SmileJet
Confidential — for patient review

Clínica Dental Sante en Chamberi

Calle de Rodríguez San Pedro, 30, Metro, Madrid, Spain

Last audited April 2026 By SmileJet Audit Team How we audit →
4.9/5  · 97 reviews

Why Choose Clínica Dental Sante en Chamberi in Madrid?

Clínica Dental Santé is an established dental clinic in Madrid's Chamberí neighborhood with 20+ years experience. Specializes in implants, orthodontics, and aesthetic dentistry.

Clínica Dental Santé en Chamberi is a well-established dental practice located in Madrid's prestigious Chamberí neighborhood, with over 20 years of professional experience caring for patients' dental health. Situated at Calle Rodríguez San Pedro in Madrid, Clínica Dental Santé has developed a reputation for comprehensive, personalized dental care delivered by a multidisciplinary team of specialists. The clinic's philosophy emphasizes understanding each patient's unique needs and delivering customized treatment plans within a relaxed, anxiety-reducing environment. Clínica Dental Santé en Chamberi in Madrid combines decades of clinical experience with modern techniques and conscious sedation options to ensure patient comfort during all procedures.

Clínica Dental Santé en Chamberi in Madrid offers comprehensive dental care across all major specialties, with particular expertise in implantology, orthodontics, and aesthetic dentistry. The clinic's commitment to patient comfort is reflected in its use of conscious sedation techniques, allowing anxious patients in Madrid to receive necessary treatment in a relaxed state. The multidisciplinary team at Clínica Dental Santé in Madrid ensures that complex cases can be managed with integrated expertise. The clinic's location in Chamberí, one of Madrid's most accessible neighborhoods, provides convenient access for patients throughout the metropolitan area.

Treatments & Specialties

Clínica Dental Santé en Chamberi in Madrid specializes in dental implantology, offering both immediate load implants and conventional implant solutions for patients seeking to restore missing teeth. The clinic's expertise in implant surgery, developed over more than 20 years, supports predictable, successful implant outcomes for Madrid patients. Orthodontic treatment at Clínica Dental Santé in Madrid addresses tooth alignment and bite correction through evidence-based approaches. The clinic's specialists, including expertise in bruxism treatment by Dr. Nagila Fernandes, provide specialized care for complex cases.

Aesthetic dentistry services at Clínica Dental Santé en Chamberi in Madrid enhance smile appearance through professional procedures. Periodontic care addresses gum health and supports long-term tooth retention. The multidisciplinary nature of Clínica Dental Santé in Madrid ensures that patients can access various dental specialties from a coordinated, integrated team. General dentistry services, including preventive care and routine treatment, form the foundation of the clinic's comprehensive practice in Madrid.

Technology & Facilities

The Madrid facility of Clínica Dental Santé en Chamberi incorporates modern dental equipment and diagnostic technology supporting effective patient care. The clinic utilizes contemporary diagnostic tools and treatment equipment appropriate for comprehensive dental practice. All treatment areas at Clínica Dental Santé in Madrid maintain rigorous sterilization and infection control protocols aligned with contemporary dental standards.

The physical environment of Clínica Dental Santé en Chamberi in Madrid is specifically designed to create a relaxed, comfortable atmosphere that helps reduce patient anxiety. The clinic's investment in conscious sedation capabilities reflects its commitment to patient comfort during treatment. The convenient location in Chamberí provides easy access via public transportation, private automobile, and nearby parking facilities. The modern facility design of Clínica Dental Santé in Madrid supports both routine and complex dental procedures within a professional, welcoming environment.

Why Choose Clínica Dental Santé en Chamberi in Madrid

Several compelling factors distinguish Clínica Dental Santé as an excellent choice for dental care in Madrid. First, the clinic's 20+ year history reflects sustained patient satisfaction and proven clinical expertise. Over two decades of practice in Madrid has allowed Clínica Dental Santé to refine treatment approaches and develop deep expertise across dental specialties. The clinic's established reputation in Chamberí demonstrates consistent commitment to quality care.

Second, Clínica Dental Santé en Chamberi in Madrid's multidisciplinary team structure ensures comprehensive care for complex cases. Specialists in implantology, orthodontics, periodontics, and aesthetic dentistry work collaboratively to develop integrated treatment plans. Third, the clinic's commitment to patient comfort is reflected in conscious sedation options and a specifically designed relaxed environment. Fourth, the expertise in specialized areas like bruxism treatment, provided by specialists such as Dr. Nagila Fernandes, demonstrates advanced clinical knowledge.

Patient Experience

Patients visiting Clínica Dental Santé en Chamberi in Madrid can expect professional, compassionate care from a highly qualified team. The clinic's philosophy emphasizes understanding each patient's unique needs, preferences, and concerns. Clínica Dental Santé in Madrid offers conscious sedation techniques, allowing anxious patients to receive necessary treatment comfortably and safely. The relaxed environment at the clinic helps patients feel at ease during appointments.

The multidisciplinary approach at Clínica Dental Santé en Chamberi in Madrid means patients can receive coordinated, integrated care without being referred elsewhere. The clinic's team takes time to explain treatment options, expected outcomes, and associated costs in clear, understandable language. Patient testimonials consistently highlight the caring, professional approach and expertise of the team at Clínica Dental Santé in Madrid. For Madrid residents seeking comfortable, comprehensive dental care from experienced specialists, Clínica Dental Santé en Chamberi represents an excellent choice.

