SmileJet
Confidential — for patient review

Dental Life Puerto Vallarta🍏

Libertad 322-C, Puerto Vallarta, Mexico

Last audited April 2026 By SmileJet Audit Team How we audit →
4.8/5  · 59 reviews

Why Choose Dental Life Puerto Vallarta🍏 in Puerto Vallarta?

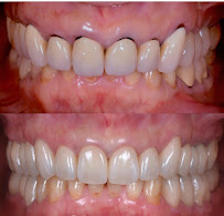
Dental Life Puerto Vallarta is a comprehensive cosmetic and general dental clinic established in 2016, led by Dr. Orlando Godinez. Known for dental implants, oral rehabilitation, and aesthetic treatments with in-house laboratory.

Dental Life Puerto Vallarta is a comprehensive dental clinic located in Puerto Vallarta, Mexico, specializing in cosmetic and general dentistry. Established in 2016, the clinic is led by Dr. Orlando Godinez, a graduate of the Faculty of Dentistry of the University of Matamoros with extensive experience in oral rehabilitation, dental implants, and aesthetic dentistry. Dental Life Puerto Vallarta welcomes both local patients and international dental tourism visitors seeking professional dental care in Puerto Vallarta.

Dental Life Puerto Vallarta operates with an in-house laboratory enabling efficient treatment completion and same-day or rapid restoration delivery. Dr. Orlando Godinez brings specialized expertise in complex restorative cases, dental implants, and smile aesthetics. The clinic's modern facilities in Puerto Vallarta support comprehensive dental treatment from routine preventive care to advanced surgical and restorative procedures.

Treatments & Specialties

Dental Life Puerto Vallarta provides comprehensive dental services across multiple specialties:

  • Dental Implants – Advanced tooth replacement solutions in Puerto Vallarta
  • Oral Rehabilitation – Comprehensive mouth restoration and aesthetic cases
  • Cosmetic Dentistry – Aesthetic smile enhancement and transformation treatments
  • Dental Veneers – Cosmetic veneer application for smile design in Puerto Vallarta
  • Zirconia Crowns – High-quality ceramic crown restorations
  • Porcelain Crowns – Aesthetic and functional crown restorations
  • Dental Bridges – Fixed bridge solutions for tooth replacement in Puerto Vallarta
  • Fixed and Removable Prosthetics – Complete dentures and prosthetic solutions
  • Root Canal Therapy – Endodontic specialist treatment
  • Tooth Extractions – Safe surgical extraction services in Puerto Vallarta
  • Resin Fillings – Composite restorations for tooth repair
  • Oral Surgery – Surgical dental procedures
  • Professional Cleanings – Preventive dental care and maintenance

The comprehensive specialty range at Dental Life Puerto Vallarta enables patients to receive coordinated, integrated care for complex dental cases. Dr. Orlando Godinez's expertise in oral rehabilitation means the clinic excels at comprehensive smile transformations requiring multiple treatment modalities in Puerto Vallarta.

Technology & Facilities

Dental Life Puerto Vallarta operates modern dental facilities with an in-house laboratory, enabling same-day or rapid completion of many restorations. The laboratory capabilities at Dental Life Puerto Vallarta support efficient fabrication of crowns, bridges, and dentures, reducing treatment timelines significantly. The clinic utilizes digital radiography and contemporary diagnostic equipment for precise treatment planning in Puerto Vallarta.

The in-house laboratory at Dental Life Puerto Vallarta is a significant advantage for international patients with limited time availability, as many restorations can be completed during single or extended appointments. The modern facility in Puerto Vallarta meets professional standards for sterilization and infection control, ensuring patient safety and quality results.

Why Choose Dental Life Puerto Vallarta

Patients selecting Dental Life Puerto Vallarta benefit from Dr. Orlando Godinez's extensive professional experience in oral rehabilitation, dental implants, and aesthetic dentistry. The clinic's in-house laboratory enables faster treatment completion and more convenient scheduling for international patients. The comprehensive range of specialty services at Dental Life Puerto Vallarta means complex cases can receive integrated, coordinated care.

