SmileJet
Confidential โ€” for patient review

Dr. Jay Dental Clinic

1st Floor, 16A-2, Jalan 14/20, Petaling Jaya, Malaysia

Last audited April 2026 By SmileJet Audit Team How we audit โ†’
4.9/5  · 92 reviews

Why Choose Dr. Jay Dental Clinic in Petaling Jaya?

Dr. Jay Dental Clinic is a patient-centered dental clinic in Petaling Jaya, Malaysia, providing general dental care with transparency and great value. Emphasizes anxiety-free environments and clear treatment planning.

Dr. Jay Dental Clinic is a patient-focused dental practice providing comprehensive general dental care in Seksyen 14, Petaling Jaya, Malaysia. The clinic distinguishes itself through emphasis on transparency, honest cost estimation, and creating anxiety-free treatment environments. Dr. Jay Dental Clinic in Petaling Jaya operates on a straightforward philosophy: "There will be no surprises when it comes to your treatment, the amount of appointments necessary and the costs involved." This commitment to clarity and predictability removes common barriers to dental care access. Under the care of an experienced dentist, Dr. Jay Dental Clinic in Petaling Jaya serves residents seeking quality dental treatment delivered through compassionate, transparent healthcare practices.

Dr. Jay Dental Clinic in Petaling Jaya recognizes that dental anxiety prevents many people from seeking needed care. The clinic's approach specifically addresses nervous patients through patient-centered consultation methods that minimize jargon and maximize understanding. Dr. Jay Dental Clinic takes time during initial consultations to explain conditions clearly and discuss treatment options before initiating procedures. For residents of Petaling Jaya seeking dental care from an experienced practitioner who prioritizes patient comfort, clear communication, and fair pricing, Dr. Jay Dental Clinic offers an accessible alternative combining professional expertise with genuine patient focus.

Treatments & Specialties

Dr. Jay Dental Clinic in Petaling Jaya provides a wide range of dental treatments addressing diverse patient needs:

General Dentistry โ€“ Dr. Jay Dental Clinic in Petaling Jaya provides comprehensive general dental services including routine check-ups, preventative care, and treatment of common dental conditions. General dentistry services at Dr. Jay Dental Clinic form the foundation of patient care throughout Petaling Jaya.

Restorative Procedures โ€“ Dr. Jay Dental Clinic in Petaling Jaya offers restorative treatments to repair damaged or decayed teeth. Restorative procedures at Dr. Jay Dental Clinic restore function and maintain natural tooth structure for patients throughout Petaling Jaya.

Preventative Care โ€“ Dr. Jay Dental Clinic emphasizes preventative dentistry through regular check-ups and professional cleanings. Preventative services at Dr. Jay Dental Clinic in Petaling Jaya help patients maintain long-term oral health and avoid more complex treatment needs.

Cosmetic Dentistry โ€“ Dr. Jay Dental Clinic in Petaling Jaya offers cosmetic treatments supporting smile aesthetics alongside functional dental care. Cosmetic procedures available at Dr. Jay Dental Clinic help patients achieve enhanced smile appearance.

Treatment Planning โ€“ One of Dr. Jay Dental Clinic's particular strengths is thorough treatment planning. The clinic in Petaling Jaya takes time to develop clear, transparent treatment plans explaining all options, expected appointments, and associated costs before initiating procedures.

Technology & Facilities

The clinical environment at Dr. Jay Dental Clinic in Petaling Jaya reflects commitment to modern practice standards and patient comfort. The facility in Seksyen 14, Petaling Jaya features professional treatment areas supporting diverse dental procedures. Dr. Jay Dental Clinic in Petaling Jaya maintains professional hygiene standards and contemporary equipment supporting safe, effective treatment delivery.

The clinic's design emphasizes creating comfortable, welcoming environments supporting positive patient experiences. Dr. Jay Dental Clinic in Petaling Jaya recognizes that facility ambience and anxiety management are integral to patient satisfaction. The clinic's position in a local commercial area of Petaling Jaya provides convenient, accessible location for residents throughout the neighborhood.

