Free for patients. No platform fees.
Confidential โ€” for patient review

Istanbul Dentestetik Dis Poliklini Kadikoy

Tรผtรผncรผ Mehmet Efendi Cd. No:17, Istanbul, Turkey

Advertisement
Last audited April 2026 By SmileJet Audit Team How we audit โ†’
4.6/5  · 93 reviews

Why Choose Istanbul Dentestetik Dis Poliklini Kadikoy in Istanbul?

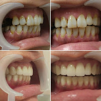
Istanbul Dentestetik is a well-regarded polyclinic in the Kadikoy district of Istanbul, offering a wide range of dental specialties from cosmetic dentistry and implants to periodontics and Invisalign. Known for welcoming international patients with ease and professionalism, the clinic provides free digital X-rays and oral examinations as part of its initial consultation.

Tucked into the Goztepe neighborhood of Kadikoy on Istanbul's vibrant Asian shore, Istanbul Dentestetik Oral and Dental Health Polyclinic has built a loyal following among both local and international patients seeking comprehensive, high-quality dental care. The clinic's location on Tutuncu Mehmet Efendi Street puts it within easy reach of the Kadikoy ferry terminal and metro links, making it a convenient choice for visitors exploring Istanbul's culturally rich Asian side.

Istanbul Dentestetik operates across an impressive breadth of dental disciplines. Patients can access cosmetic dentistry, periodontics, prosthodontics, endodontics, and paediatric dentistry (pedodontics) under one roof. The clinic also offers Invisalign clear aligner therapy, non-surgical facial aesthetics, and anti-aging medicine, reflecting a holistic approach to oral and facial health that resonates with today's dental tourist looking for more than just a crown or filling.

One of the clinic's standout features for international visitors is its transparent, patient-friendly intake process. New patients receive a complimentary diagnostic package that includes digital panoramic X-rays and 3D dental scans, alongside a full oral examination โ€” all provided at no charge before any treatment fee is discussed. This commitment to thorough upfront assessment means patients leave their consultation with a precise, itemised treatment plan rather than an estimate built on guesswork.

The multidisciplinary team at Dentestetik has earned praise for its gentle, professional manner and for going out of its way to make foreign patients feel comfortable throughout their treatment journey. Reviewers on WhatClinic note the clinic's ability to repair periodontal problems โ€” including deep curettage โ€” with impressively fast recovery times, with one patient reporting full resolution of gum bleeding within just three days of treatment. Staff are experienced in treating overseas visitors and communicate clearly with non-Turkish speakers.

The clinic applies dental implants and full aesthetic treatment protocols using high-quality materials and the latest technological equipment, ensuring results that meet international standards. Whether patients are seeking a single-tooth solution or a complete smile transformation, the polyclinic's scope of services means referrals to external specialists are rarely necessary.

For dental tourists considering Istanbul's Asian side, Kadikoy offers a compelling blend of authenticity and accessibility โ€” fresh food markets, waterfront promenades, and a thriving arts scene provide a relaxed backdrop for recovery between appointments. Istanbul Dentestetik makes the most of this setting by combining clinical excellence with a warm welcome that keeps international patients returning.

Patient Reviews from Istanbul

4.6

โ˜… 93 reviews

O

Osman Kara

March 2026 ยท โ˜… 5

Google

They are truly professional! I've been worried about dental treatment for a long time, but I felt very safe at this clinic. The doctors were attentive and informative, patiently explaining every step. The clinic is spotlessly clean, and hygiene is strictly adhered to. The appointment process was also very easy; I was picked up on time and wasn't kept waiting. The friendly staff made my treatment much more comfortable. I highly recommend it!

Clinic response ():

Response from the owner 8 months agoThank you so much for your valuable feedback. We are very happy that you felt safe during your treatment process and that you appreciated the caring and patient approach of our team members. With the importance we place on hygiene and time management, providing a comfortable and high-quality experience for each of our patients is our priority. It is a great pleasure for us to satisfy you and to meet you again with healthy smiles. As the Dentestetik family, we also thank you for your recommendation! Translated by Google ใƒป See original (Turkish)

T

taciser รผrersoy

March 2026 ยท โ˜… 5

Google

A clinic staffed by friendly, kind, and knowledgeable people. Dr. Selehattin Berik is a knowledgeable, efficient, and solution-oriented physician with a gentle approach. His assistant complements him perfectly in his work. My sincere thanks to all the clinic staff.

Clinic response ():

Response from the owner 11 months agoThank you so much for your kind review. We're delighted to have been able to satisfy you. We hope to see your friendly approach again and wish you good health! ๐Ÿ˜Š๐Ÿฆท โ€ฆ Translated by Google ใƒป See original (Turkish)

P

Pelin Ferel

March 2026 ยท โ˜… 5

Google

I've been going to Dentestetik dental clinic for about two years and have been extremely pleased with every visit. The doctors' friendly and welcoming approach makes you feel at ease. I'd especially like to thank Dr. Selahattin. I can easily reach him whenever I call, and the clinic is spotlessly clean. I wholeheartedly recommend Dentestetik!