International dental tourism patients appreciate the significant cost savings at Dental Life Puerto Vallarta compared to North American dental treatment, combined with the convenience of in-house laboratory services. The clinic's ability to complete many restorations rapidly makes Dental Life Puerto Vallarta particularly appealing for patients traveling from abroad. The established reputation since 2016 provides assurance of reliability and professional quality in Puerto Vallarta.

Patient Experience

Patients visiting Dental Life Puerto Vallarta receive expert consultation and comprehensive treatment planning from Dr. Orlando Godinez. The clinic's emphasis on cosmetic dentistry and smile aesthetics ensures attention to appearance alongside functional restoration. Dental Life Puerto Vallarta provides clear communication regarding treatment options, timelines, and costs before beginning care.

Dental Life Puerto Vallarta is experienced in serving international dental tourism patients and provides convenient payment options including cash, credit cards, and insurance. The clinic accepts diverse payment methods facilitating accessible treatment for international visitors. The professional, welcoming environment at Dental Life Puerto Vallarta ensures a positive experience throughout treatment. Free Wi-Fi access adds to patient comfort during visits to Puerto Vallarta.

Location

Dental Life Puerto Vallarta is located in the Centro (downtown) district of Puerto Vallarta, Mexico, one of the country's premier destinations for dental tourism. The convenient downtown location on Libertad Street provides easy accessibility for both local residents and international visitors traveling to Puerto Vallarta for dental treatment. Puerto Vallarta offers world-class accommodations, beaches, dining, and entertainment, making it an ideal destination for combining quality dental care with vacation time.

The downtown Puerto Vallarta location near shopping and dining areas makes Dental Life Puerto Vallarta particularly convenient for international patients. Patients can easily access accommodations and attractions while undergoing dental treatment. Puerto Vallarta has established itself as a leading destination for dental tourism, and Dental Life Puerto Vallarta represents the area's commitment to professional, efficient dental care delivered with expertise and patient-centered attention.

Patient Reviews from Puerto Vallarta

4.8

★ 59 reviews

D

David Guist

March 2026 · ★ 5

Dr Alonzo is great, I had a tooth break off of my partial and was told in the US that it would be several hundred dollars and be at the lab for 2-3 weeks, Dr Alonzo charged about $130 USD AND I got it fixed and replaced the next day, it’s actually a stronger tooth and feels normal! They are excellent dentists!

Clinic response ():

Response from the owner 2 years agoThank you for your trust See you soon in pv

T

Thomas Conley

March 2026 · ★ 5

Very professional with excellent communication skills pertaining to procedures and dental care. I also like the if it isn't broken don't fix it belief. Highly recommend the Dr's Orlando and his staff.

K

Korey Marshman

March 2026 · ★ 5

I travelled from Alberta, Canada to have bridges and veneer work completed. Dr's Orlando, Miguel and Luis were excellent and professional! Their attention to me was awesome and they achieved perfection in every aspect. I highly recommend Dental Life in Puerto Vallarta. You will not be disappointed!

Clinic response ():

Response from the owner 2 months agoThank you for your trust and patience in making sure everything turned out as well as possible. We look forward to seeing you soon at PV.

