SmileJet
Confidential โ€” for patient review

My Dentist at Cannon Hill

Shop 8/1909 Creek Rd, Brisbane, Australia

Last audited April 2026 By SmileJet Audit Team How we audit โ†’
4.8/5  · 110 reviews

Why Choose My Dentist at Cannon Hill in Brisbane?

My Dentist at Cannon Hill is a modern dental clinic in Cannon Hill, Brisbane, known for same-day CEREC crowns, Invisalign, and a gentle, patient-first approach. Rated Excellent across 89+ reviews.

My Dentist at Cannon Hill is a contemporary full-service dental clinic located in the heart of Cannon Hill, Brisbane, Queensland, Australia. Situated at Shop 8, Cannon Hill Kmart Plaza, 1909 Creek Road โ€” conveniently positioned between Kmart and Coles โ€” the practice offers exceptional accessibility with ample free parking and public transport stops just 50 metres away. Serving patients from Cannon Hill and surrounding Brisbane suburbs including Bulimba, Balmoral, Camp Hill, Carina, Carindale, Morningside, Murarrie, and Tingalpa, the clinic has built a strong reputation for professional, unhurried, and compassionate dental care.

At the core of My Dentist at Cannon Hill is a "prevention first" philosophy that emphasises the important connections between oral health and overall systemic wellbeing. The practice operates under the principle that every patient deserves honest, non-judgmental, and thorough care โ€” with no rushed appointments. Led by Dr. Tony Wu and a supportive team of clinicians and staff, My Dentist at Cannon Hill has earned an "Excellent" rating across more than 89 Google reviews, reflecting consistent patient satisfaction across a broad range of treatment needs.

Treatments & Specialties

My Dentist at Cannon Hill offers a comprehensive suite of dental services spanning general, preventive, cosmetic, and advanced restorative dentistry. Routine services include professional check-ups, cleans, and children's dentistry, with a focus on building good oral health habits early. The clinic provides sports mouthguards for active patients and has dedicated support protocols for nervous or anxious patients, including the availability of happy gas (nitrous oxide sedation) and The Wand STA โ€” a computer-controlled device that administers virtually painless injections.

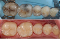
Cosmetic services are a significant strength of the practice. Smile makeovers, teeth whitening, porcelain veneers, Invisalign clear aligners, tooth-coloured fillings, gap closure, and safe amalgam removal are all available. For patients requiring restorative work, My Dentist at Cannon Hill performs same-day CEREC crowns, allowing complete crown restorations in a single visit. The clinic also offers dental implants, bridges, dentures, root canal therapy, wisdom teeth removal, and comprehensive gum disease treatment. Emergency dental appointments are available for urgent cases.

Technology & Facilities

My Dentist at Cannon Hill is equipped with state-of-the-art dental technology designed to maximise diagnostic accuracy, treatment precision, and patient comfort. Advanced digital diagnostics enable detailed imaging with reduced radiation, while the clinic's CEREC (Chairside Economical Restoration of Esthetic Ceramics) system allows for computer-designed and milled same-day ceramic crowns โ€” eliminating the need for messy impressions, temporary crowns, and return visits.

The treatment rooms are contemporary and calming, with ceiling-mounted 43-inch Samsung screens and wireless headphones so patients can watch TV, stream Netflix, or listen to music during procedures โ€” a thoughtful distraction technique that significantly reduces anxiety. A virtual Matterport tour of the practice is available online, giving prospective patients a chance to familiarise themselves with the environment before their first visit. The combination of modern clinical technology and patient comfort amenities sets My Dentist at Cannon Hill apart in the Brisbane dental landscape.

Why Choose My Dentist at Cannon Hill in Brisbane

There are several compelling reasons to choose My Dentist at Cannon Hill for your dental care in Brisbane. The clinic's location within the Cannon Hill Kmart Plaza provides unmatched convenience, with free parking and proximity to public transport making it effortless to schedule and attend appointments. Extended weekday hours โ€” including late appointments on Tuesdays and Thursdays until 7:30pm โ€” and Saturday morning availability accommodate a wide range of schedules.

The practice's genuine commitment to unhurried, patient-centred care is a key differentiator. Appointments are not rushed, and the team works collaboratively with local specialists to ensure that complex cases receive the right level of expertise. The clinic's prevention-first approach helps patients avoid costly and complex procedures down the line by maintaining good oral health through regular monitoring and education. With an Excellent Google rating across a growing body of reviews, My Dentist at Cannon Hill has demonstrated sustained quality and patient trust across the Brisbane community.