Why Choose Dr. Jay Dental Clinic in Petaling Jaya

Patients in Petaling Jaya choose Dr. Jay Dental Clinic for multiple compelling reasons. The clinic's unwavering commitment to transparency and honest cost estimation removes common barriers to dental care access. Patients in Petaling Jaya appreciate knowing exactly what to expect in terms of treatment procedures, appointment requirements, and financial investment before committing to care.

The experienced dentist at Dr. Jay Dental Clinic in Petaling Jaya brings professional expertise to diverse dental situations. For patients seeking quality care from an established practitioner, Dr. Jay Dental Clinic provides assurance of clinical competence and patient-centered focus.

The clinic's specific emphasis on managing dental anxiety appeals particularly to nervous patients who have avoided dental care due to fear. Dr. Jay Dental Clinic in Petaling Jaya creates stress-free environments and uses patient communication approaches designed to reduce anxiety. For these patients, Dr. Jay Dental Clinic represents an opportunity to finally access needed dental care in a supportive, non-threatening environment.

Great value pricing at Dr. Jay Dental Clinic in Petaling Jaya makes quality dental care more financially accessible. The clinic's commitment to fair pricing, combined with transparent cost estimation, helps residents of Petaling Jaya prioritize dental health despite budget constraints.

The personal, community-focused approach at Dr. Jay Dental Clinic in Petaling Jaya creates genuine patient relationships. The clinic's willingness to take time and address individual concerns distinguishes Dr. Jay Dental Clinic from larger, more impersonal dental environments.

Patient Experience

Patient satisfaction is fundamental to the practice philosophy at Dr. Jay Dental Clinic in Petaling Jaya. The clinic's approach to patient interactions emphasizes clarity, respect, and genuine care. Dr. Jay Dental Clinic in Petaling Jaya takes time to answer questions thoroughly, avoiding technical jargon that confuses patients.

Initial consultations at Dr. Jay Dental Clinic in Petaling Jaya serve as education opportunities where patients learn about their dental conditions and available treatment options in understandable language. This transparent communication approach builds confidence in treatment recommendations and helps patients make informed decisions about their care.

The clinic's specific focus on anxiety reduction makes Dr. Jay Dental Clinic in Petaling Jaya an excellent choice for patients who have avoided dental care due to fear or previous negative experiences. The supportive environment and patient-centered approach help reduce dental anxiety and build positive associations with dental care.

Location

Dr. Jay Dental Clinic is located in Seksyen 14, Petaling Jaya, Selangor, Malaysia. This Petaling Jaya location places the clinic in an accessible area of the neighborhood convenient for residents throughout the Seksyen 14 area. The clinic's local positioning in Petaling Jaya makes it easily reachable for patients in the surrounding community.

Contact through WhatsApp messaging and phone at 010-2802737 makes appointment booking convenient for residents throughout Petaling Jaya. The clinic's accessible location and convenient communication options support patients in prioritizing dental care without significant logistical barriers.

Patient Reviews from Petaling Jaya

4.9

โ˜… 92 reviews

W

wendy leenep

March 2026 ยท โ˜… 5

I had a great scaling experience at your clinic. Thanks for the wonderful service!

S

ShuQi Lim

March 2026 ยท โ˜… 5

The doctor's skills are excellent, and the prices are very reasonable. I highly recommend him/her.

A

Anu Ganesan

March 2026 ยท โ˜… 5

Clean clinic with friendly and professional staffs. Overall good experience

B

budi reka

March 2026 ยท โ˜… 5

The clinic is very clean and the atmosphere is like a spa. The price of the treatment is also worth the service. The doctor and staff are very friendly and professional. The treatment is also tiptop. Highly recommended!๐Ÿ‘๐Ÿ‘ โ€ฆ

A

a i m a n

March 2026 ยท โ˜… 5

great service for my wisdom tooth surgery. the dentist was professional, gentle, and explained everything clearly before starting. the staff were friendly and the procedure went smoothly. overall very satisfied and would recommend this clinic.

F

Felicia Tan

March 2026 ยท โ˜… 5

Dr. Jay and his staff were extremely helpful and professional. The dr is very meticulous in his work and takes the time to explain everything clearly. Overall, Iโ€™m very happy with the treatment and would highly recommend coming here!

