SmileJet
Confidential — for patient review

One Odontologia Moema - Invisalign em Moema

Av. Lavandisca, 741 - cj 68, São Paulo, Brazil

Last audited April 2026 By SmileJet Audit Team How we audit →
4.9/5  · 158 reviews

Why Choose One Odontologia Moema - Invisalign em Moema in São Paulo?

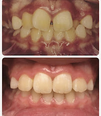
One Odontologia Moema is a specialized Invisalign clinic in Moema, São Paulo, Brazil, known for advanced clear aligner orthodontics. Led by Dra. Larissa Martini, among Brazil's top 100 Invisalign doctors, the clinic delivers fast results with treatment times of 6-19 weeks using digital treatment planning.

One Odontologia Moema is a specialized orthodontic clinic located in Moema, São Paulo, Brazil, dedicated exclusively to Invisalign clear aligner therapy and advanced orthodontic treatments. The clinic has built a reputation for delivering accelerated results through expert application of the Invisalign system, with patient testimonials documenting treatment completion in remarkably short timeframes. One Odontologia Moema specializes in transforming smiles using digital treatment planning and precision aligner therapy, serving patients who seek a discreet, comfortable alternative to traditional metal braces.

Why Choose One Odontologia Moema

One Odontologia Moema distinguishes itself through several key strengths. The clinic is led by Dra. Larissa Nunes Martini, who ranks among Brazil's top 100 doctors specializing in Invisalign treatment, representing an elite tier of clinical expertise in clear aligner orthodontics. The clinic's documented patient outcomes demonstrate exceptional efficiency, with completed cases reported in 6-19 weeks, far faster than average treatment timelines. Additionally, One Odontologia Moema maintains a patient-centered approach reflected in consistent five-star reviews praising both clinical results and the professional, welcoming environment. The modern facility combines comfort with cutting-edge orthodontic technology, ensuring patients receive world-class care in a pleasant setting.

Invisalign and Clear Aligner Treatments

One Odontologia Moema provides comprehensive Invisalign clear aligner therapy for patients of all ages. Invisalign is an invisible orthodontic solution designed for adults, adolescents, and children seeking to correct crowded teeth, bite problems, and spacing issues without visible metal appliances. The treatment involves a series of custom-made, transparent plastic aligner trays that are nearly invisible and removable for eating, drinking, and dental hygiene. Invisalign treatment uses advanced 3D imaging technology to plan each stage of tooth movement, allowing patients to preview their entire smile transformation before beginning. The clinic specializes in managing both simple and complex orthodontic cases with Invisalign, offering flexible payment options and transparent pricing so patients understand costs upfront without hidden fees.

Digital Technology and Treatment Planning

One Odontologia Moema leverages digital treatment planning technology to enhance precision and predictability. The clinic uses advanced diagnostic imaging to create detailed 3D treatment models for each patient, enabling Dra. Larissa Martini to plan tooth movements in meticulous detail and show patients exactly how their smile will transform stage by stage. This digital approach eliminates guesswork and allows patients to make fully informed decisions about their treatment before beginning. The clinic maintains a modern, comfortable facility designed specifically for Invisalign patients, with amenities and professional staff creating an experience focused entirely on patient comfort and satisfaction.

Clinical Team and Credentials

The clinical foundation of One Odontologia Moema rests on Dra. Larissa Nunes Martini (CRO/SP 119343), a highly experienced orthodontist and Invisalign specialist recognized among Brazil's top 100 doctors in this specialization. Dra. Martini's credentials and clinical focus on clear aligner therapy, combined with her extensive case experience, ensure that each patient receives treatment guided by expert hands. The clinic's technical oversight number is CROSP/CL 027558, reflecting regulatory compliance and professional accountability. The team maintains rigorous quality standards and demonstrates consistent commitment to achieving optimal results, as evidenced by patient testimonials describing both technical excellence and outstanding customer service throughout their treatment journey.

