SmileJet
Confidential — for patient review

Clinica Dental & Ortodoncia O.D.S/ Dr. Eric Romero Ortodoncista de niños y adultos

Plaza Comercial San Fernando, Vía España, Panama City, Panama

Last audited April 2026 By SmileJet Audit Team How we audit →
4.9/5  · 92 reviews

Why Choose Clinica Dental & Ortodoncia O.D.S/ Dr. Eric Romero Ortodoncista de niños y adultos in Panama City?

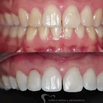
Clinica Dental & Ortodoncia O.D.S is a specialist orthodontic and general dental clinic in Panama City, Panama, led by Dr. Eric Romero. The clinic treats children and adults with braces and full dental care.

Clinica Dental & Ortodoncia O.D.S, led by Dr. Eric Romero, is a specialist dental and orthodontic clinic located in Panama City, Panama. Operating from Vía España in the Plaza Comercial San Fernando area of Panama City, the clinic focuses on delivering professional orthodontic care for both children and adults, alongside a comprehensive range of general and restorative dental services. Dr. Eric Romero is a certified orthodontist whose practice has become a recognized resource for families in Panama City seeking specialist tooth alignment treatment.

The clinic in Panama City is structured around the dual expertise of general dentistry and specialized orthodontics. Clinica Dental & Ortodoncia O.D.S sees patients of all ages — from pediatric first appointments through to adult orthodontic correction — making it a convenient choice for families in Panama City who prefer to consolidate their dental care under one roof. The clinic's approach combines clinical precision with patient education, ensuring that every patient understands their treatment plan before work begins.

Treatments & Specialties

The core specialty of Clinica Dental & Ortodoncia O.D.S is orthodontics, with Dr. Eric Romero providing specialist consultations and treatment for malocclusions, crowding, spacing, and bite issues in patients across all age groups in Panama City. Treatments offered include:

  • Traditional Metal Braces — conventional bracket-and-wire orthodontic systems for children, teenagers, and adults requiring comprehensive bite and alignment correction
  • Ceramic Braces — tooth-colored orthodontic brackets for patients who prefer a less visible alternative to metal braces
  • Pediatric Orthodontics — early interceptive treatment for children, addressing developing bite problems before they become more complex to treat in adulthood
  • Adult Orthodontics — full orthodontic treatment programs designed around the schedules and aesthetic concerns of adult patients in Panama City
  • Dental Cleanings and Prophylaxis — routine professional cleaning and plaque removal as part of preventive care
  • Dental Fillings and Restorations — tooth-colored composite restorations for cavities and minor tooth damage
  • Dental Extractions — removal of damaged or overcrowded teeth, commonly performed as preparation for orthodontic treatment
  • Teeth Whitening — professional bleaching treatments to improve smile aesthetics
  • Dental X-rays and Diagnostics — radiographic imaging for precise assessment of tooth and jaw structure prior to orthodontic planning

Technology & Facilities

The clinic in Panama City is equipped with the instruments and imaging technology necessary to support specialist orthodontic diagnostics and treatment. Orthodontic treatment planning requires precise lateral cephalometric and panoramic radiographs, and the clinic utilizes appropriate radiographic systems to capture the detailed images Dr. Eric Romero requires to design individualized treatment plans for patients in Panama City.

Treatment rooms at Clinica Dental & Ortodoncia O.D.S are set up for efficient orthodontic adjustments and general dental procedures. The clinic maintains strict sterilization protocols across all surfaces and instruments, consistent with dental infection control standards. The environment is designed to be welcoming for younger patients, as pediatric orthodontics is a significant component of the clinic's caseload in Panama City.

Why Choose Clinica Dental & Ortodoncia O.D.S in Panama City

Orthodontic specialist clinics led by a named, credentialed orthodontist represent a specific tier of dental care in Panama City — distinct from general dentistry practices that offer orthodontics as one of many services. Clinica Dental & Ortodoncia O.D.S positions itself in this specialist category, with Dr. Eric Romero's expertise in orthodontics as the central offering.

For families in Panama City, the clinic's multi-generational approach — treating children and adults within the same practice — provides continuity of care and simplifies appointment logistics. Parents can schedule their own orthodontic check-ups alongside their children's appointments at the Panama City clinic, reducing the number of separate dental relationships to manage.

Panama City's dental care market is competitive, but specialist orthodontic providers with a dedicated focus remain in demand. The clinic's location on Vía España, one of Panama City's main commercial corridors, ensures good accessibility from across the metropolitan area.

Patient Experience

Patients at Clinica Dental & Ortodoncia O.D.S in Panama City experience a clinical environment oriented around specialist care. Initial consultations with Dr. Eric Romero involve a thorough assessment of the patient's bite, jaw alignment, and tooth positioning, followed by a presentation of treatment options and projected timelines. For orthodontic patients, this consultation phase is particularly important as it sets expectations for a treatment process that may span one to three years.

The clinic serves a patient base that includes children in their formative dental development years, teenagers undergoing active orthodontic treatment, and adults pursuing orthodontic correction later in life. Staff communicate primarily in Spanish, reflecting Panama City's predominantly Spanish-speaking population. The clinic is accustomed to working with patients from across Panama City's diverse communities, including families from Panama City's significant international resident population.