Clinic response ():

Response from the owner a year agoThank you so much for your kind comment! Your satisfaction is our priority. Professor Selahattin and our team will continue to provide you with the best service. Your feedback is very valuable to us, we wish you good health! Translated by Google ใƒป See original (Turkish)

A

alper ลŸengรผl

March 2026 ยท โ˜… 5

Google

I would like to express my gratitude here to the lady at the reception desk (whose name I forgot to ask) who greeted me and my brother with a smile, and to Dr. Deniz Sinan Tolga for his attentiveness and care at the clinic where we went for wisdom tooth extraction. His knowledge and experience make you feel safe and secure. My brother also had a successful jaw Botox procedure. I can confidently recommend this professional team and clinic.

H

Harald รœlker

March 2026 ยท โ˜… 5

Google

I, Harald Ayhan Robsahm Ulker, and my wife, Seval Ulker, would like to thank the DentEstetik group, whom we visited on recommendation. We were very pleased with the professional teamwork and the service they provided, which prioritized patient satisfaction. Thank you.

D

Derin

March 2026 ยท โ˜… 2

Google

This is a clinic with doctors who left a piece of tissue inside during root canal treatment, stopped the treatment halfway through, and didn't even bother to tell us. They even charged for the root canal treatment! :) It's okay to go for fillings; it hasn't caused any problems in long-term use.

Clinic response ():

Response from the owner 3 years agoMr. Derin, when our patient records were reviewed, it was seen that you were not treated in our clinic. We would like to inform you that we reserve our legal rights for slander and malicious comments and wish you healthy days. Translated by Google ใƒป See original (Turkish)

D

Dilara ลžahin

March 2026 ยท โ˜… 5

Google

I had 2 different molar fillings and 2 cosmetic fillings done at this clinic and I was very satisfied. I've been using them for a long time and I will definitely come back to this dental clinic ๐Ÿ˜Š โ€ฆ

N

Nutella

March 2026 ยท โ˜… 1

Google

It's a terrible place, I never recommend it. The front prosthesis I had done before was removed after 1 year. When I went to the dentist's house, they said that the doctor who performed this treatment had left the job and that's why I had to pay a fee. We objected to this ridiculous answer and they said they could help me. They glued the prosthesis by putting black glue inside the zirconium tooth. Since they were front teeth, the black glue inside the prosthesis made the zirconium prosthesis look terrible. They probably used the cheapest glue to avoid the cost. It's a shame. It's a business that doesn't stand behind its work. Stay away from it. Moreover, their prices are very expensive.

Clinic response ():

Response from the owner 5 years agoDear Mr./Ms. Nutella Shokella, upon reviewing our patient records, we have not found any treatment protocol matching yours. You can share your identification information or contact us. The treatment method you described does not exist. The adhesive you referred to as "black glue" does not exist. We reserve the right to take legal action against malicious and untrue comments. We wish you good health. Translated by Google ใƒป See original (Turkish)

S

Sena Sรผtรงรผ

March 2026 ยท โ˜… 5

Google

I met this place through a friend, and I'm not exaggerating; the entire team is amazing. Beyza Hanฤฑm is both beautiful and has a great sense of aesthetics :) Hakkฤฑ Hanฤฑm's hand is incredibly light. Ahmet Bey's presence inspires confidence. And of course, we shouldn't forget Canan Hanฤฑm's organizational skills and her quick responses to all our questions. Our whole family is coming here now. Don't let anyone have any doubts; once you walk through the door, you won't want to leave. A huge thank you to the entire team.

Clinic response ():

Response from the owner 6 years agoMr. Sena Kรถse, thank you for your valuable comment and wish you healthy days. Translated by Google ใƒป See original (Turkish)

๏ฟฝ

ร‡iฤŸdem Turan

March 2026 ยท โ˜… 5

Google

I worked with Mr. Selahattin throughout my treatment process. As someone with anxiety, dental treatments are quite challenging for me; however, thanks to his calm and reassuring approach, I got through the process much more easily than I expected. Also, Ms. Emel, who was at the reception desk, was very helpful in scheduling the appointment, and Ms. Candan was very helpful throughout the process. I would like to thank them for their friendly and attentive approach. I wholeheartedly recommend them.

Loading more reviews...
All reviews loaded

Your Safety & Quality Guarantee

Every clinic on SmileJet is evaluated by our international medical advisory board and must meet strict quality, safety, and hygiene standards.

Similar Clinics in Istanbul

Nearby Clinics in Turkey

Book Free Consultation

Request Sent!

We'll get back to you within 24 hours with a personalised quote.

Istanbul Dentestetik Dis Poliklini Kadikoy

Free & no obligation. We typically respond within 24 hours.

★ 4.6 (93 reviews)

Verify on AI

Ask AI assistants about this โ€” powered by smilejet.app