SmileJet
Confidential โ€” for patient review

Gold Coast Dental Studio

Shop 13 Cayuga St, Gold Coast, Australia

Last audited April 2026 By SmileJet Audit Team How we audit โ†’
4.5/5  · 57 reviews

Why Choose Gold Coast Dental Studio in Gold Coast?

Gold Coast Dental Studio is a family dental clinic in Nerang, Gold Coast, Australia, known for comprehensive general, cosmetic, and restorative dentistry. Modern technology with focus on long-term oral health.

Gold Coast Dental Studio is a family-focused dental practice located in Nerang on Gold Coast, Australia. The clinic is staffed by skilled dentists who combine advanced technology with a patient-centered philosophy emphasizing long-term oral health maintenance. Conveniently situated in Nerang Mall, Gold Coast Dental Studio serves patients from Nerang and surrounding communities with comprehensive dental care for all ages.

The practice philosophy is clear: "Your teeth are with you for life; we want to help you take the best possible care of them." This commitment to long-term dental wellness drives Gold Coast Dental Studio's approach to patient education and professional care. The clinic offers a complete range of general, cosmetic, and restorative dentistry services utilizing modern equipment and evidence-based techniques.

Treatments & Specialties

Gold Coast Dental Studio provides comprehensive general dentistry including routine check-ups, professional cleanings, and preventive care. Restorative treatments form a significant portion of the clinic's services, with expertise in tooth-colored fillings, root canal therapy, and extractions. For patients with missing teeth, the clinic offers dental implants, crowns, and bridges as permanent or long-lasting solutions.

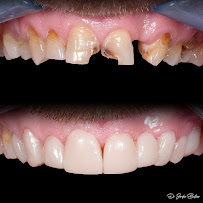
Cosmetic dentistry services enhance smile aesthetics, including professional teeth whitening and custom porcelain veneers that transform discolored or misshapen teeth. The clinic uniquely offers tooth gems as decorative enhancements. Orthodontic services including braces and teeth alignment treat patients of all ages. Complete dentures and partial dentures are crafted to restore function and appearance. Pediatric dentistry services ensure that children in Nerang receive gentle, age-appropriate care.

Technology & Facilities

The clinic is equipped with advanced dental technology enabling precise diagnosis and efficient treatment. Modern diagnostic tools, digital imaging, and contemporary treatment equipment support the full range of dental procedures offered at Gold Coast Dental Studio. The facility features a welcoming environment at Nerang Mall, making dental care accessible and convenient for families in Nerang and the broader Gold Coast region.

The team of skilled dentists utilizes advanced techniques and modern clinical protocols to ensure excellent outcomes. The practice's emphasis on technology-driven care reflects a commitment to providing treatment that meets contemporary standards of excellence.

Why Choose Gold Coast Dental Studio in Nerang

Gold Coast Dental Studio distinguishes itself through its comprehensive family approach, treating patients from childhood through adulthood with consistent quality and care. The clinic's commitment to long-term oral health means that treatment recommendations prioritize sustainable solutions rather than quick fixes.

The clinic offers exceptional value for new patients with a "$199 Fixed Price Checkup & Clean" including comprehensive dental exam, scale and clean, fluoride treatment, polish, and necessary x-rays. This transparent pricing approach eliminates surprise costs and makes quality dental care accessible. The prime location at Nerang Mall provides convenient parking and easy access for busy families.

Patient Experience

Families in Nerang choosing Gold Coast Dental Studio benefit from a welcoming, comfortable environment designed to put patients at ease. The team emphasizes clear communication, explaining treatment options and involving patients in decision-making. Whether treating a child's first cavity or planning a complex adult restoration, the clinic's approach prioritizes patient comfort and education.

The clinic's family-oriented philosophy ensures that patients of all ages feel welcomed and valued. The staff takes time to understand individual patient needs and concerns, creating a positive dental experience that encourages regular preventive care.

Location

Gold Coast Dental Studio is located at Shop 13, Nerang Mall, Corner of Gilston Road and New Street, Nerang QLD 4211. The convenient shopping mall location provides ample parking and easy accessibility. The clinic operates Monday to Friday from 8:00 AM to 5:00 PM. Nerang is a thriving suburb in the Gold Coast region, and Gold Coast Dental Studio serves as a trusted family dental destination for comprehensive, compassionate care.

Patient Reviews from Gold Coast

4.5

โ˜… 57 reviews

J

Jennifer Cooper

March 2026 ยท โ˜… 5

Our family's experience was 5-star. Not only are the staff transgender / LGBT+ friendly, Jolie is simply the MOST caring, gentle and flexible dentist we have ever had. She listens to the patient and makes sure they are very comfortable in their experience, as well as doing excellent work! Riley on reception is superb: so friendly and warm, and is the very reason we made an appointment to begin with. My family and I can finally stop the life-long search!