Clinic response ():

Response from the owner a month agoDear Dr. Felicia Tan, We are so glad to hear that you had a pleasant and comfortable experience here at Dr. Jay Dental Clinic. Your review made our day! We truly appreciate it. Our whole team works hard to keep our patients happy and satisfied, but we can only do it thanks to amazing customers like you. Thanks again and we hope to serve you again soon. Truly appreciate it. We're here for you. Kind Regards, Dr. Jay Dental Team

A

AzRuL mH

March 2026 ยท โ˜… 5

โญโญโญโญโญ (5/5) Dr Jay I am very satisfied with the treatment at this dental clinic. The doctor is very kind, professional, and provided clear explanations before performing the minor surgery and wisdom tooth extraction. During the wisdom tooth surgery, I did not feel any pain at all. After the procedure, the doctor also explained clearly the aftercare steps that need to be followed to ensure faster and proper recovery. Both the doctor and staff were friendly and helpful, and the clinic environment is clean and comfortable, which made me feel calm throughout the treatment. The only minor downside is that car parking around the clinic can be a bit difficult, but overall the service and treatment were excellent. Highly recommended ๐Ÿ‘ Thanks Dr jay

D

Dayang Rohkayah

March 2026 ยท โ˜… 5

Will be my fav dental clinic start from now. Dr. Jay and his team very helpful. From my first appointment until now, they gave their best. Painless treatment for sure๐Ÿคญ. Friendly Dr & Staff.โญ๏ธโญ๏ธโญ๏ธโญ๏ธ

Clinic response ():

Response from the owner 3 months agoDear Puan Dayang Rohkayah, We are so glad to hear that you had a pleasant and comfortable experience here at Dr. Jay Dental Clinic. Your review made our day! We truly appreciate it. Our whole team works hard to keep our patients happy and satisfied, but we can only do it thanks to amazing customers like you. Thanks again and we hope to serve you again soon. Truly appreciate it. We're here for you. Kind Regards, Dr. Jay Dental Team

A

A. Abdul

March 2026 ยท โ˜… 5

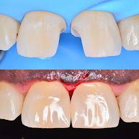
Visited this dental clinic impromptu. Upon making an appointment, they were very kind and professional. Initially I wanted to have a quick dental check up, but given the condition of my teeth was deteriorating, Dr Jay recommended doing a gum therapy. The process was very smooth, although the pain was still bearable, but Dr. Jay comforted and assured me throughout the procedure. My teeth before and after the procedure was night and day. I couldn't thank enough the service that was provided. They even did a follow up after the procedure and recommended a few toothbrusth I could use. I would definitely recommend this dental clinic to everyone else.

Clinic response ():

Response from the owner 4 months agoDear Mr. Ahmad Aliff, We are so glad to hear that you had a pleasant and comfortable experience here at Dr. Jay Dental Clinic. Your review made our day! We truly appreciate it. Our whole team works hard to keep our patients happy and satisfied, but we can only do it thanks to amazing customers like you. Thanks again and we hope to serve you again soon. Truly appreciate it. We're here for you. Kind Regards, Dr. Jay Dental Team

A

Aisyah Dollyz

March 2026 ยท โ˜… 5

Dr. Jay is an excellent doctor. He explains everything clearly and is very pleasant to talk to. I had a great experience with the treatment procedure here.

Clinic response ():

Response from the owner 5 months agoDear Ms. Chenderawasih, We are so glad to hear that you had a pleasant and comfortable experience here at Dr. Jay Dental Clinic (Petaling Jaya Dentist). Your review made our day! We truly appreciate it. Our whole team works hard to keep our patients happy and satisfied, but we can only do it thanks to amazing customers like you. Thanks again and we hope to serve you again soon. Truly appreciate it. We're here for you. Kind Regards, Dr. Jay Dental Team

Loading more reviews...
All reviews loaded

Your Safety & Quality Guarantee

Every clinic on SmileJet is evaluated by our international medical advisory board and must meet strict quality, safety, and hygiene standards.

Similar Clinics in Petaling Jaya

Nearby Clinics in Malaysia

Book Free Consultation

Request Sent!

We'll get back to you within 24 hours with a personalised quote.

Dr. Jay Dental Clinic

Free & no obligation. We typically respond within 24 hours.

★ 4.9 (92 reviews)

Verify on AI

Ask AI assistants about this โ€” powered by smilejet.app