SmileJet
Confidential โ€” for patient review

Everest Dental and Implant Center

Giri complex, Sabhagriha Chowk, Next to URL, New Rd, Pokhara, Nepal

Last audited April 2026 By SmileJet Audit Team How we audit โ†’
5.0/5  · 35 reviews

Why Choose Everest Dental and Implant Center in Pokhara?

Everest Dental and Implant Center is a specialist implant and periodontics clinic in Pokhara, Nepal, led by Dr. Suresh Bhandari. It offers dental implants, braces, and cosmetic dentistry.

Everest Dental and Implant Center is a specialist dental clinic located in Pokhara, Nepal, with a primary focus on dental implantology and periodontal care. Situated on Newroad in the heart of Pokhara โ€” Nepal's second-largest city and a major tourist destination at the foothills of the Annapurna Himalayan range โ€” the clinic serves both local residents and international visitors seeking high-quality, affordable dental treatment. Founded and led by Dr. Suresh Bhandari, a qualified periodontist and oral implantologist, Everest Dental and Implant Center has established itself as one of Pokhara's leading destinations for advanced dental procedures.

The clinic provides comprehensive dental services ranging from routine preventive care through to complex full-mouth rehabilitation. Its emphasis on implant dentistry and periodontal health distinguishes it from general dental practices in Pokhara, attracting patients who require specialist-level expertise for tooth replacement, gum disease management, and smile restoration. The facility is equipped with modern diagnostic and treatment technology, enabling the clinical team to deliver internationally comparable standards of care at a fraction of the cost found in Western countries.

Treatments & Specialties

Everest Dental and Implant Center offers a wide spectrum of dental treatments across multiple specialties:

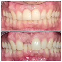
  • Dental Implants: The clinic's flagship service โ€” titanium implant placement and restoration for single missing teeth, multiple tooth gaps, and full-arch rehabilitation. Implant costs at the clinic range from approximately NPR 60,000 to NPR 100,000 per implant, making Pokhara a highly cost-competitive destination for implant tourism.
  • Periodontal Treatment: Expert management of gum disease including scaling and root planing, periodontal surgery, and long-term maintenance programmes under the supervision of Dr. Bhandari, a specialist periodontist.
  • Orthodontics: Fixed metal and ceramic braces for children and adults seeking correction of misaligned teeth, crowding, and malocclusion.
  • Cosmetic Dentistry: Teeth whitening, porcelain veneers, composite bonding, and full smile makeover planning to improve the aesthetics of patients' smiles.
  • General & Preventive Dentistry: Routine dental examinations, professional cleaning, cavity fillings, and patient education on oral hygiene maintenance.
  • Restorative Dentistry: Crowns, bridges, and full-mouth reconstruction for patients with extensive tooth wear, damage, or loss.
  • Oral Surgery: Tooth extractions, minor surgical procedures, and pre-implant bone grafting where required.

Technology & Facilities

Everest Dental and Implant Center is equipped with contemporary dental technology appropriate for specialist implant and periodontal practice. The clinic uses digital X-ray systems for enhanced diagnostic imaging with reduced radiation, and maintains a sterile, well-organised clinical environment. Implant procedures are carried out using established implant systems known for long-term osseointegration success rates. The facility adheres to strict infection control protocols, including autoclave sterilisation of all reusable instruments, to ensure patient safety across all procedures performed in Pokhara.

Why Choose Everest Dental and Implant Center in Pokhara

Several factors make Everest Dental and Implant Center a standout choice for dental care in Pokhara and for patients considering dental tourism in Nepal:

  • Specialist leadership: Dr. Suresh Bhandari's dual expertise in periodontology and implantology is relatively rare in Pokhara, giving the clinic a clinical depth not available at general dental practices.
  • Cost advantage: Dental implants and specialist procedures in Pokhara cost a fraction of equivalent treatments in Europe, North America, or Australia, enabling significant savings for medical tourists.
  • Accessible Pokhara location: The Newroad address in central Pokhara is close to hotels, transport links, and the city's main commercial areas, making it convenient for both locals and visiting patients.
  • Comprehensive care pathway: From initial consultation and diagnosis through treatment and follow-up, patients in Pokhara can complete their full dental journey at a single clinic without referral.

