SmileJet
Confidential โ€” for patient review

Dental Bali 88 (on call 24/7)

Jl. Dewi Sartika, Dauh Puri Klod, Kec. Denpasar Bar., Kota Denpasar, Bali 80232, Indonesia, Bali, Indonesia

Last audited April 2026 By SmileJet Audit Team How we audit โ†’
5.0/5  · 15 reviews

Why Choose Dental Bali 88 (on call 24/7) in Bali?

Dental Bali 88 is a dental clinic in Denpasar, Bali, Indonesia, offering 24/7 on-call emergency dental services. Ideal for tourists needing urgent dental care any time of day.

Dental Bali 88 is a dental clinic located in Denpasar, Bali, Indonesia, distinguished by its 24/7 on-call availability for dental emergencies. In a destination where millions of international visitors arrive each year, the need for accessible emergency dental care is significant, and Dental Bali 88 fills this critical gap by ensuring that patients can receive professional dental attention at any hour of the day or night. Whether you experience a sudden toothache, a broken crown, or any other dental emergency during your stay in Bali, Dental Bali 88 is available to help.

Located in the Denpasar area of Bali, the clinic serves both local residents and the large international tourist population. The 24/7 on-call model reflects an understanding that dental emergencies do not follow business hours โ€” they can occur during evenings, weekends, or holidays when most dental clinics are closed. Dental Bali 88 provides peace of mind for visitors to Bali who want to know that quality dental care is accessible whenever they need it.

Treatments & Specialties

Dental Bali 88 offers a range of dental services designed to address both emergency and routine dental needs:

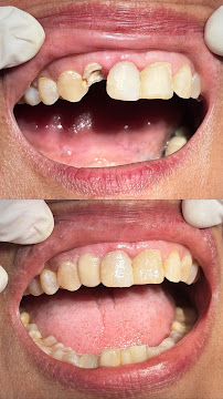
  • Emergency Dental Care: The clinic's primary differentiator is its 24/7 on-call emergency service. This covers severe toothaches, dental trauma (knocked-out or broken teeth), lost fillings or crowns, dental abscesses, and other urgent conditions that require immediate professional attention.
  • General Dentistry: Comprehensive dental check-ups, consultations, professional scaling and polishing, and routine preventive care to maintain oral health.
  • Restorative Dentistry: Tooth fillings using modern composite materials, root canal treatment, and other procedures to repair and preserve damaged teeth.
  • Cosmetic Dentistry: Teeth whitening, veneers, and aesthetic treatments to improve the appearance of your smile during your visit to Bali.
  • Dental Implants: Dental implant placement for permanent replacement of missing teeth, restoring both function and aesthetics.
  • Crowns & Bridges: Custom dental crowns and fixed bridges to protect damaged teeth or replace missing ones.
  • Oral Surgery: Tooth extractions, wisdom tooth removal, and other surgical procedures.
  • Dentures: Removable prosthetic options for patients needing partial or complete tooth replacement.

The combination of emergency availability and comprehensive routine dental services makes Dental Bali 88 a versatile clinic for both urgent care and planned dental treatment during your stay in Denpasar, Bali.

Technology & Facilities

Dental Bali 88 operates from a clinical facility in Denpasar equipped with the tools and technology necessary to handle both routine dental procedures and emergency situations. The clinic maintains diagnostic imaging equipment for rapid assessment of emergency cases, modern dental instruments for a wide range of procedures, and sterilization systems that uphold professional hygiene standards.

The ability to provide 24/7 on-call services requires a level of operational readiness that goes beyond standard clinic hours. Dental Bali 88 maintains this readiness to ensure that emergency patients receive prompt, professional treatment regardless of when they call. The clinical setup is designed for efficient emergency response while also supporting the quality standards expected for elective dental procedures.

The facility provides a clean, professional environment where patients can feel confident in the care they receive. The clinic's equipment and materials meet the standards expected by international dental tourists visiting Bali.

Why Choose Dental Bali 88 in Denpasar

There are several important reasons to consider Dental Bali 88 for dental care in Bali:

