SmileJet
Confidential โ€” for patient review

Zeus Dental Clinic - Dentisti in Albania

Rruga Myslym Shyri, Tirana, Albania

Last audited April 2026 By SmileJet Audit Team How we audit โ†’
4.9/5  · 170 reviews

Why Choose Zeus Dental Clinic - Dentisti in Albania in Tirana?

Zeus Dental Clinic is a dental tourism clinic in Tirana, Albania, staffed by Italian surgeons with 10 years of experience. Specializes in veneers, implants, and free accommodation.

Zeus Dental Clinic is a dental tourism-oriented practice located in Tirana, the capital city of Albania. Founded with a mission to provide high-quality dental care at the most competitive prices in the Albanian market, the clinic is staffed by Italian surgeons with over 10 years of clinical experience and operates at a central, easily accessible location in Tirana. Zeus Dental Clinic serves both local patients and a growing international clientele โ€” particularly from Italy and Albanian diaspora communities in the United States and across Europe โ€” offering savings of up to 50% compared to equivalent treatments in Western European countries.

The clinic distinguishes itself within Tirana's competitive dental tourism market through a combination of experienced Italian surgical leadership, comprehensive hospitality support โ€” including free accommodation and airport reception โ€” and a broad treatment menu spanning dental hygiene, implantology, prosthetics, aesthetic dentistry, veneers, orthodontics, and aesthetic medicine. Zeus Dental Clinic offers a free first visit and free quote to all prospective patients, lowering the barrier to entry for those considering dental care in Tirana.

Treatments & Specialties

Zeus Dental Clinic in Tirana provides a comprehensive range of dental and aesthetic treatments. Key services include:

  • Implantology โ€” Surgical implant placement by experienced surgeons using proven implant systems, offering single, multiple, and full-arch restorations for patients missing one or more teeth in Tirana.
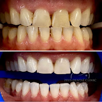
  • Dental Veneers โ€” Porcelain and E-max veneers crafted to transform the smile, with the clinic's signature cases including full sets of 20 veneers completed in multi-day treatment courses for international patients visiting Tirana. Led by Dr. Aida Zhupani, the veneer program has generated strong patient testimonials from Albanian diaspora patients in the United States.
  • Dental Prosthetics โ€” Custom-fabricated prosthetic solutions including crowns, bridges, and full or partial dentures designed to restore both function and aesthetics.
  • Aesthetic Dentistry โ€” Smile enhancement treatments including composite bonding, tooth reshaping, and comprehensive smile makeover packages tailored to patient goals in Tirana.
  • Dental Hygiene โ€” Professional cleaning, scaling, polishing, and preventive care to maintain optimal oral health between restorative or cosmetic procedures.
  • Therapy & Restorative Dentistry โ€” Fillings, root canal treatments, and conservative restorative procedures to address decay, infection, and structural damage.
  • Orthodontics โ€” Alignment correction options for adolescent and adult patients, including fixed braces and removable orthodontic systems.
  • Aesthetic Treatments โ€” Non-dental facial aesthetic procedures available alongside dental care for patients seeking comprehensive wellness treatments during their visit to Tirana.

Technology & Facilities

Zeus Dental Clinic operates from a well-appointed facility in a prime central location in Tirana. The clinic is equipped with contemporary dental technology to support its surgical and restorative treatment portfolio, including imaging systems for implant planning and prosthetic design. Quality dental materials โ€” including E-max ceramic for veneers and premium implant components โ€” are used throughout treatments, ensuring durable and aesthetically refined outcomes. The clinic environment is maintained to professional hygiene standards appropriate for surgical procedures and multi-day treatment courses for international dental tourists in Tirana.

Why Choose Zeus Dental Clinic in Tirana

Tirana has become one of Europe's most cost-effective dental tourism destinations, with treatment costs running 50โ€“70% below those in Italy, Germany, or the United Kingdom. Zeus Dental Clinic offers a particularly compelling proposition for patients considering Tirana for dental care:

  • Italian surgeons with 10 years of experience โ€” The clinical team's Italian surgical training and decade of practice brings European standards directly to Tirana, reassuring patients from Italy and other Western European countries.
  • Up to 50% savings โ€” The clinic's stated commitment to the most competitive prices in the Albanian market ensures significant cost reductions versus home-country dental care for patients visiting Tirana.
  • Free accommodation for dental tourists โ€” Complimentary hotel accommodation for visiting patients removes a major logistical and financial barrier associated with traveling to Tirana for multi-day dental treatment.
  • Airport reception service โ€” The clinic greets and transfers incoming patients from Tirana International Airport, ensuring a smooth and professionally managed arrival in Albania.
  • Free first visit and quote โ€” No upfront commitment required; patients receive a full assessment and personalized cost estimate at no charge before committing to treatment in Tirana.
  • 7-day availability โ€” The clinic operates Monday through Sunday, providing maximum scheduling flexibility for international patients with limited time in Tirana.

