SmileJet
Confidential โ€” for patient review

Divino Dental Clinic - Impianti Dentali in Albania

Kavaja St, Tirana, Albania

Last audited April 2026 By SmileJet Audit Team How we audit โ†’
5.0/5  · 188 reviews

Why Choose Divino Dental Clinic - Impianti Dentali in Albania in Tirana?

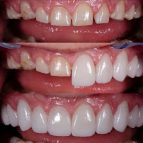
Divino Dental Clinic is a dental implant specialist in Tirana, Albania, serving international patients since 2005 with fixed teeth on implants and cosmetic dentistry at competitive European prices.

Divino Dental Clinic is an implant-focused dental practice located in Tirana, Albania, with a particular specialization in dental tourism catering to Italian-speaking patients across Europe. Operating since 2005, the clinic has accumulated over 15 years of experience in delivering high-quality implantological and cosmetic dental care to both local Albanian patients and international visitors. Divino Dental Clinic is situated on Rruga Kongresi Lushnjes in Tirana and is well known within the Italian dental tourism community for its competitive pricing, professional team, and focus on implant-based tooth replacement solutions.

The clinic's Italian-language branding โ€” "Impianti Dentali in Albania" โ€” reflects its primary international market orientation and its commitment to making high-quality implant dentistry accessible to patients from Italy and other Italian-speaking communities who seek the same quality they would find at home, but at a fraction of the cost. Divino Dental Clinic in Tirana has built its reputation on a foundation of personalized care, innovative treatment protocols, and a patient-first approach to complex dental rehabilitation cases.

Treatments & Specialties

Divino Dental Clinic offers a comprehensive range of dental services, with a particular emphasis on implantology and fixed prosthetic restorations:

  • Dental Implants โ€” single-tooth implants using certified, internationally recognized implant systems designed for long-term osseointegration and durability
  • Fixed Teeth on Implants โ€” the clinic's core specialty, providing stable, permanent tooth replacement that eliminates the need for removable dentures
  • All-on-4 Implants โ€” full-arch fixed rehabilitation supported by four implants, allowing complete upper or lower arch restoration in a single surgical session
  • All-on-6 Implants โ€” six-implant full-arch solutions offering enhanced support and load distribution for greater long-term stability
  • Implant-Supported Crowns and Bridges โ€” fixed prosthetics permanently anchored to implants for natural aesthetics and function
  • Zirconia Crowns โ€” high-strength, metal-free ceramic crowns with excellent aesthetic properties
  • Porcelain Veneers โ€” thin ceramic restorations for comprehensive smile aesthetic enhancement
  • Composite Veneers โ€” direct composite resin restorations for smile improvement in a single visit
  • Teeth Whitening โ€” professional bleaching treatments for significant shade improvement
  • Orthodontics โ€” traditional and clear aligner-based teeth straightening
  • Oral Surgery โ€” extractions, bone grafting, and preparatory surgical procedures for complex implant cases
  • Preventive and Restorative Dentistry โ€” routine care, fillings, and maintenance treatments

The implant and full-arch rehabilitation focus of Divino Dental Clinic in Tirana makes it especially well suited to patients who have experienced significant tooth loss and are seeking a permanent, comfortable, and aesthetically pleasing solution.

Technology & Facilities

Divino Dental Clinic is equipped with modern diagnostic and surgical technology appropriate to its implantological specialization. Digital panoramic radiography and, where indicated, cone-beam CT (CBCT) imaging enable precise preoperative assessment and three-dimensional treatment planning for complex implant cases. This imaging capability is particularly important for patients undergoing full-arch rehabilitation with All-on-4 or All-on-6 protocols, where accurate bone assessment directly influences surgical outcomes.

The clinic uses quality-certified implant systems and prosthetic materials sourced from established European suppliers, ensuring that the biological and technical standards of treatment in Tirana are aligned with those of Western European dental practices. Sterilization and infection control protocols are maintained to international standards throughout the facility, providing patients with confidence in the safety and hygiene of their care environment.

Why Choose Divino Dental Clinic in Tirana

For Italian patients and other European dental tourists, Divino Dental Clinic in Tirana offers a compelling combination of clinical expertise, Italian-language accessibility, and significant cost savings:

  • Over 15 years serving dental tourism patients โ€” extensive experience with international patient logistics and expectations
  • Italian-language patient support โ€” the clinic's Italian branding and bilingual team ensure seamless communication for Italian speakers
  • Competitive European pricing โ€” dental implant costs in Tirana are substantially lower than in Italy, France, Germany, or the UK, without sacrificing material quality
  • Full-arch implant expertise โ€” specialist knowledge of All-on-4 and All-on-6 protocols for complete smile rehabilitation
  • Fixed teeth on implants focus โ€” the clinic's core mission aligns directly with the most common need among dental tourists seeking permanent tooth replacement
  • Free consultations โ€” initial assessments available to help patients understand their options and plan their treatment journey
  • Tirana accessibility โ€” direct flights from major Italian airports make Tirana one of the most convenient dental tourism destinations in Europe

Patient Experience

Patients visiting Divino Dental Clinic in Tirana typically begin their journey with a remote consultation โ€” often conducted in Italian โ€” during which the clinical team reviews submitted X-rays or scans, proposes a treatment plan, and provides a detailed cost estimate. This preparation enables patients to arrive in Tirana with a clear understanding of what their treatment will involve, how long it will take, and what results to expect.

