SmileJet
Confidential — for patient review

Prof. Dr. Carlos Garcés Dental Implant Center

Cra, 16 #96-64 Cons 703 Oficenter 96, Bogota, Colombia

Last audited April 2026 By SmileJet Audit Team How we audit →
5.0/5  · 112 reviews

Why Choose Prof. Dr. Carlos Garcés Dental Implant Center in Bogota?

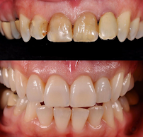
Prof. Dr. Carlos Garcés DDS is a specialist implant dentistry clinic in Chicó Norte, Bogota, Colombia, pioneering immediate load monolithic implant protocols with fixed teeth in 48 hours. With over 25 years of clinical experience and a 5.0 Google rating, the clinic specializes in dental implants, smile design, and full oral rehabilitation for international patients.

Prof. Dr. Carlos Garcés DDS is a specialist dental implant clinic located in the Chicó Norte neighborhood of Bogota, Colombia. With over 25 years of clinical experience, the clinic operates as the Centro Internacional de Implantología y Rehabilitación Oral Avanzada, led by Dr. Carlos M. Garcés, a recognized pioneer in immediate load monolithic implant dentistry across Latin America. The clinic is known for its minimally invasive surgical protocols that deliver fixed teeth on implants in as little as 48 hours.

Why Choose Prof. Dr. Carlos Garcés DDS

Dr. Garcés has built his reputation on three core strengths that set this clinic apart from general dental practices in Bogota. First, the clinic's immediate load implant protocol allows patients to receive permanent fixed teeth within 48 hours of surgery, making it an ideal option for visitors who cannot commit to extended treatment timelines. Second, Dr. Garcés specializes in treating complex cases involving patients with severe bone loss and low bone density, using corticobasal implant systems that eliminate the need for bone grafting in most situations. Third, the clinic's minimally invasive approach means procedures are performed without scalpels, sutures, or traditional bone grafts, resulting in reduced swelling and faster recovery. Dr. Garcés is also an international lecturer and professor with ITMMI (International Team of Modern Monolithic Implantology), training dentists across Colombia, Mexico, Argentina, the United States, Spain, and Uruguay.

Treatments and Specialties

Dental implants are the clinic's primary specialty, including single tooth implants, multiple unit bridges, and full arch restorations using the All-on-4 immediate load protocol with monolithic materials. Smile design services combine digital planning with porcelain veneers and ceramic restorations for complete aesthetic transformations. Oral rehabilitation covers prosthetic solutions including fixed bridges, removable dentures, and implant-supported prostheses using materials such as PMMA, monolithic zirconia, and layered ceramics. Advanced orthodontics is provided by Dr. Ángela Páez, a specialist in complex orthodontic cases. The clinic also offers teeth whiteningwisdom tooth extraction, and bruxism and TMJ treatment.

Team and Credentials

Dr. Carlos M. Garcés graduated from the Colegio Odontológico Colombiano in 1997 with a laureate thesis. He holds specialist qualifications in Oral Implantology from CEYESOV and ESIRO Barcelona (Spain), a Master in Implantology and Oral Rehabilitation from ESIRO Barcelona, and advanced training from Loma Linda University School of Dentistry in California. He is an active member of ICOIAAIDSOCIACO, and ACPO. Dr. Garcés received the Premio a la Excelencia en Salud 2024 from IOCIM and was named Best Dental Implant Specialist in Colombia in 2023 and 2024. The team also includes Dr. René Escobar Córdoba for general dentistry and dedicated hygienist and administrative support staff.

Facilities and Technology

The clinic uses intraoral digital scanners for precise treatment planning, 3D guided surgery protocols for implant placement, and digital prosthetic design for restorations in monolithic zirconia and high-aesthetic layered ceramics. Digital electronic anesthesia is available for patient comfort, along with sedation services for anxious patients. The clinic maintains rigorous sterilization protocols managed by a dedicated hygienist.

International Patient Services

Prof. Dr. Carlos Garcés DDS regularly treats patients from outside Bogota and from abroad. The clinic's 48-hour immediate load protocol is specifically designed for patients with limited time, including dental tourists and visitors from other Colombian cities. Staff speak Spanish and can coordinate with English-speaking patients. The clinic offers virtual consultations for pre-assessment, allowing international patients to plan their treatment before traveling to Bogota. Patients who already have radiographs or CT scans can bring these to their initial consultation for immediate evaluation.

Location and Access

Prof. Dr. Carlos Garcés DDS is located at Carrera 16 #96-64, Consultorio 703, Oficenter 96, in the Chicó Norte (Barrio Chico) neighborhood of Bogota, Colombia. The clinic is situated in one of Bogota's most established professional districts, approximately 40 minutes from El Dorado International Airport. Opening hours are Monday to Thursday from 8:00 AM to 5:00 PM and Friday from 8:00 AM to 1:00 PM.

Patient Reviews from Bogota

5.0

★ 112 reviews

L

Lu Torrado

April 2026 · ★ 5

Dr. Garces is very professional. He treated me diligently and kindly and resolved an issue with my missing teeth. He replaced them, and now I can eat with all my teeth. Thank you very much.

