SmileJet
Confidential โ€” for patient review

DENTAL HOUSE ADA U.S. INSURANCE DIRECT

10th Avenue between 38 & 40, Playa Del Carmen, Mexico

Last audited April 2026 By SmileJet Audit Team How we audit โ†’
4.8/5  · 64 reviews

Why Choose DENTAL HOUSE ADA U.S. INSURANCE DIRECT in Playa Del Carmen?

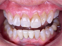
DENTAL HOUSE ADA is a specialized dental clinic in Playa del Carmen, Mexico, with 20+ years cosmetic expertise, accepting US insurance. Saves patients up to 70% on dental costs.

DENTAL HOUSE ADA is a specialized dental clinic located in Playa del Carmen, Mexico, specifically designed with dental tourism in mind. Founded by Dr. Delgado, a cosmetic dentistry specialist with two decades of professional experience, DENTAL HOUSE ADA has earned international recognition for delivering exceptional cosmetic and restorative dental results. The clinic specializes in complex cases including single tooth replacement through full-arch restoration, serving over 10,000 satisfied patients. DENTAL HOUSE ADA's commitment to quality, combined with acceptance of U.S. insurance and significant cost savings, makes it an exceptional choice for international patients seeking world-class dental treatment in Playa del Carmen.

DENTAL HOUSE ADA offers comprehensive dental services with particular expertise in cosmetic dentistry and complex restorative cases. The clinic provides professional solutions ranging from single implant placement through full-mouth restoration using advanced techniques. Cosmetic dentistry services include professional whitening, veneers, bonding, and comprehensive smile design. Dental implants represent a core specialty, with Dr. Delgado's expertise enabling precise placement and aesthetic integration. Beyond cosmetics, DENTAL HOUSE ADA in Playa del Carmen provides general dentistry, restorative treatment, orthodontics, and specialized surgical procedures. The clinic's acceptance of U.S. insurance coverage facilitates reimbursement for qualifying patients, streamlining the financial process for international dental tourists.

Treatments & Specialties

DENTAL HOUSE ADA in Playa del Carmen specializes in cosmetic dentistry and complex restorative cases. Dr. Delgado's two decades of cosmetic experience enable sophisticated smile transformations. Cosmetic treatments include professional teeth whitening brightening discolored smiles, porcelain veneers creating dramatic aesthetic changes, and composite bonding for minor repairs. Smile design services create comprehensive treatment plans considering facial proportions, tooth shape, and individual aesthetics. The clinic's expertise in complex cosmetic cases delivers outstanding results for even the most challenging situations.

Dental implant treatment at DENTAL HOUSE ADA restores missing teeth with precision implant placement and aesthetic integration. Single implants replace individual teeth, while full-arch restorations address complete tooth loss. The clinic's expertise handles complex cases including bone grafting when necessary. Restorative dentistry encompasses crowns, bridges, and prosthetics. Orthodontic services straighten misaligned teeth. Endodontic therapy addresses infected tooth pulp. Periodontal treatment manages gum disease. General dentistry provides preventive care and maintenance. The comprehensive specialty coverage ensures Playa del Carmen patients receive expert treatment for any condition.

Technology & Facilities

DENTAL HOUSE ADA maintains modern clinical facilities with advanced dental technology. Digital radiography provides high-resolution diagnostic imaging with minimal radiation exposure. Digital imaging systems improve diagnostic capabilities for treatment planning. Advanced sterilization equipment ensures rigorous infection control protecting patient safety. Modern treatment rooms feature contemporary dental chairs and operatory equipment designed for patient comfort. The facility reflects professional standards and contemporary design, creating confidence and comfort for Playa del Carmen patients.

Digital smile design software enables cosmetic specialists at DENTAL HOUSE ADA to preview aesthetic outcomes before treatment, helping Playa del Carmen patients visualize results. Advanced diagnostic imaging helps specialists plan complex implant and restorative cases with precision. The technology infrastructure supports efficient, high-quality treatment delivery. Dr. Delgado's experience leveraging advanced technology ensures Playa del Carmen patients receive treatment aligned with international standards in both technique and technology.

Why Choose DENTAL HOUSE ADA in Playa del Carmen

DENTAL HOUSE ADA stands out as an outstanding choice for dental care in Playa del Carmen for several compelling reasons. Dr. Delgado's two decades of cosmetic dentistry experience, with over 10,000 satisfied patients, demonstrates exceptional expertise and consistent delivery of outstanding results. The clinic's specialization in complex casesโ€”from single implants to full-arch restorationsโ€”ensures even the most challenging situations receive expert treatment. The facility was designed specifically for dental tourism, understanding international patients' unique needs.