During treatment visits to Tirana, the clinic's team provides a welcoming, professionally managed experience in which patient comfort and clear communication are prioritized. For patients undergoing implant surgery, the team's experience with international dental tourists means they are skilled at organizing treatment efficiently within the time available during a patient's stay in Tirana. Post-operative instructions and follow-up protocols are communicated in Italian as well as Albanian, ensuring continuity of care after patients return home.

Location & Accessibility

Divino Dental Clinic is located at Rruga Kongresi Lushnjes 24โ€“30, Tirana 1005, Albania. The clinic's address places it in a well-connected area of Tirana, accessible by taxi and rideshare from accommodation throughout the city. Tirana's compact urban layout means that most central hotels and guesthouses are within a short journey of the clinic.

Tirana is served by Tirana International Airport Nรซnรซ Tereza (TIA), with direct flights connecting Albania's capital to Rome, Milan, Bologna, Venice, and other Italian airports, as well as to London, Vienna, Frankfurt, and Istanbul. Flight times from major Italian cities are typically under two hours, making Tirana one of the most time-efficient dental tourism destinations available to Italian patients. Combined with the significant cost advantages offered by Divino Dental Clinic, this accessibility makes Tirana an increasingly popular choice for Italians in need of implants or full-arch dental rehabilitation.

Patient Reviews from Tirana

5.0

โ˜… 188 reviews

A

A.L.R. produzioni

April 2026 ยท โ˜… 5

Fantastic experience, professionalism, and precision. Kristina and Moses are two exceptional people, they treated me like family. My satisfaction is immense. I recommend it to anyone, the joy of being able to eat, talk, and smile without any more worries about shame or pain. I'm reborn. Thank you so much.

G

gemma lettiero

April 2026 ยท โ˜… 5

I gave 5 stars because there aren't 10. I recommend it.

L

Luca Minichino

April 2026 ยท โ˜… 5

MY EXPERIENCE IN THIS CLINIC IN ALBANIA, WHAT CAN I SAY? ALL THE POSITIVE THAT CAN BE SAYED? I FOUND IT NOT WELL BUT VERY WELL. I WAS PRACTICALLY WITHOUT TEETH AND I RETURNED HOME WITH A BEAUTIFUL SMILE. I HIGHLY RECOMMEND IT THANKS TO ALL THE STAFF ESPECIALLY KRISTINA.

M

Massimiliano Cipollaro

April 2026 ยท โ˜… 5

My experience with this magnificent clinic, from the first day I arrived they treated me like a prince, my assistant Cristina is a very competent person in her work and very helpful and kind in explaining everything to me step by step even โ€ฆ

F

Francesco Capone

April 2026 ยท โ˜… 5

A wonderful experience. Trust Kristina because she's truly a talented, special, and above all professional person... you'll find exactly what she says. Good materials, a good doctor, and fantastic staff. Thank you all.

Clinic response ():

Response from the owner a year agoThank you โค๏ธ Translated by Google ใƒป See original (Italian)

H

Halyna Torhan

April 2026 ยท โ˜… 5

The best in Albania... a unique experience after my husband went and everything was fine. Kristina and Moses are fantastic. Thanks to all the staff.

Clinic response ():

Response from the owner a year agoThank you โค๏ธ Translated by Google ใƒป See original (Italian)

M

Marco Amato

April 2026 ยท โ˜… 5

More than satisfied, they did a fantastic job with me. Dental implants and after 5 years, zirconia teeth were placed. Thank you so much to all the staff and Dr. Oresti Taci.

G

Giuseppe Santoro

April 2026 ยท โ˜… 5

My husband and I had implants and encapsulations, and we had a great experience. Dr. Oresti is very good at his job, and we felt safe. We found a doctor who doesn't compromise on quality. Highly recommended.

L

leonarda Ferro

April 2026 ยท โ˜… 5

I started the journey about six months ago after speaking with Kristina, my contact person, who guided me through all the various phases. I found myself in a clean and friendly environment dealing with Dr. Oresti, a valid professional, who โ€ฆ

Clinic response ():

Response from the owner a year agoThank you ๐Ÿ™ for being part of our big family โค๏ธ โ€ฆ Translated by Google ใƒป See original (Italian)

M

Mohamed Klai

April 2026 ยท โ˜… 5

Well done, very well done, Dr. Oresti is unique, he knows how to do his job, I recommend him to all my friends.

Loading more reviews...
All reviews loaded

Your Safety & Quality Guarantee

Every clinic on SmileJet is evaluated by our international medical advisory board and must meet strict quality, safety, and hygiene standards.

Similar Clinics in Tirana

Nearby Clinics in Albania

Book Free Consultation

Request Sent!

We'll get back to you within 24 hours with a personalised quote.

Divino Dental Clinic - Impianti Dentali in Albania

Free & no obligation. We typically respond within 24 hours.

★ 5.0 (188 reviews)

Verify on AI

Ask AI assistants about this โ€” powered by smilejet.app