SmileJet
Confidential โ€” for patient review

Kings Dental

11 Kings Rd, Perth, Australia

Last audited April 2026 By SmileJet Audit Team How we audit โ†’
5.0/5  · 43 reviews

Why Choose Kings Dental in Perth?

Kings Dental is an established family dental clinic in Subiaco, Perth, Australia. Offers dental implants, smile makeovers, and comprehensive family dentistry services.

Kings Dental is an established family and general dentistry practice located in Subiaco, Perth, Western Australia. Representing over 50 years of collective dental experience, Kings Dental serves patients from Subiaco and surrounding suburbs including West Perth, Leederville, Claremont, Shenton Park, and the Perth CBD. Led by Dr. Jeremy Keating, Kings Dental emphasizes a caring, welcoming environment with strict infection control protocols and patient comfort as core practice values.

Kings Dental accepts all health insurance funds and offers HICAPS claiming for instant benefit processing. The practice features on-premises sedation dentistry for nervous patients, ensuring comfortable treatment experiences regardless of dental anxiety level. The multilingual team at Kings Dental speaks Hungarian, Croatian, Tagalog, and Italian, serving Perth's diverse international communities with culturally sensitive care.

Treatments & Specialties

Kings Dental provides comprehensive general and family dentistry including routine examinations, professional cleaning, protective treatments, and preventive care. The practice has extensive experience in full-mouth reconstructions, addressing complex cases requiring coordinated restorative and cosmetic treatment. Smile makeovers at Kings Dental combine aesthetic and functional dentistry to achieve transformative results.

Dental implants replace missing teeth with functional, natural-appearing restorations. Dental crowns provide strength and aesthetic restoration to damaged or prepared teeth. Kings Dental provides family-focused care with attention to children's dental needs, establishing healthy oral habits from an early age. On-premises sedation dentistry accommodates anxious patients, enabling comfortable treatment completion for complex or lengthy procedures.

Technology & Facilities

Kings Dental maintains a relaxed, welcoming clinic environment designed to reduce patient anxiety. The practice demonstrates commitment to modern infection control protocols meeting strict Australian dental hygiene standards. The Subiaco location provides convenient access via public transport and street parking for patients throughout the Perth metropolitan area.

Why Choose Kings Dental in Subiaco?

Patients selecting Kings Dental benefit from over 50 years of collective dental experience and Dr. Keating's established expertise. The practice's focus on patient comfort through sedation options and welcoming environment distinguishes Kings Dental from competitors. For Perth families seeking comprehensive dental care from an experienced, caring practice, Kings Dental offers an excellent choice.

The multilingual capabilities at Kings Dental make the practice particularly welcoming to Perth's diverse international population. All major health fund acceptance and HICAPS claiming remove financial barriers to accessing quality family dental care.

Patient Experience

At Kings Dental, patient comfort and individual attention are priorities. The caring team takes time to understand patient concerns and treatment goals. Sedation options at Kings Dental address anxiety-related barriers to care, enabling nervous patients to receive necessary treatment in a calm, supportive environment. The multilingual team ensures effective communication regardless of patient background.

Location

Kings Dental is located in Subiaco, Perth WA, conveniently positioned near West Perth, Leederville, the Perth CBD, Claremont, and Shenton Park. The accessible Subiaco location with public transport connections and street parking makes comprehensive family dental care at Kings Dental easily accessible for patients throughout the Perth metropolitan area.

Patient Reviews from Perth

5.0

โ˜… 43 reviews

S

Sue Ligertwood

March 2026 ยท โ˜… 5

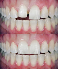
Thank you Kings Dental! I am overjoyed with my new fron't crowns they look so natural, and appreciative of the care and consideration your team showed throughout my treatment! 5 Stars!

Clinic response ():

Response from the owner 8 months agoThank you Sue! We are delighted that you have joined our practice and your comments are greatly appreciated. We take genuine pride in the careful art of creating smiles that are not only beautiful but also look like nature intended.

B

Bernardine Stevens

March 2026 ยท โ˜… 5

I had an excellent experience at Kings Dental. The teamโ€™s confident yet gentle approach made me feel completely at ease. They took time to explain the treatment and provided me with educational information that will support my ongoing oral health. I truly appreciate the thoughtful care and highly recommend them!