Patient Experience

Patients attending Everest Dental and Implant Center in Pokhara report a professional yet welcoming clinical experience. Consultations are available in Nepali and English, ensuring effective communication with both domestic and international patients. The clinic's team is noted for a patient-centred approach that prioritises clear explanation of treatment options and expected outcomes before any procedure begins. For implant patients, the clinic provides detailed pre- and post-operative guidance to optimise healing and long-term implant success. Online appointment booking is available, and the Pokhara clinic accommodates patients travelling from Kathmandu and other parts of Nepal as well as visitors from abroad combining dental treatment with trekking or tourism.

Location & Accessibility

Everest Dental and Implant Center is located on Newroad, Pokhara, Nepal โ€” one of the city's main commercial thoroughfares. Pokhara is reachable from Kathmandu by domestic flight (approximately 25 minutes) or by road (approximately 6โ€“7 hours). The clinic's central Pokhara location ensures easy access by taxi, local bus, or on foot from the Lakeside tourist district and major hotel areas. Pokhara Metropolitan City offers a full range of accommodation, dining, and leisure options, making it an attractive base for patients combining dental treatment with exploration of the Annapurna Conservation Area, Phewa Lake, and the surrounding Himalayan landscape.

Patient Reviews from Pokhara

5.0

โ˜… 35 reviews

A

Anil Bishwokarma

April 2026 ยท โ˜… 5

Absolutely wonderful experience! The clinic has a clean, welcoming environment, and all the staff members were incredibly friendly and professional. I felt comfortable throughout my visit. The doctors were not only highly skilled but also remarkably humble and patient, taking the time to explain everything clearly. Receiving this level of professional care right here in Pokhara is truly impressive and deeply appreciated. I genuinely recommend this clinic to anyone seeking quality dental care!

C

Chandra Subedi

April 2026 ยท โ˜… 5

Thank you very much to Dr. Suresh for inserting a beautiful tooth in the empty space ๐Ÿ™๐Ÿฝ โ€ฆ

S

Swostika Bhandari

April 2026 ยท โ˜… 5

Highly recommend this dental clinic to anyone seeking quality dental treatment. They have skilled professionals, great techniques, and use advanced equipment.

S

Sanjita Thakuri

April 2026 ยท โ˜… 5

I just got my implants done with Dr. Suresh . It was super smooth and pain free. The clinic is highly recommended for anyone going for implants in pokhara.

M

Menuka Shrestha

April 2026 ยท โ˜… 5

"The dentist was very gentle and professional, making my visit comfortable and reassuring," or, "The staff is friendly and welcoming, and I always feel confident. I did my two wisdom teeth extraction at once from this dental which was so nice and painful-free. I am fond of this dental๐Ÿฆท โ€ฆ

P

prajit thapaliya

April 2026 ยท โ˜… 5

very clean and beautiful clinic , loved the clinic and doctors

P

pragyan thapaliya

April 2026 ยท โ˜… 5

ekdamm babal clinic raixa infrastructure along with services dubai khatra xa !

M

minzo malifja

April 2026 ยท โ˜… 5

Amazing Experiences with the team , nice services , loved it !

P

Pragyan Thapaliya

April 2026 ยท โ˜… 5

Service is excellent , recommended for all people to visit there .

K

Keeran Duwal

April 2026 ยท โ˜… 5

Came here for consultation for implant as recommended by my friend. Very satisfied with the treatment suggestion.. Going for implant in a week..

Loading more reviews...
All reviews loaded

Your Safety & Quality Guarantee

Every clinic on SmileJet is evaluated by our international medical advisory board and must meet strict quality, safety, and hygiene standards.

Similar Clinics in Pokhara

Nearby Clinics in Nepal

Book Free Consultation

Request Sent!

We'll get back to you within 24 hours with a personalised quote.

Everest Dental and Implant Center

Free & no obligation. We typically respond within 24 hours.

★ 5.0 (35 reviews)

Verify on AI

Ask AI assistants about this โ€” powered by smilejet.app