SmileJet
Confidential — for patient review

Dental Members Macquarie St

Level 8/183 Macquarie St, Sydney, Australia

Last audited April 2026 By SmileJet Audit Team How we audit →
4.7/5  · 108 reviews

Why Choose Dental Members Macquarie St in Sydney?

Dental Members Macquarie St is an affordable, transparent family dental clinic in Sydney CBD. Offers interest-free payment options and published pricing for common treatments including aligners and cosmetic care.

Dental Members Macquarie St is a progressive, patient-centred dental practice located in the heart of Sydney's central business district. Situated at Level 8, 183 Macquarie Street, Sydney, NSW 2000, Dental Members Macquarie St occupies a prominent position in Sydney's professional precinct. The practice is dedicated to making quality dental care affordable and accessible through transparent pricing, interest-free payment options, and a commitment to delivering excellent clinical outcomes. Dental Members Macquarie St in Sydney has built a strong reputation for fair fees, honest treatment recommendations, and genuine communication with patients. The practice's philosophy centres on removing financial barriers to dental care whilst maintaining the highest standards of clinical excellence, ensuring that patients throughout Sydney can access quality dental treatment without financial stress.

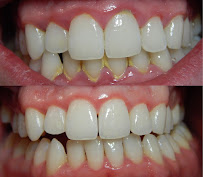
Dental Members Macquarie St provides comprehensive dental services with an emphasis on affordability and transparency. The clinic offers general family dentistry including preventive care, restorative treatments, and oral health maintenance. Advanced orthodontic solutions through DM Clear Aligner Braces allow patients in Sydney to achieve straighter smiles discreetly. Cosmetic dentistry services enhance smile appearance and confidence. The practice has established fixed pricing for common dental treatments including professional cleanings, tooth-coloured fillings, ceramic crowns, and root canal therapy, enabling patients to understand costs before treatment begins. Regular dental care plans support preventive dentistry and optimal long-term oral health. The signature feature of Dental Members Macquarie St is the commitment to interest-free payment options, ensuring that financial circumstances never prevent patients from accessing necessary dental treatment in Sydney.

Treatments & Specialties

Dental Members Macquarie St provides a comprehensive range of dental treatments designed to meet diverse patient needs whilst maintaining affordable pricing. General dentistry services form the foundation, including regular examinations, professional cleanings and scaling, cavity detection and treatment with tooth-coloured composite fillings, and oral health education for long-term preventive care. Restorative dentistry includes high-quality ceramic crowns fabricated with precision to restore damaged or broken teeth, with published pricing ensuring patients know costs in advance. Endodontic treatment or root canal therapy addresses infected or damaged tooth pulp, preserving natural teeth and preventing extraction. Cosmetic dentistry services enhance smile appearance and boost patient confidence. Orthodontic treatment through DM Clear Aligner Braces provides discreet teeth straightening without traditional fixed braces. The practice maintains published pricing for common treatments including cleaning, fillings, ceramic crowns, and root canal treatments, reflecting commitment to transparency. Interest-free payment options for dental treatment ensure that patients can access necessary care without financial burden. The practice's approach to Dental Members Macquarie St means that affordability and quality are not mutually exclusive—patients in Sydney can receive excellent clinical care from experienced dentists at fair, published prices.

Technology & Facilities

Dental Members Macquarie St integrates modern dental technology with a practical approach to delivering efficient, quality care. Digital imaging systems enable precise diagnosis with reduced radiation exposure. Treatment planning emphasises evidence-based decision-making and clear communication with patients about options and costs. The clinical environment at Dental Members Macquarie St is professional and welcoming, designed to create a comfortable atmosphere where patients feel respected and valued. The Macquarie Street location in Sydney CBD provides easy access via public transport and professional services that patients expect. The practice's commitment to transparency extends to technology choices—investments are made based on clinical necessity and patient benefit rather than unnecessary additional costs. This practical approach to facility management allows Dental Members Macquarie St to maintain lower treatment costs without compromising clinical quality or patient safety.