Patient Experience

Patient reviews for Zeus Dental Clinic in Tirana highlight the quality of cosmetic results, the gentleness of the clinical team, and the significant financial value achieved compared to treatment costs in their home countries. Dr. Aida Zhupani is specifically praised by multiple patients for her professionalism, precision, and ability to deliver pain-free veneer procedures and composite bonding. Albanian-origin patients living in Philadelphia and other US cities have traveled to Tirana specifically to undergo veneer and implant treatments at Zeus Dental Clinic, citing the financial impossibility of equivalent procedures in the United States. The team is described as kind, welcoming, and genuinely invested in patient outcomes โ€” qualities that drive repeat visits and strong referrals from satisfied patients in Tirana.

Location & Accessibility

Zeus Dental Clinic is located in central Tirana, Albania, at coordinates 41.3252ยฐ N, 19.8150ยฐ E, in a prime and easily accessible area of the Albanian capital. Tirana International Airport Nรซnรซ Tereza serves the city from approximately 17 kilometers away, with taxi, rideshare, and bus connections available, and the clinic's own airport reception service provides a direct transfer option for international patients. Central Tirana offers a wide selection of hotels across all price ranges, restaurants, and cultural attractions, making it straightforward for dental tourists to combine their treatment visits with an enjoyable stay in Albania's vibrant capital city.

Patient Reviews from Tirana

4.9

โ˜… 170 reviews

L

Llambri Gjeci

April 2026 ยท โ˜… 5

They recommended Zeus Dental clinic to me because I had a problem with my teeth and I wanted to have braces placed to straighten my teeth. I've had them for 5 months now and the results look very good, thanks to Dr. Aida Zhupan.

Clinic response ():

Response from the owner a year agoThank you very much for your trust ๐Ÿ˜Š โ€ฆ Translated by Google ใƒป See original (Albanian)

K

kledi

April 2026 ยท โ˜… 5

Thank you Dr Aida Zhupani We had to remove these pains from our brains

Clinic response ():

Response from the owner 11 months agoThank you ๐Ÿ™ โ€ฆ Translated by Google ใƒป See original (Albanian)

L

Leda Halilaj

April 2026 ยท โ˜… 5

Excellent service and professional staff! The clinic is clean, modern, and welcoming. The dentist took the time to explain everything clearly, making the experience comfortable and stress-free. Thank you Dr. Aida for your exceptional care.

Clinic response ():

Response from the owner 11 months agoThank you ๐Ÿ™๐Ÿ˜Š โ€ฆ

E

Erind Arapi

April 2026 ยท โ˜… 5

I have always suffered from not only irritated gums but also aesthetically it looked very bad when I smiled. I never thought I would have such a fantastic result. Dr. Aida Zhupani has brought me the right shape of my gums, making my teeth โ€ฆ

Clinic response ():

Response from the owner 11 months agoThank you for trusting our work ๐Ÿ™ โ€ฆ Translated by Google ใƒป See original (Albanian)

H

Hysen Hatjani

April 2026 ยท โ˜… 5

Doctor Aida zhupani gave me back my smile, thank you for the work you did on my teeth.

F

Faik Guri

April 2026 ยท โ˜… 5

I had 10 implants placed with Dr. Riccardo. Everything went very well ๐Ÿ™๐Ÿป No pain, I didn't feel anything, I was asleep, the implant placement was done โ€ฆ

Clinic response ():

Response from the owner 11 months agoThank you very much ๐Ÿ™ โ€ฆ Translated by Google ใƒป See original (Albanian)

A

Aleksi Rrushi

April 2026 ยท โ˜… 5

Thank you Dr. Aida Zhupani for bringing back my smile.

Clinic response ():

Response from the owner 11 months agoThank you ๐Ÿ˜Š๐Ÿ™ โ€ฆ Translated by Google ใƒป See original (Albanian)

A

Adri Marini

April 2026 ยท โ˜… 5

I had my teeth done 1 month ago at Zeus Dental Clinic, very good, super results, I recommend it.

Clinic response ():

Response from the owner 11 months agoThank you ๐Ÿ˜Š โ€ฆ Translated by Google ใƒป See original (Albanian)

K

Kristi Gjini

April 2026 ยท โ˜… 5

I went to clean my teeth and am very satisfied from Dr.Aida !

Clinic response ():

Response from the owner 11 months agoThank you ๐Ÿ˜Š โ€ฆ

F

Flori Nako

April 2026 ยท โ˜… 5

I came to Zeus clinic because I had a lot of pain in my last two teeth. After the doctor gave me antibiotics for a few days, I came and had one tooth extracted and the other filled. The endodontist's work was commendable. I recommend it to everyone because I am really satisfied.

Clinic response ():

Response from the owner 11 months agoThank you for trusting us! ๐Ÿ˜Š๐Ÿ™ โ€ฆ Translated by Google ใƒป See original (Albanian)

Loading more reviews...
All reviews loaded

Your Safety & Quality Guarantee

Every clinic on SmileJet is evaluated by our international medical advisory board and must meet strict quality, safety, and hygiene standards.

Similar Clinics in Tirana

Nearby Clinics in Albania

Book Free Consultation

Request Sent!

We'll get back to you within 24 hours with a personalised quote.

Zeus Dental Clinic - Dentisti in Albania

Free & no obligation. We typically respond within 24 hours.

★ 4.9 (170 reviews)

Verify on AI

Ask AI assistants about this โ€” powered by smilejet.app