  • 24/7 On-Call Availability: This is the clinic's most significant advantage. Most dental clinics in Bali operate during standard business hours, leaving patients without options during evenings, nights, and holidays. Dental Bali 88 eliminates this gap with round-the-clock emergency availability.
  • Emergency Expertise: The clinic is specifically set up to handle dental emergencies efficiently, from severe toothaches and infections to traumatic dental injuries. When time matters, having a dedicated emergency dental provider on call is invaluable.
  • Tourist-Friendly: Located in Denpasar and serving the broader southern Bali area, the clinic is accessible from major tourist zones including Kuta, Seminyak, Sanur, and Ubud. The team understands the urgency that tourists face when dental problems disrupt their holiday.
  • Affordable Emergency Care: Emergency dental treatment in Western countries is often prohibitively expensive, especially after-hours care which may carry significant surcharges. At Dental Bali 88, emergency care is available at Bali's typically affordable pricing โ€” a fraction of what patients would pay at home.
  • Comprehensive Services: Beyond emergencies, the clinic offers the full range of dental treatments, allowing patients who come in for an emergency to also schedule follow-up or elective treatments during their stay.
  • Peace of Mind: For international visitors, knowing that Dental Bali 88 is available 24/7 provides reassurance throughout their trip. Dental emergencies can happen to anyone, and having a reliable provider saves the stress of searching for help during a crisis.

Patient Experience

The patient experience at Dental Bali 88 is shaped by the clinic's emergency-first orientation. When patients call with an urgent dental problem, the priority is rapid response โ€” assessment, pain relief, and definitive treatment delivered as quickly as possible. The team understands that dental emergencies are often accompanied by significant pain and anxiety, and they work to address both the physical and emotional aspects of the situation.

For international patients, Dental Bali 88 provides clear communication and is reachable through its contact channels at any time. The clinic's social media presence on Instagram (@bali.dental88) offers a window into the clinic's work and allows patients to connect with the team before or during their visit to Bali.

Patients who visit for emergency care often choose to return for additional treatment, taking advantage of the clinic's full range of services and Bali's affordable dental pricing. A common scenario involves a tourist who comes in for an emergency toothache and then decides to address other dental needs โ€” perhaps teeth whitening, replacement of old fillings, or a crown โ€” while they are in Denpasar.

The clinic's emphasis on being available when patients need them most has earned it a reputation for reliability and responsiveness in the Bali dental community.

Location & Contact

Dental Bali 88 is located in Denpasar, Bali, Indonesia. The clinic is accessible from all major tourist areas in southern Bali, including Kuta, Seminyak, Sanur, and Nusa Dua, typically within a 15-30 minute drive depending on traffic and the time of day.

  • Instagram: @bali.dental88
  • Availability: 24/7 on-call for dental emergencies

For dental emergencies at any hour, contact Dental Bali 88 through their social media channels or phone. For non-emergency appointments and planned treatments, patients visiting Denpasar, Bali are encouraged to reach out in advance to schedule consultations and coordinate their treatment timeline with their travel plans.

Patient Reviews from Bali

5.0

โ˜… 15 reviews

F

Febrina Rizka

April 2026 ยท โ˜… 5

For those who want to have their cavities scaled and filled, this place is highly recommended. The service is friendly and the prices are pocket-friendly. I really love it๐Ÿฅฐ๐Ÿซถ๐Ÿป โ€ฆ

Clinic response ():

Response from the owner a month agoHello, Dear Febrina Rizka ๐Ÿ™๐Ÿป Thank you for sharing your treatment experience at Dental Bali 88. Patient satisfaction is our main goal. We are always ready to serve you ๐Ÿ™๐Ÿป We hope you are always healthy ๐Ÿ™๐Ÿป Translated by Google ใƒป See original (Indonesian)

F

firdaus aljaidi

April 2026 ยท โ˜… 5

The place is clean, the staff is friendly, the doctor is also friendly, the service is also good..

Clinic response ():

Response from the owner 2 weeks agoHello Dear Firdaus Aljaidi, Thank you for sharing your treatment experience at Dental Bali 88. We are always ready to serve you ๐Ÿ™๐Ÿป Hope you are always healthy ๐Ÿ™๐Ÿป โ€ฆ Translated by Google ใƒป See original (Indonesian)

R

Reka Andjani

April 2026 ยท โ˜… 5

The place is comfortable, fully air-conditioned, and the doctors are professional. Try scaling here; it's affordable but very high-quality!โœจ It's a hidden gem in the middle of a shopping mall, but it's easily found with a banner. Don't forget to book in advance to secure a slot. ๐Ÿซถ๐Ÿผ

Clinic response ():

Response from the owner 2 weeks agoHello Reka Andjani, Thank you for sharing your treatment experience at Dental Bali 88. We are always ready to serve you. ๐Ÿ™๐Ÿป Hope you are always healthy. ๐Ÿ™๐Ÿป โ€ฆ Translated by Google ใƒป See original (Indonesian)

I

Ita pratiwi

April 2026 ยท โ˜… 5

The doctor is good, the place is clean and the price is affordable โค๏ธ thx dr. Indira

Clinic response ():