Clinic response ():

Response from the owner 4 years agoThank you for your lovely review Jennifer. It was nice meeting Lily and youself and can't wait to see you both again.

A

Ashley Spencer

March 2026 ยท โ˜… 5

Really friendly staff! So accommodating to our children and myself! Would highly recommend :D

Clinic response ():

Response from the owner 5 years agoThank you for the feedback Ashley. It was great having you visit our clinic with your family. We look forward to helping you and your family once again in the near future. Best wishes for 2021.

E

Emily Anne

March 2026 ยท โ˜… 5

Great dental practice with staff who go above and beyond to make their patient's feel at ease! Will definitely be returning and definitely recommend.

Clinic response ():

Response from the owner 5 years agoThank you kindly for taking the time to write your review Emily. It was great to help you. We look forward to seeing you in the new year. Merry Christmas and a prosperous new year to you and your family.

A

Ally Liszka

March 2026 ยท โ˜… 5

Very professional & great service. Dr Joon and team were extremely nice and welcoming. Would highly recommend!

Clinic response ():

Response from the owner 5 years agoThank you for your kind feedback Ally and your reference to Dr Joon. It was great having you come in for an appointment. We look forward to helping you more in the near future. Merry Christmas and happy new year!

B

Bradly Perry

March 2026 ยท โ˜… 5

Very happy with the results, I was recommended to go here by a friend and I could not of asked for better, great service 10 out of 10

Clinic response ():

Response from the owner 5 years agoThank you Bradly for the fabulous feedback regarding our clinic. Hope you had an excellent Christmas and all the very best for the new year.

A

ASK Anton

March 2026 ยท โ˜… 5

The staff are Awesome. Met lromptly. Very organised. Highly recommend.

Clinic response ():

Response from the owner 5 years agoThank you Anton for the lovely review. We look forward to seeing you more for your dental needs in the near future. Hope that you had a lovely Christmas and the very best in the new year.

K

Kurtis Knight

March 2026 ยท โ˜… 1

This is a terrible dental studio and I would recommend that you steer clear of this place! They do not offer you glasses in the dental chair so you are forced to stare into a blinding light, they are very unorganised and their staff are rude/unprofessional and very under trained. If you want to be blinded, have your gums pulled apart for a simple clean and be ripped off, come to this dentist.

Clinic response ():

Response from the owner 5 years agoThank you for your honest feedback Kurtis. Please email us [email protected] your details so that we can investigate the matter in regards to what may have happened during this appointment. Have a good morning.

K

Kaiyy Koma

March 2026 ยท โ˜… 1

Yes the place looks beautiful, but inside you will find highly untrained staff, staff that will absolutely rip you off your money. I had prepped my five year old for her dentist appointment all weekend to receive a call at 8am to say that the dentist wants to go home early so could I change the time? Ummm no, children are at school and Iโ€™m not dragging my child out of school early because your dentist feels like going how early. They are the most unprofessional โ€œdental practiceโ€ Iโ€™ve ever seen. How does a bull go from $250 (final price) to almost 1k? I can see this business wonโ€™t be there for long unless they change management or change the people in there. Disgusting.

J

Jillian Huntley

March 2026 ยท โ˜… 5

These guys are the best. Got me straight in when I had an emergency. Gental, professional, fast and value for money. I highly recommend this practice.

Clinic response ():

Response from the owner 6 years agoThank you Jillian for your kind words and review. We greatly appreciate the feedback. Hope that you have a lovely Christmas and wishing you all the very best in the New Year.

J

john deighton

March 2026 ยท โ˜… 5

First impressions were excellent, i went in for emergency procedure and the staff and dentist were very friendly and genuine towards providing a caring service, i will definitely recommend them and return for follow up treatments

Clinic response ():

Response from the owner 6 years agoThank you kindly for the feedback John. It's greatly appreciated. We look forward to your return at Gold Coast Dental Studio.

Loading more reviews...
All reviews loaded

Your Safety & Quality Guarantee

Every clinic on SmileJet is evaluated by our international medical advisory board and must meet strict quality, safety, and hygiene standards.

Similar Clinics in Gold Coast

Nearby Clinics in Australia

Book Free Consultation

Request Sent!

We'll get back to you within 24 hours with a personalised quote.

Gold Coast Dental Studio

Free & no obligation. We typically respond within 24 hours.

★ 4.5 (57 reviews)

Verify on AI

Ask AI assistants about this โ€” powered by smilejet.app