A critical advantage is DENTAL HOUSE ADA's acceptance of U.S. insurance coverage, working with PPO providers including Delta Dental, Aetna, Cigna, and MetLife. The clinic provides ADA-coded paperwork facilitating reimbursement filing, simplifying the financial process for insured international patients. Cost savings at DENTAL HOUSE ADA are exceptionalโ€”typically 60-80% less than equivalent U.S. treatment, with dental implants saving around 70% compared to North American costs. The combination of expert care, insurance acceptance, and dramatic cost savings positions DENTAL HOUSE ADA as an exceptional value for international dental tourists.

Patient Experience

Patients at DENTAL HOUSE ADA consistently report excellent experiences. Dr. Delgado and the clinical team demonstrate exceptional expertise and attentiveness to patient needs. The clinic's design and operation reflect deep understanding of dental tourism, with staff experienced in managing international patients. DENTAL HOUSE ADA in Playa del Carmen provides clear, detailed treatment planning before proceeding, ensuring patients understand costs, timeline, and expected outcomes. Modern facilities and advanced technology minimize discomfort during procedures. The clinic recognizes that many international patients have scheduling constraints and works efficiently to deliver comprehensive treatment within reasonable timeframes.

The strong reputation with 32+ verified patient reviews reflects consistent delivery of quality results and positive experiences. Follow-up care protocols and insurance paperwork support ensure patients receive ongoing care and reimbursement assistance. Whether pursuing cosmetic enhancement or complex restorative work, patients at DENTAL HOUSE ADA in Playa del Carmen experience world-class care from specialists with proven expertise and commitment to international patient satisfaction.

Location

DENTAL HOUSE ADA is conveniently located in Playa del Carmen, providing excellent accessibility for international dental tourists. The clinic's location in Playa del Carmen puts it near major hotels, restaurants, shopping areas, and attractions. The facility was specifically designed for dental tourism, ensuring comfort and convenience for international patients. Parking is readily available, and the neighborhood is safe and well-established. The Playa del Carmen location facilitates convenient travel from Cancรบn Airport (approximately 45-50 minutes) and Tulum (approximately 45 minutes). The clinic's tourism-focused design and central location make combining dental treatment with vacation in beautiful Playa del Carmen seamless for international patients.

Patient Reviews from Playa Del Carmen

4.8

โ˜… 64 reviews

P

Playa Oferta

March 2026 ยท โ˜… 5

Dental House is undoubtedly the best option for dental treatments, orthodontics, and cosmetic dentistry ๐Ÿฆท โ€ฆ

K

KATHRYN PRESTERA

March 2026 ยท โ˜… 5

Dr Delgado gave me my smile back! I have been going for years for cleanings. I chipped my front teeth and wasnโ€™t smiling for almost 8 months. When I phoned him, I was in the next day. He took care of me very quickly and like that, my smile is back. ๐Ÿซถ๐Ÿป๐Ÿฅ‚ highly recommend. โ€ฆ

R

ramon linderman

March 2026 ยท โ˜… 5

Went in for a teeth cleaning and X-rays. Office was nice and Dr was very honest and price was super reasonable.

B

Brenda Downey

March 2026 ยท โ˜… 5

Dr. Delgado replaced a crown for me and did it in record timeโ€ฆsame day. Heโ€™s excellent at what he does and very accommodating. I hate the freezing and was very surprised that I didnโ€™t feel a thing. He is amazing! I asked about getting another crown on a healthy tooth for aesthetic reasons and he advised against it. I will go see him again when I return to Playa Del Carmen.

Clinic response ():

Response from the owner a month agoThank you so much for your kind words and your trust to me

M

michael decker

March 2026 ยท โ˜… 5

I canโ€™t thank Dr. Delgado enough he was able to do a root canal through an existing crown. He did it without having to replace the crown. It was such a big savings. He also replaced my girlfriendโ€™s veneers without a charge. Such high quality work at affordable prices.