Clinic response ():

Response from the owner a year agoThank you Bernardine for your lovely words. It has been our pleasure to welcome you to Kings Dental and we believe that it is essential that our patients understand their treatment so that they are empowered in their own care. We look forward to helping you achieve great lifetime dental outcomes!

T

Tarah Mountford

March 2026 ยท โ˜… 5

I recently visited Kings Dental and had a truly wonderful experience. The staff were incredibly friendly and made me feel comfortable from the moment I arrived. I highly recommend Kings Dental for their exceptional service and welcoming atmosphere.

Clinic response ():

Response from the owner a year agoDear Tarah, Thank you for your kind words and for taking the time to share your experience! We're delighted to hear that you felt comfortable and welcomed by our team. Providing exceptional service in a friendly atmosphere is our top priority, and your feedback means so much to us. We truly appreciate your recommendation and look forward to seeing you again!

J

Julien Tickel

March 2026 ยท โ˜… 5

Dr Keating did a great job, very friendly staff and were very adapt at making me comfortable while repairing my broken tooth.

Clinic response ():

Response from the owner a year agoThank you so much for your kind words Julien! We're thrilled to hear that you had a positive experience with us. Ensuring our patients' comfort and satisfaction is always our top priority. We appreciate your trust in us and look forward to seeing you at your next visit.

A

Anna

March 2026 ยท โ˜… 5

It has taken a long time to write this review as I really cannot say enough about how grateful I am for the dental care I have received from Jeremy over the years. Jeremy has consistently addressed all of my concerns and provided thorough individualised care with terrific results. In addition this is a very well run practice with patient care a priority from the first contact right through to the completion of your treatment. Highly recommended.

Clinic response ():

Response from the owner 2 years agoThank you so much for your positive feedback! We look forward to taking care of your dental needs for many more years to come!

M

mark kelt

March 2026 ยท โ˜… 5

My new dental cleaning experience with Jenny was very positive. I like the new technology

Clinic response ():

Response from the owner 2 years agoThank you Mark for your wonderful review! We're glad you had a positive experience with Jenny and enjoyed our new Airflow machine. Thank you for choosing us for your dental care!

S

Sharon Ovens

March 2026 ยท โ˜… 5

I was fortunate enough to receive a recommendation to Jeremy at Kings Dental earlier this year when experiencing a dental emergency. I was so impressed with the professionalism, care and attention to detail displayed by Jeremy and the Team, that I committed to an intense program to restore my teeth. The end result is fantastic! Kings Dental takes dentistry to a whole new level. Thank you to Jeremy and the Team.

Clinic response ():

Response from the owner 3 years agoThank you so much Sharon for the lovely review! We are passionate about looking after patients like you who value high quality care and appreciate that you chose us to help you!

J

Justin Brent-White

March 2026 ยท โ˜… 5

I'm a new patient at Kings Dental and i must say its like the Four Seasons Hotel of dental care. I was very impressed with the professional service, comfortable surroundings and the ease of parking. Five Stars Plus

Clinic response ():

Response from the owner 3 years agoThank you so much Justin. We always strive to make a good first impression so it means a lot to get such positive feedback!

F

Fiona Dixon

March 2026 ยท โ˜… 5

I have been going to Kings Dental for over 30 years. Jeremy and his team are very friendly and professional and always take good care of their patients. Jeremy has just given me a reason to smile ๐Ÿ˜ with new teeth. I am so happy with the job he has done. I highly recommend Kings Dental โ€ฆ

Clinic response ():

Response from the owner 3 years agoThank you Fiona! The opportunity to provide long term dental care for you and your family has been, and continues to be, a genuine privilege!

I

Isla Ferrarotto

March 2026 ยท โ˜… 5

Fantastic clean with Fiona. Most gentle and comprehensive clean Iโ€™ve ever had. Thank you!

Clinic response ():

Response from the owner 3 years agoThank you Isla for your kind words. We always strive to deliver exceptional care and are delighted that you have chosen to join our practice.

Loading more reviews...
All reviews loaded

Your Safety & Quality Guarantee

Every clinic on SmileJet is evaluated by our international medical advisory board and must meet strict quality, safety, and hygiene standards.

Similar Clinics in Perth

Nearby Clinics in Australia

Book Free Consultation

Request Sent!

We'll get back to you within 24 hours with a personalised quote.

Kings Dental

Free & no obligation. We typically respond within 24 hours.

★ 5.0 (43 reviews)

Verify on AI

Ask AI assistants about this โ€” powered by smilejet.app