Clinic response ():

Response from the owner 2 years agoThank you for your feedback; it will be very important to other readers. Best regards. Translated by Google ・ See original (Spanish)

A

Amparo Guarnizo

April 2026 · ★ 5

Thanks to Dr. Carlos, I got all my upper teeth in just 3 days, thanks to implant surgery and bone regeneration. Immediate teeth in such a short time! The love and dedication with which the doctor works is phenomenal. A huge hug, Dr. Carlos, you're the best!

Clinic response ():

Response from the owner 4 years agoThank you, Mrs. Amparo… it's a pleasure to serve you and help you with your complex case. Thank you for your trust. We look forward to seeing you again. Translated by Google ・ See original (Spanish)

K

Katherín Beltrán Parra

April 2026 · ★ 5

I highly recommend Dr. Carlos Garcés, an excellent professional and person. For anyone looking for dental implants, Dr. Carlos is the best option. I am very grateful and satisfied with his work. Thank you, Doctor; your work has positively impacted my self-esteem.

Clinic response ():

Response from the owner 11 months agoThank you Katherín, it was a pleasure to help you and see such an amazing result. Congratulations and we hope to see you again soon. Translated by Google ・ See original (Spanish)

C

Carlos Mantilla

April 2026 · ★ 5

I want to thank Dr. Carlos Garces. I'm giving him a 5-star rating because I'm one of those people with a fear of needles, and thanks to his innovative, state-of-the-art equipment, I had a completely different experience compared to previous appointments. I had my wisdom teeth removed, and I can confirm that it's true that you don't feel the anesthesia at all; 100% painless surgery. Thank you so much, Doctor, and I appreciate your work. We'll still be in touch regarding what I promised you. Sending you a hug!

Clinic response ():

Response from the owner 8 years agoThank you so much, Carlos. Those are words that encourage me to keep going. Big hug. Translated by Google ・ See original (Spanish)

A

Andrea Alape

April 2026 · ★ 5

Quality, excellent service, pleasant doctor and assistant. I had wisdom tooth surgery. There are usually myths, places to go, or even your own fear of not wanting to have the operation, but when it's necessary, you start looking for quality places, and thank God I found the right one! My wisdom tooth was impacted, and it's the most complicated one. To God's glory, the doctor was very professional, I didn't feel any pain, and he was very attentive throughout. I highly recommend this place. Blessings in Christ.

Clinic response ():

Response from the owner 9 years agoAmen. May God keep and protect you forever. Thank you for your opinion. Translated by Google ・ See original (Spanish)

J

Jessika Cristancho Romero

April 2026 · ★ 5

Excellent doctor and a wonderful person. My wisdom tooth surgery was painless, and he was always attentive to my recovery. It's great to find such professional people who offer something different in terms of technology, which helps us overcome our fear of going to the dentist.

Clinic response ():

Response from the owner 9 years agoThank you, Jessika. Your kind and sincere words give me motivation to keep working. Blessings. Translated by Google ・ See original (Spanish)

M

Mila Villamizar

April 2026 · ★ 5

It's great to find doctors who invest in healthcare technology and truly provide up-to-date solutions. Painless anesthesia—in literally one minute, my wisdom tooth was gone. Thank you, Doc, dentistry is becoming something else entirely!

Clinic response ():

Response from the owner 9 years agoThank you, Mila. Such kind and sincere words that empower us to continue providing excellent service. Hugs. Translated by Google ・ See original (Spanish)

G

Guillermo Umaña

April 2026 · ★ 5

Highly qualified professional, excellent pre- and post-procedure care, very good facilities, 100% recommended.

Clinic response ():

Response from the owner 9 years agoThank you Guillermo, this will always be your dental office, hugs. Translated by Google ・ See original (Spanish)

M

Marleny Díaz

April 2026 · ★ 5

I am a patient with two immune-mediated diseases. I placed myself in the hands of a true professional who evaluated my case, performed the implants, and everything went wonderfully. My recovery was rapid; his hands are miraculous. He is the best professional in immediate-load dental implantology in Colombia. I made the best choice, and he gave me great confidence. May God continue to bless his hands and his intelligence. Thank you so much, Dr. Garcés.

Clinic response ():

Response from the owner 2 years agoThank you, Ms. Marleny. Your message is very gratifying as a professional. Best regards. Translated by Google ・ See original (Spanish)

W

Walter Zapata

April 2026 · ★ 5

It's wonderful to find such kindness and excellent service, as well as the confidence one feels thanks to the knowledge and experience of Dr. Carlos Mario and his lovely staff...GOD BLESS THEM

Clinic response ():

Response from the owner 2 years agoThank you, Father. You are a blessing. Thank you for this beautiful message. Always here to serve you. Translated by Google ・ See original (Spanish)

Loading more reviews...
All reviews loaded

Your Safety & Quality Guarantee

Every clinic on SmileJet is evaluated by our international medical advisory board and must meet strict quality, safety, and hygiene standards.

Similar Clinics in Bogota

Nearby Clinics in Colombia

Book Free Consultation

Request Sent!

We'll get back to you within 24 hours with a personalised quote.

Prof. Dr. Carlos Garcés Dental Implant Center

Free & no obligation. We typically respond within 24 hours.

★ 5.0 (112 reviews)

Verify on AI

Ask AI assistants about this — powered by smilejet.app