Location & Accessibility

Clinica Dental & Ortodoncia O.D.S is located on Vía España in Panama City, in the vicinity of the Plaza Comercial San Fernando. Vía España is one of Panama City's principal arterial roads, running through the heart of the city's commercial and residential districts. The location is readily accessible by private vehicle, taxi, and Panama City's public transport network, including bus routes that serve the Vía España corridor.

Panama City is the capital of Panama and the country's largest urban center, located at the Pacific entrance of the Panama Canal. The city is served by Tocumen International Airport, which connects Panama City to destinations across the Americas and beyond. For international patients combining dental or orthodontic treatment with other activities in Panama City, the Vía España area offers proximity to hotels, restaurants, shopping centers, and other amenities that make extended stays in Panama City comfortable and convenient.

Patient Reviews from Panama City

4.9

★ 92 reviews

J

Juan Mena

April 2026 · ★ 5

I highly recommend them. I was with them for 4 years in an orthodontic process and it was worth the wait to see the results.

V

Victor Aguilar

April 2026 · ★ 5

Excellent service! They gave me back the confidence to smile 😇😇😁 Thank you so much, Dr. Erick 🤝🏽 …

D

draws kim

April 2026 · ★ 1

Months passed and my two premolars are still sensitive thanks to the greedy and insane Dr. Darlene. I paid two hundred and something dollars to receive a lousy set of fillings full of leaks. Oh well, time to spend money again on a dentist who doesn't look at me with a face full of money.

S

Sudalis Salazar

April 2026 · ★ 5

Very friendly staff, willing to provide solutions of all kinds

A

Adilen Apellido

April 2026 · ★ 5

Excellent service, affordable monthly payments. My son had only been seeing his pediatric dentist and didn't want to transition to orthodontic treatment, but the professional care from Dr. Eric and his assistants gave him immediate confidence, and we successfully completed his treatment. We will continue to receive their guidance for my son's dental health here.

J

Joshua Chong

April 2026 · ★ 5

I previously went to another clinic and I found it hard to believe I could successfully complete my treatment, but then I met Clinica ODS and they were extremely clear with me and guided me with great professionalism and attention to detail. Today I am very happy with the result and I thank them for their great work. Highly recommended for orthodontic treatment.

Clinic response ():

Response from the owner 2 months agoThank you, Joshua! Thank you for trusting our team to continue your orthodontic treatment. We're so glad to hear you found the professionalism you were looking for with us after your previous experience. 👩🏻‍⚕️🩷 Thank you for recommending us and for allowing us to be a part of your smile. We look forward to seeing you again at your trusted dental clinic! 🦷✨️ Translated by Google ・ See original (Spanish)

E

Erik Velasquez

April 2026 · ★ 5

I had my orthodontic treatment at this office for two years, and the experience was excellent. From the beginning, I received very professional, clear, and dedicated care. Dr. Eric always explained each stage of the process. The results exceeded my expectations: my teeth are perfectly aligned, and my bite has improved significantly. I highly recommend this office to anyone looking for quality treatment.

Clinic response ():

Response from the owner 2 months agoThank you, Erik. The entire ODS team is delighted that you are satisfied with your treatment. Thank you for recommending us. We are always at your service. Best regards. Translated by Google ・ See original (Spanish)

K

Kimkimi Aroch

April 2026 · ★ 3

I had been treated by Dr. Darlene, and everything was fine at first, but I feel like when you talk to her, she doesn't listen, she interrupts, she's anxious, and she's inconsistent. At first, she'll tell you one thing and then change her mind. She also doesn't respect your decision. I also don't understand the need to want to do things without anesthesia. When I told her my teeth are sensitive, she honestly lost my confidence.

A

Alejandro Segura

April 2026 · ★ 5

I received excellent treatment from the start. The staff is very professional and friendly, always attentive. The treatment was explained clearly, and the results exceeded my expectations. The clinic is modern, clean, and instils a lot of confidence. I definitely recommend it!

Clinic response ():

Response from the owner 2 months agoThank you so much, Alejandro, for allowing us to perform your orthodontic treatment and for being happy with the results. Best regards, see you soon! Translated by Google ・ See original (Spanish)

N

Nikol Martinez

April 2026 · ★ 5

From day one, the care was excellent. I was super happy with the results of my orthodontic treatment. A very professional team. 100% recommended.

Loading more reviews...
All reviews loaded

Your Safety & Quality Guarantee

Every clinic on SmileJet is evaluated by our international medical advisory board and must meet strict quality, safety, and hygiene standards.

Similar Clinics in Panama City

Book Free Consultation

Request Sent!

We'll get back to you within 24 hours with a personalised quote.

Clinica Dental & Ortodoncia O.D.S/ Dr. Eric Romero Ortodoncista de niños y adultos

Free & no obligation. We typically respond within 24 hours.

★ 4.9 (92 reviews)

Verify on AI

Ask AI assistants about this — powered by smilejet.app