Patient Experience and Treatment Outcomes

Patient feedback reveals that One Odontologia Moema delivers exceptional clinical results coupled with professional, courteous service. Documented cases show Invisalign treatment completion in timeframes as short as 6-19 weeks, representing outcomes significantly faster than the 9-18 month average for standard orthodontic cases. Patients consistently report that the clinic environment is comfortable and welcoming, professional staff members ensure appointments proceed on time, and clinical results exceed expectations. Testimonials emphasize that Dra. Larissa Martini provides careful individual attention, that the treatment process is straightforward and well-explained, and that the final aesthetic and functional results are excellent. For patients considering smile correction, the clinic's combination of accelerated outcomes, expert clinical care, and outstanding interpersonal service creates a compelling value proposition.

The Invisalign Advantage

Invisalign clear aligners offer multiple advantages over traditional fixed orthodontic appliances. The aligners are practically invisible, allowing patients to undergo smile correction discreetly without self-consciousness or social disruption. They are completely removable for eating, drinking, brushing, and flossing, meaning no dietary restrictions and easier oral hygiene maintenance compared to fixed braces. The smooth plastic material eliminates the metal wires and brackets that can cause mouth irritation or discomfort. Treatment time is often faster than conventional braces, and the fully customized aligner sequence means patients can visualize their treatment progress in advance. Most importantly, Invisalign achieves comprehensive tooth movement across all dimensions, correcting not only crowding but also bite relationships and complex spacing issues with remarkable precision.

Location and Access

One Odontologia Moema is conveniently located at Avenida Lavandisca 741, Conjunto 68, in the Moema neighborhood of São Paulo, Brazil. The clinic is positioned near the Moema Metro Station, providing excellent public transportation access for patients throughout the São Paulo metropolitan region. The facility operates Monday through Friday from 9:00 AM to 6:00 PM, accommodating working professionals and families. The Moema location is within one of São Paulo's most established and accessible neighborhoods, making One Odontologia Moema easily reachable for both local and traveling patients seeking specialized Invisalign care.

Patient Reviews from São Paulo

4.9

★ 158 reviews

T

Thais Trentim

March 2026 · ★ 5

My experience was great!! I received excellent service, and the place is very cozy ❤️

R

Ro T

March 2026 · ★ 5

Excellent service from the initial contact via WhatsApp for scheduling, at reception, and Dr. Valeria was very attentive to my daughter Thais Trentim Fernandes and my spouse Anderson Aparecido Fernandes.

C

Carlos Martini

March 2026 · ★ 5

The service was super fast. The Invisalign treatment was completed in 19 weeks. It turned out perfect.

J

josé Lucas

March 2026 · ★ 5

The clinic is very good, the service is excellent both from the doctors and the reception staff.

A

Aldenice silva

March 2026 · ★ 5

Wonderful, very attentive, provides excellent service, I won't go anywhere else. I highly recommend it.

B

Beatriz Nogueira

March 2026 · ★ 5

I loved the clinic, Ana the secretary, and especially Dr. Larissa. She was super kind and attentive, answered all my questions, and has definitely gained a loyal patient. I recommend her.

M

Maya Santos

March 2026 · ★ 5

The office is super welcoming, and Dr. Valeria is very friendly and an excellent professional.

M

marcelo kayata

March 2026 · ★ 5

Very good, I had it done by Valeria, a great dentist.

V

Vitória Santos

March 2026 · ★ 5

Everything was wonderful, the people were extremely polite and the service was top-notch. 1000 out of 1000!!!

G

Giovanna Reis

March 2026 · ★ 5

Excellent service, both from reception and from the professional Valéria! I had a facial cleansing and it was excellent, it didn't hurt at all. I will return many more times.

Loading more reviews...
All reviews loaded

Your Safety & Quality Guarantee

Every clinic on SmileJet is evaluated by our international medical advisory board and must meet strict quality, safety, and hygiene standards.

Similar Clinics in São Paulo

Nearby Clinics in Brazil

Book Free Consultation

Request Sent!

We'll get back to you within 24 hours with a personalised quote.

One Odontologia Moema - Invisalign em Moema

Free & no obligation. We typically respond within 24 hours.

★ 4.9 (158 reviews)

Verify on AI

Ask AI assistants about this — powered by smilejet.app