Location

Clínica Dental Santé en Chamberi is conveniently located in Madrid's Chamberí neighborhood, one of the city's most accessible and well-connected areas. Situated at Calle Rodríguez San Pedro, the clinic provides easy access via public transportation, private automobile, and nearby parking. The Chamberí location of Clínica Dental Santé in Madrid makes it convenient for patients throughout the metropolitan area. The modern facility in Madrid's prestigious Chamberí neighborhood, combined with experienced staff and comprehensive services, makes Clínica Dental Santé en Chamberi an accessible destination for quality dental care.

Patient Reviews from Madrid

4.9

★ 97 reviews

G

Gabriel Muñoz

March 2026 · ★ 5

I changed my smile with Dr. Nagila and it turned out perfect.

S

Sofia Rodríguez-Acosta Gracia

March 2026 · ★ 5

I'm so happy with my treatment! They took me in really quickly to get my veneers done, and now I'll definitely keep this clinic as my go-to clinic. Dr. Nagila Fernandes is very professional and excellent at what she does!

S

Susi Pereira

March 2026 · ★ 5

Hi, my name is Bryan Alberto. The doctor removed my wisdom teeth and it didn't hurt at all. She has magic hands! Excellent customer service and everything is very fast. Very good! 🫶🫶😍😍😍😍 The best! 🫶🫶😍😍😍😍 The best! …

Clinic response ():

Response from the owner 2 weeks agoThank you so much from the bottom of my heart Translated by Google ・ See original (Spanish)

C

Cleidiane de Oliveira Alves

March 2026 · ★ 5

I want to thank Dr. Nagila and her assistant for the care they gave me in their office. I'm very afraid of dentists. I went to the dentist recommended by a friend, I have three days to have my wisdom teeth extracted, I almost gave up on the way because I was so scared. I even cried and sweated in the doctor's office. But I was truly surprised by their care in not letting me feel pain during the extraction or afterwards. I was surprised by the care and concern throughout the entire process. A thousand out of ten! ♡♡

C

Carlos Garcia

March 2026 · ★ 5

On Friday, January 16, 2026, I went to the Santé clinic to have two wisdom teeth extracted. The service was excellent, as always, and they made me feel relaxed despite my nervousness. I felt no pain during the procedure, and Dr. Nagila was very quick in extracting the teeth. I expected my face to be swollen the next day, but surprisingly, I have no swelling or pain at all, and the recovery has been fantastic. Thank you so much!

L

Leidy Suarez

March 2026 · ★ 5

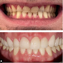
Excellent experience at Clínica Santé. I had teeth whitening and a smile makeover, and the results were incredible. From the very first moment, the team was very professional, friendly, and attentive, explaining each stage of the treatment and answering all my questions. The whitening left my teeth visibly whiter, and the smile makeover achieved a very natural and harmonious result. The attention to detail and the use of modern technology are evident. I wholeheartedly recommend Clínica Santé to anyone looking to improve their smile with confidence and excellent results.

L

leidy johana piedrahita monsalve

March 2026 · ★ 5

I had an excellent experience with my smile makeover at Clínica Santé. From the very first consultation, I felt confident thanks to the professional, friendly, and very personal approach of the entire team. They explain each step of the treatment clearly, and their high level of expertise and technology is evident. The result completely exceeded my expectations: a natural, harmonious smile that perfectly suits my face. Their attention to detail and dedication throughout the entire process make all the difference. Without a doubt, I wholeheartedly recommend Clínica Santé to anyone looking for a high-quality smile makeover and incredible results. 😁✨

L

Larissa Silva

March 2026 · ★ 5

I was recommended by a friend, I'm undergoing treatment and I'm loving the results. I highly recommend it. And the price is super affordable!

Clinic response ():

Response from the owner 2 months agoThank you so much!! To you and your friend Translated by Google ・ See original (Spanish)

E

Emiliano Del monte

March 2026 · ★ 5

Highly professional! Dr. Nagila Fernandez is not only a great professional but also an excellent person. Highly recommended! Thank you, Doctor! For your care and professionalism!

Clinic response ():

Response from the owner 2 months agoThank you so much for being with us since 2019. Here's to many more! Translated by Google ・ See original (Spanish)

D

Denize Kamylo

March 2026 · ★ 5

I'm very satisfied. Last year I went to Dr. Nagila's office in a lot of pain, and she was able to reverse a root canal and restore it. It was excellent, and I haven't felt any more pain. Now my mother will also be treated by Dr. Nagila, an excellent dentist. She's worth every penny.

Clinic response ():

Response from the owner 2 months agoIt's been a pleasure performing the root canal treatment, and you know after months that you're doing well. May you continue to enjoy your tooth for a lifetime. Translated by Google ・ See original (Spanish)

Loading more reviews...
All reviews loaded

Your Safety & Quality Guarantee

Every clinic on SmileJet is evaluated by our international medical advisory board and must meet strict quality, safety, and hygiene standards.

Similar Clinics in Madrid

Nearby Clinics in Spain

Book Free Consultation

Request Sent!

We'll get back to you within 24 hours with a personalised quote.

Clínica Dental Sante en Chamberi

Free & no obligation. We typically respond within 24 hours.

★ 4.9 (97 reviews)

Verify on AI

Ask AI assistants about this — powered by smilejet.app