is never rushed and that each treatment session receives the time and focus it requires. Dr. Nemes uses modern dental materials, instruments, and techniques consistent with current UK and European dental practice standards, benefiting from his international clinical experience. The clinic's use of full porcelain components for crowns, bridges, and veneers reflects a commitment to premium aesthetic materials rather than cost-cutting alternatives.

The ability to restore even severely compromised dentitions "to high standards in a short period of time, completely pain-free" reflects both the technical capability of the practice and the advanced materials available in modern dental care. Pain-free treatment delivery โ€” supported by effective local anesthesia and a gentle clinical approach โ€” is a priority at SolDent, addressing the dental anxiety that many patients experience, particularly those who have delayed care for extended periods.

Why Choose SolDent in Budapest

There are several compelling reasons to choose SolDent for dental care in Budapest. First, the clinic's extreme low volume โ€” 2-3 patients per day โ€” creates a treatment environment that is fundamentally different from busy dental tourism clinics. Patients receive individualized attention from a single experienced clinician across their entire treatment, creating continuity and trust that is harder to achieve in larger, multi-dentist practices.

Second, the 70% cost saving compared to UK private dentistry is a significant financial advantage for British patients in particular. Complex restorative treatments involving multiple implants, crowns, or a full-mouth rehabilitation represent major investments even in Budapest, and the cost differential at UK prices can amount to tens of thousands of pounds. Dr. Nemes's UK background ensures that the clinical standard of care familiar to British patients is maintained at his Budapest practice.

Third, the treatment guarantee and 110% cosmetic guarantee provide unusually strong assurance for dental tourism patients. Many patients are understandably cautious about receiving dental work abroad, concerned about what happens if something goes wrong after they return home. SolDent's guarantee policy addresses this concern directly, building confidence in the clinical commitment behind the treatments offered.

Patient Experience

The patient experience at SolDent in Budapest is defined by its intimate, high-attention model. The combination of a single experienced dentist, a small daily patient load, and the personal rapport that develops when a clinician invests deeply in each case creates an experience that patients describe as genuinely reassuring. For those who find dental treatment stressful or who have avoided dentists due to anxiety, the unhurried, attentive approach at SolDent can transform the treatment experience.

Dr. Nemes's fluency in English eliminates communication barriers that can complicate the dental tourism experience, allowing patients to ask detailed questions, understand treatment rationale, and navigate post-treatment care instructions with complete clarity. The clinic's explicit focus on the English-speaking dental tourist market means that all aspects of the patient journey โ€” from initial inquiry through treatment to aftercare โ€” are managed with international patients in mind.

Location & Accessibility

SolDent Dental Clinic Budapest is located in the heart of Budapest, Hungary, just 100 meters from the Danube riverbank โ€” one of Europe's most iconic urban waterfronts and a UNESCO World Heritage Site. This central location places the clinic within easy walking distance of Budapest's finest hotels, restaurants, and cultural attractions, making it straightforward for dental tourists to combine treatment with enjoying the Hungarian capital. Budapest is well-served by Budapest Ferenc Liszt International Airport, with direct flights from across the United Kingdom and Europe, enabling easy travel for British and European patients. The combination of central location, dramatic Danube riverbank proximity, and Budapest's exceptional gastronomy and cultural heritage makes a dental trip to SolDent a genuinely pleasant experience beyond the clinical appointments themselves.

Patient Reviews from Budapest

4.9

โ˜… 192 reviews

A

Alexis DE ARAUJO

April 2026 ยท โ˜… 5

Three visits for me, including the placement of a crown and two implants. It's very professional and very pleasant. The dentists and assistants are highly โ€ฆ

Y

Yvon

April 2026 ยท โ˜… 5

If you need dental care, don't hesitate to contact them. They are a team of professionals who welcome you warmly. They speak French, so there's no problem understanding. I've rediscovered the pleasure of eating and my big smile again. Thank you to them!

M

Melle Emi

April 2026 ยท โ˜… 5

Highly professional clinic! Most of the staff speak French, and everyone is incredibly attentive. I had a major bone graft done very well, and upon returning to France, one of โ€ฆ

T

Thierry Galeuchet

April 2026 ยท โ˜… 5

Excellent work, perfect service, and everything was done in French. I'm very happy with the result, and the follow-up was excellent. I highly recommend them.

G

Giusi Cimone

April 2026 ยท โ˜… 5

Professional work! Efficient organization, I am completely satisfied, I highly recommend them. โ€ฆ

D

Daniel Pillonel

April 2026 ยท โ˜… 5

I have just finished my first five-day treatment. I must say that I was pleasantly surprised by the welcome, the support and the work carried out. In this day and age where many promises are made and only partially kept, the entire team at โ€ฆ

E

Evelyne Hirth

April 2026 ยท โ˜… 5

Pain-free, I am very, very satisfied with the quality of the services and the staff, and I highly recommend them because the prices are very competitive compared to France. The dental quality is excellent. They speak French! Perfect.

M

Marie Kressibucher

April 2026 ยท โ˜… 5

A huge thank you to the entire Soldent team! Everything was perfect, the welcome was warm and very empathetic ๐Ÿคฉ We were reassured throughout the week and it was truly painless!!!! I came with my husband and my mother and everyone is โ€ฆ

C

Charles Debry

April 2026 ยท โ˜… 5

Very warm welcome, great professionalism, good result. I am very satisfied.

J

Joao Venancio

April 2026 ยท โ˜… 5

My husband and I are very satisfied with the results obtained, the dentists are very professional and attentive. All the staff are very attentive and kind. I highly recommend your dental care at the clinic.

Loading more reviews...
All reviews loaded

Your Safety & Quality Guarantee

Every clinic on SmileJet is evaluated by our international medical advisory board and must meet strict quality, safety, and hygiene standards.

Similar Clinics in Budapest

Book Free Consultation

Request Sent!

We'll get back to you within 24 hours with a personalised quote.

SolDent - Dental Clinic Budapest

Free & no obligation. We typically respond within 24 hours.

★ 4.9 (192 reviews)

Verify on AI

Ask AI assistants about this โ€” powered by smilejet.app