B

Bgwrkr Donedeal

March 2026 · ★ 5

Dental life Puerto Vallarta are professionals with knowledge they easily share with the patient. With models of teeth you can be shown what work will be done. The doctors and staff have patience, calm demeanor, good senses of humor, and not the most important but definitely a consideration, fair prices, better than elsewhere. Skip tha scam at Alva Dental by the airport and cruise ship docks. You're allocated a 15 minute consultation with cosmetic techs, not a dentist and then charged by Alva for telling them the price (which they don't tell you until your readying to leave) and Dental Life Puerto Vallarta corrected a gap Alva said Id have to wear braces for minimum of 8 months to a year before work. Dental Life is modern, up to date on equipment, and problem solvers. Go. A block from Rio Cuales. Imagine going to get a car repair estimate and they charge for the estimate. Not Dental Life Puerto Vallarta. Honest, simple, pleased with the work and doctors and staff. Go, you won't be disappointed, you'll be happy you went. At Dental Life Puerto Vallarta, we have knowledgeable professionals who readily share their expertise with their patients. Dental models are used to demonstrate the work that will be performed. The doctors and staff are patient, have a calm demeanor, a good sense of humor, and, while not the most important factor, certainly worth considering: fair prices. Avoid the scams at Alva Dental, near the airport and cruise ship piers. They assign you a 15-minute consultation with cosmetic technicians, not a dentist, and then Alva charges you for informing you of the price (which they don't tell you until you're ready to leave). At Dental Life Puerto Vallarta, they corrected a gap that, according to Alva, would have required braces for a minimum of 8 months to a year before surgery. Dental Life is modern, with state-of-the-art equipment, and they solve problems. Wow! Just one block from Río Cuales. Imagine asking for a quote for your car repairs and being charged for the entire job. That's not Dental Life Puerto Vallarta. Honest, straightforward, and satisfied with the work, the doctors, and the staff. Wow, you won't be disappointed, you'll be glad you went.

Clinic response ():

Response from the owner 4 months agoThank you for your comment We are improving every day to continue providing the best service! We look forward to seeing you soon in PV

B

Burkhard PSS

March 2026 · ★ 5

Thank you very much for the excellent dental work at a good price: 5 crowns, root canal and 2 fillings & cleaning Dr. Orlando Godinez and Alonso are very professional and speak good English. The dental office is clean and has AC. Highly recommend Dental Life Puerto Vallarta.

Clinic response ():

Response from the owner 9 months agoThank you for your comment, we are happy to help, see you soon in PV

N

nancy lintner

March 2026 · ★ 5

My husband developed an infected root canal while visiting Puerto Vallarta and Dr. Orlando Godinez provided excellent dental care. I had my teeth cleaned and whitened and the results were outstanding! We highly recommend this dental practice. We plan to return for dental care next year. ❤️

Clinic response ():

Response from the owner 9 months agoThank you for trusting your dental health in our hands. We hope to see you soon in PV

L

Luis Alvarez

March 2026 · ★ 5

Dr. Orlando and Dr. Ivan are excellent. I appreciated the service, attention, and kindness. They explained the entire process to me. I had a dental infection treated. I highly recommend them. I am very happy with the care I received.

Clinic response ():

Response from the owner 10 months agoThank you so much, Luis, for your trust! Translated by Google ・ See original (Spanish)

T

t

March 2026 · ★ 5

my second visit after a cleaning and filling a year and a half ago. The hygienist Jessie and the doctor kindly and thoroughly addressed a question I had about my filling, and provided me with a thorough and very satisfying cleaning. It is a pleasure to patronize this business, and I will always visit when in Puerto Vallarta.

Clinic response ():

Response from the owner a year agoThank you for your comment See you soon in pv

L

lizzie shop

March 2026 · ★ 5

10 out of 10 excellent service at a very good price highly recommended

Clinic response ():

Response from the owner a year agoThank you for visiting! We're here to help with anything you need! Translated by Google ・ See original (Spanish)

R

R J

March 2026 · ★ 5

Had a root canal and crown great job and reasonable price

Clinic response ():

Response from the owner a year agoThank you for your comment, we hope to see you soon in PV and come and say hello.

Loading more reviews...
All reviews loaded

Your Safety & Quality Guarantee

Every clinic on SmileJet is evaluated by our international medical advisory board and must meet strict quality, safety, and hygiene standards.

Similar Clinics in Puerto Vallarta

Nearby Clinics in Mexico

Book Free Consultation

Request Sent!

We'll get back to you within 24 hours with a personalised quote.

Dental Life Puerto Vallarta🍏

Free & no obligation. We typically respond within 24 hours.

★ 4.8 (59 reviews)

Verify on AI

Ask AI assistants about this — powered by smilejet.app