A

Amanda Johnson

March 2026 ยท โ˜… 5

I had a consult at home in Canada Dec 27 and I needed a root canal (my 3rd so I know the pain). On the 28 we flew to Mexico and the pain got so bad overnight I almost didnโ€™t get on the plane. My husband realized I could get a root canal in Playa. I did research on the plane (a Sunday) messaged all the clinics and 2 got back to me on the Sunday. I had an appt booked for 8 am Monday (next morning). Admittedly I was nervous (I had antibiotics from Canada which were supposed to kick in after 3 days but the pain became unbearable) but it was the best decision I have made. Tip top service from messaging me on WhatsApp on Sunday to the 8 am appt the next day. Dr. Delgado followed up with me Sunday night and advised on pain killers to buy and has followed up with me since the procedure. The procedure was SO QUICK compared to Canada and they use technology we do not have. I was done in 40 min. If you are in emergency dental need, do not hesitate to come here. Beyond thankful for Dr. Delgado and his endodontist. I would highly recommend. Now I am pain free for my 2 week vacation. ๐Ÿ™๐Ÿป

Clinic response ():

Response from the owner 2 months agoThank you so much for your kind words Amanda and we understand pretty much have a dental procedure or treatment overseas but once again thank you for your trust and am so happy that you will be ok and I believe you will have a great Happy New Year celebration

R

Rick Best

March 2026 ยท โ˜… 5

My wife Holly was recommended by a friend to this dental office. We had a wonderful experience from the moment we walked in. The staff was professional and the dentist Dr Delgado went through the Crown procedure fully. Being a bit nervous he calmed her nerves with the information and we booked an appointment for later in the week. Upon arrival the first procedure was done with ease and the final appointment left her with a perfect out come. We would recommend this dental office for sure. Thank you to the dental team! You Rock!

Clinic response ():

Response from the owner 2 months agoThank you so much Rick for your kind words, and of course I remember Holly and then she came to our office to thank me again, again, we don't push our patientes to start a treatment, I always put myself or see myself at the chair and ask what i want, so that's why I wait till she feel comfortable to start her treatment, and well she leaved so happy and well everyone was happy, thank you again

K

Kevin Mathews

March 2026 ยท โ˜… 5

I would absolutely recommend Dental House and Dr Delgado for any dental work or dental surgery in Playa Del Carmen or the Riviera Maya area. Dental health is very important to me and my research concluded that Dental House and Dr Delgado was first class. I required 2 tooth extractions followed by 2 titanium implants. All went perfectly! Dr Delgado speaks perfect English, and from the start reassured me by staying in touch all through the process. He expertly reviewed X rays from my home dentist verifying the dental work that was required. His equipment and procedures were as good or better than any you can expect in the US. I would absolutely endorse Dr Delgado and Dental House for any dental work. And the cost is substantially less than similar services in the US making a Mรฉxico dental vacation all the better. .

Clinic response ():

Response from the owner 3 months agoKevin, thank you so much for your kind words and weโ€™ll all my patients became part of my family so thatโ€™s why Intake care of them personally all the time, since the beginning of the treatment till the end, happy to take care of you and will see you soon.

B

Birgit H.

March 2026 ยท โ˜… 5

I had a bad experience with another dentist in Playa, who left me with a very large and deep filling. Luckily, a friend recommended Dr. Luis Delgado. He corrected the previous work very carefully, patiently explained everything to me, and thanks to his professionalism, I was able to avoid a root canal. I am very grateful and highly recommend him!

Clinic response ():

Response from the owner 4 months agoThank you so much for your words and for your trust. Translated by Google ใƒป See original (Spanish)

J

Jayne Rasmussen

March 2026 ยท โ˜… 5

My Dental experience with Dr. Luis Delgado was fantastic! I had the opportunity to receive my service in two days with complete satisfaction. I have referred my family and will refer friends if they need any Dental procedures to Dr. Delgado. I am absolutely happy with the results and will be returning for any future dental needs.

Clinic response ():

Response from the owner 4 months agoThank you so much for your kind words and trust

Loading more reviews...
All reviews loaded

Your Safety & Quality Guarantee

Every clinic on SmileJet is evaluated by our international medical advisory board and must meet strict quality, safety, and hygiene standards.

Similar Clinics in Playa Del Carmen

Nearby Clinics in Mexico

Book Free Consultation

Request Sent!

We'll get back to you within 24 hours with a personalised quote.

DENTAL HOUSE ADA U.S. INSURANCE DIRECT

Free & no obligation. We typically respond within 24 hours.

★ 4.8 (64 reviews)

Verify on AI

Ask AI assistants about this โ€” powered by smilejet.app