Patient Experience

Patients at My Dentist at Cannon Hill consistently praise the friendliness, professionalism, and thoroughness of Dr. Tony Wu and the entire team. The clinic takes a non-judgmental approach, welcoming patients of all backgrounds and levels of dental anxiety without pressure or criticism. For nervous patients, this supportive attitude โ€” combined with practical comfort measures like happy gas and The Wand STA painless injection system โ€” makes what might otherwise be a stressful experience significantly more manageable.

From the moment patients arrive at the Cannon Hill practice, the experience is designed to be positive and reassuring. Whether it is a child's first dental visit, a routine check-up for a long-term patient, or a complex restorative case, the team at My Dentist at Cannon Hill applies the same standard of attentive, personalised care. Online booking is available through the DentalHub system, making it easy to secure an appointment at a time that suits your schedule.

Location

My Dentist at Cannon Hill is located at Shop 8, Cannon Hill Kmart Plaza, 1909 Creek Road, Cannon Hill, Queensland 4170. The plaza sits at the corner of Creek Road and Wynnum Road in the eastern Brisbane suburb of Cannon Hill, making it accessible from multiple directions. Ample, unrestricted free parking is available within the plaza, and public transport โ€” including bus services โ€” stops just 50 metres from the entrance. Cannon Hill is well-connected to the broader Brisbane metropolitan area, placing the clinic within easy reach of residents across the eastern and south-eastern suburbs.

Patient Reviews from Brisbane

4.8

โ˜… 110 reviews

J

James

April 2026 ยท โ˜… 1

I took my 17 year old daughter in to Dr Tony Wu about a month ago. A very high paced Dentist with nurses running in and out. Dr Tony Wu told my daughter that she needed one of her back teeth drilled and filled as he gave her two xrays and said to us she had a hole in her tooth. My daughter was very upset as she religiously cleans and flosses her teeth for a long time day and night and 3 months before saw another dentist at Dr Tony Wu's practice that said nothing was wrong and no holes. The whole time I was in the dental surgery Dr Tony Wu was upselling his services by telling my daughter how terrible her teeth were. I was sceptical and he didn't look me in the eye We got pushed into an appointment to drill her tooth . My daughter and I were both in agreement to get a second opinion, as my daughter was absolutely devastated about the news of needing her beautiful teeth drilled. So we went to a reputable dentist in Wellington Point. We got two xrays and guess what... no evidence of cavities and therefore no need for any drills or fillings. So my daughter had an extra xray with Dr Tony Wu, an appointment full of being told how terrible her teeth were and a Dentist who was going to unnecessarily drill her tooth. So here's what I'm going to do. I am going to the dental ombudsman to see just what has happened here. Sure it is all government funded but it was the heartache my daughter through that gets me.

Clinic response ():

Response from the owner 3 days agoWeโ€™re genuinely sorry to hear about your daughterโ€™s experience and the distress this situation has caused. We take feedback like this very seriously, especially when it involves a young patient. At our practice, we are always guided by a conservative and preventative approach to dentistry. Any treatment recommendations are based on clinical and X-ray findings and are made with the intention of protecting long-term oral health. When we detect early decay and it appears the tooth surface has begun to break down, it can be appropriate to take a more proactive approach. Treating decay at this stage helps prevent it from progressing into a larger cavity that may require more extensive treatment. We are particularly concerned to hear that your daughter felt upset during the appointment. This is never our intention. We strive to create a calm, supportive environment and to communicate findings in a way that is clear, respectful, and reassuring. Regarding your concerns about pressure or upselling, we want to be very clear that our recommendations are always made in the patientโ€™s best interest, and patients are never obligated to proceed with treatment. We fully support patients seeking a second opinion if they feel unsure. We also take concerns about communication seriously, including your comment about eye contact and the overall experience in the room. This feedback will be reviewed with our team to ensure we continue to improve the way we deliver care. We would welcome the opportunity to speak with you directly to better understand your experience and review your daughterโ€™s records together. Please feel free to contact our practice so we can address your concerns in a more personal and constructive way. Thank you for taking the time to share your feedback.

M

Miranda Roberts

April 2026 ยท โ˜… 5

I have been a patient here for about 10 years. Always exceptional service and care. I've had wisdom teeth out in the chair, with no pain during and minimal during recovery. An amazing place, highly recommend

Clinic response ():

Response from the owner a month agoThank you, Miranda! We truly appreciate your loyalty over the years and are delighted to hear about your positive experiences with our service and care. Your recommendation means a lot to us!