Response from the owner 2 weeks agoHello Ita Pratiwi, Thank you for sharing your treatment experience at Dental Bali 88. We are always ready to serve you ๐Ÿ™๐Ÿป Hope you are always healthy ๐Ÿ™๐Ÿป โ€ฆ Translated by Google ใƒป See original (Indonesian)

B

bravo indonesia88

April 2026 ยท โ˜… 5

I've had my teeth cleaned here several times, and so have my children. The room is comfortable, the doctor is friendly and professional, and the prices are affordable. I definitely recommend it ๐Ÿ‘ โ€ฆ

Clinic response ():

Response from the owner a month agoHello Dear, Thank you for sharing your treatment experience at Dental Bali 88. We are always ready to serve you ๐Ÿ™๐Ÿป Hope you are always healthy ๐Ÿ™๐Ÿป โ€ฆ Translated by Google ใƒป See original (Indonesian)

I

Ilham Mauriza

April 2026 ยท โ˜… 5

First, we inquired via DM on Instagram, and received a good response. Then, we made an appointment via WhatsApp, which we could schedule to suit our needs. First Time: The place was easy to find, we were greeted by a friendly receptionist, and then we consulted with a friendly, caring doctor who provided excellent and professional treatment and procedures, with satisfying results. The price is truly affordable compared to other places. I recommend coming here, friends.

Clinic response ():

Response from the owner a month agoHello, Dear Ilham Mauriza ๐Ÿ™๐Ÿป Thank you for sharing your treatment experience at Dental Bali 88. Patient satisfaction is our main goal. We are always ready to serve you ๐Ÿ™๐Ÿป We hope you are always healthy ๐Ÿ™๐Ÿป Translated by Google ใƒป See original (Indonesian)

M

M A Y A

April 2026 ยท โ˜… 5

After scaling here, the results were super clean. ๐Ÿ˜ญ The process was surprisingly painless. The place is also clean, comfortable, and the equipment is sterile. The doctor is beautiful, friendly, and explains everything step by step, so you're not afraid, hehe ๐Ÿฆท๐Ÿ’ฏ

Clinic response ():

Response from the owner a month agoHello, MAYA :) Thank you for sharing your treatment experience at Dental Bali 88. Patient satisfaction is our main goal. We are always ready to serve you ๐Ÿ™๐Ÿป Hope you are always healthy ๐Ÿ™๐Ÿป โ€ฆ Translated by Google ใƒป See original (Indonesian)

K

Krisna Dewi

April 2026 ยท โ˜… 5

The place is comfortable, parking is spacious, the nurses are friendly, the doctors are the best!!

Clinic response ():

Response from the owner a month agoHello Dear Krisna Dewi :) Thank you for sharing your treatment experience at Dental Bali 88. Patient satisfaction is our main goal. We are always ready to serve you ๐Ÿ™๐Ÿป Hope you are always healthy ๐Ÿ™๐Ÿป โ€ฆ Translated by Google ใƒป See original (Indonesian)

R

Roni Male

April 2026 ยท โ˜… 5

The first time I went to the dentist, I was scared at first, but because the doctor was friendly and patient, I was guaranteed not to be scared anymore.

Clinic response ():

Response from the owner a month agoHello Roni Male :) Thank you for sharing your treatment experience at Dental Bali 88. We are always ready to serve you ๐Ÿ™๐Ÿป Hope you are always healthy ๐Ÿ™๐Ÿป โ€ฆ Translated by Google ใƒป See original (Indonesian)

P

PDD_Ni Luh Putu Devi Arista Dewi

April 2026 ยท โ˜… 5

The place is very comfortable and quiet, the prices are affordable, and the doctor is very informative. Absolutely the bestโœจ๐Ÿ‘๐Ÿป โ€ฆ

Clinic response ():

Response from the owner a month agoHello Ni Luh Putu Devi Arista Dewi๐Ÿ™๐Ÿป Thank you for sharing your treatment experience at Dental Bali 88. We are always ready to serve you ๐Ÿ™๐Ÿป Hope you stay healthy ๐Ÿ™๐Ÿป โ€ฆ Translated by Google ใƒป See original (Indonesian)

Loading more reviews...
All reviews loaded

Your Safety & Quality Guarantee

Every clinic on SmileJet is evaluated by our international medical advisory board and must meet strict quality, safety, and hygiene standards.

Similar Clinics in Bali

Nearby Clinics in Indonesia

Book Free Consultation

Request Sent!

We'll get back to you within 24 hours with a personalised quote.

Dental Bali 88 (on call 24/7)

Free & no obligation. We typically respond within 24 hours.

★ 5.0 (15 reviews)

Verify on AI

Ask AI assistants about this โ€” powered by smilejet.app