R

Rheanna Lee

April 2026 ยท โ˜… 5

I got my Invisalign through Dr Tony and the whole process was genuinely great. He explained everything clearly, kept me updated at each step, and was always easy to deal with. The treatment went smoothly and Iโ€™m really happy with how my teeth turned out. If youโ€™re considering Invisalign or just want a solid, reliable dentist, Iโ€™d definitely recommend him.

Clinic response ():

Response from the owner a month agoThank you, Rheanna! We're so glad to hear that you had a great experience with Dr. Tony and that you're happy with your results. Your recommendation means a lot to us!

J

John Sinclair

April 2026 ยท โ˜… 5

Really happy with My Dentist. The staff are friendly and a pleasure to chat with, and they take the time to be thorough without making the whole thing feel stressful. Just generally good to deal with, which makes going to the dentist a lot less of a chore.

Clinic response ():

Response from the owner 6 months agoThank you, John, for your kind words! We're glad to hear you found our staff friendly and approachable, as well as your visits to be enjoyable. Your feedback means a lot to us!

H

H.S .J (H)

April 2026 ยท โ˜… 5

Dr. Tony and team are amazing, diligent, understanding and customer service is A+

Clinic response ():

Response from the owner 6 months agoThank you for your wonderful feedback about Dr. Tony and the team; we truly appreciate your kind words and support!

Z

Zac Farraher

April 2026 ยท โ˜… 5

I've been going to Dr Preston since 2022 I believe, it's been a great experience. I've had several cleanings and two wisdom teeth out. Very professional clinic, helpful, safe, caring.

Clinic response ():

Response from the owner 6 months agoThank you, Zac, for your wonderful feedback! We're glad to hear you've had a great experience with us and appreciate your kind words about our clinic.

H

Hannah Mayr

April 2026 ยท โ˜… 5

This is a fantastic practice with a very proactive management approach to dental care. Clinic is lovely and modern set up - they even have Netflix to watch while youโ€™re in the chair

Clinic response ():

Response from the owner 6 months agoThank you, Hannah, for your wonderful feedback! We're glad you enjoyed our modern clinic and the little touches like Netflix to keep you entertained. Your support means a lot to us!

J

Jackie Collingwood

April 2026 ยท โ˜… 5

I needed a new Dentist & happened to be at Cannon Hill Mall where I found โ€˜My Dentist at Cannon Hillโ€™. I have a programme to replace & repair and could not be happier with the results! What makes this particular clinic so amazing (and helpful), is the technology in the equipment. This includes reducing any discomfort to a minimum & I was amazed that they actually make any crowns onsite - you can actually watch it happening! This obviously reduces the wait time so you can do a bit of shopping whilst you wait 30 minutes for the crown to be completed and not have to come back for a second appointment. Overall, the whole team are professional, welcoming & Tony & his Team are kind & caring.

Clinic response ():

Response from the owner 7 months agoHi Jackie, we appreciate your feedback and are glad to hear about your positive impressions regarding the technology and team. Thank you for sharing your thoughts and for the wonderful review!

Y

Yrene Montero

April 2026 ยท โ˜… 5

Amazing experience! The service was excellent, all the staff were kind and professional. Iโ€™m very happy with the care I received and highly recommend this dental clinic!

Clinic response ():

Response from the owner 8 months agoThank you, Yrene, for your wonderful feedback! We're delighted to hear that you had such a positive experience and that our team made an impact. Your recommendation means a lot to us!

M

Mel B

April 2026 ยท โ˜… 5

I travelled from the Gold Coast so my daughter could see the same dentist she had been since 2yrs age. I am very happy with the clinic and how they cater to all people of all ages. My daughter loved watching tv whilst getting her check up done. Mary is a great dentist!!!!

Clinic response ():

Response from the owner 8 months agoThank you, Mel, for your wonderful feedback! We're delighted to hear that you and your daughter had a positive experience at our clinic and that Mary made it enjoyable for her. We appreciate your trust in us and look forward to seeing you both again!

Loading more reviews...
All reviews loaded

Your Safety & Quality Guarantee

Every clinic on SmileJet is evaluated by our international medical advisory board and must meet strict quality, safety, and hygiene standards.

Similar Clinics in Brisbane

Nearby Clinics in Australia

Book Free Consultation

Request Sent!

We'll get back to you within 24 hours with a personalised quote.

My Dentist at Cannon Hill

Free & no obligation. We typically respond within 24 hours.

★ 4.8 (110 reviews)

Verify on AI

Ask AI assistants about this โ€” powered by smilejet.app