Why Choose Dental Members Macquarie St in Sydney

Selecting a dental provider requires consideration of clinical quality, patient care, and financial value—and Dental Members Macquarie St excels across all three dimensions. First, the practice's published pricing for common treatments eliminates price surprises and ensures transparency—patients know exactly what treatments cost before proceeding. Second, interest-free payment options remove financial barriers to care, allowing patients to access necessary treatment without stress or delay. Third, the Macquarie Street location in Sydney CBD provides exceptional accessibility via public transport and is conveniently situated for Sydney professionals and CBD workers. Fourth, patient testimonials consistently praise Dr. Clint and the team for excellent communication, gentle treatment, and fair fees—qualities that define the Dental Members Macquarie St experience. Fifth, the practice offers comprehensive services from preventive care to complex restorative treatments, meaning patients can receive diverse care without referrals to multiple specialists. Finally, the commitment to being an affordable dental practice does not compromise clinical excellence—Dental Members Macquarie St demonstrates that quality and affordability can and should coexist in dental care.

Patient Experience

At Dental Members Macquarie St, patient experience centres on respect, transparency, and genuine care. The clinical team prioritises clear communication, explaining diagnoses and treatment options in understandable language and ensuring patients understand costs and benefits before proceeding. Dr. Clint is frequently praised by patients for being a "great communicator" who explains treatment plans in detail and demonstrates genuine gentleness throughout procedures. The team's commitment to fair fees means patients can trust that recommended treatments are truly necessary and clinically justified, not financially motivated. For patients anxious about dental costs, the interest-free payment options provide peace of mind and enable them to access care without financial hardship. The professional, welcoming environment at Dental Members Macquarie St on Macquarie Street creates a positive experience where patients feel valued and respected. Regular dental care plans support preventive dentistry and long-term oral health, helping patients maintain healthy smiles whilst spreading costs over time. The availability of regular check-up plans ensures that preventive care remains affordable and accessible for all patients.

Location

Dental Members Macquarie St is conveniently located at Level 8, 183 Macquarie Street, Sydney, NSW 2000, placing the clinic in the heart of Sydney CBD. The Macquarie Street location is central to Sydney's business, professional, and commercial district, providing excellent accessibility via nearby public transport including trains and buses serving the Sydney CBD. The surrounding neighbourhood is vibrant with professional services, restaurants, and shops that make scheduling a dental appointment convenient when combined with other Sydney CBD activities. For those driving, parking is available in the surrounding Macquarie Street area, though public transport is typically the most convenient option. The central Sydney location makes Dental Members Macquarie St easily accessible for CBD workers, Sydney professionals, and patients throughout the greater metropolitan area seeking affordable, transparent dental care in a convenient Sydney location.

Patient Reviews from Sydney

4.7

★ 108 reviews

P

pubooy Chalmers

March 2026 · ★ 5

When I walked in the clinic I felt at ease it was a feeling that I have never had at a Dentist the service was very responsive and reassuring and yes very professional thanks Guys

Clinic response ():

Response from the owner a year agoThank you for the kind words. 🙏 …

C

Colin McArthur

March 2026 · ★ 5

Dr Safa Souzani was very professional and understanding of my anxiety and fear of dentist. I highly recommend him for any missing teeth replacements of plates.

Clinic response ():

Response from the owner a year agoThank you for the kind words Colin 🙏 - Safa …

M

MAZ ILAOA

March 2026 · ★ 5

Great team of doctors, excellent service one of the best in the business

E

Emmanuel Papadopoulos

March 2026 · ★ 5

My personal experience... with Dental Members Macquarie St...was top notch ,ito say the least recommend it to anyone thati is eeking a smile. " to die for" Thanking the tremendous team that looked after me ..

A

anthony ricketts

March 2026 · ★ 5

Absolutely perfection in the way they deal with their customers so friendly & make sure you feel comfortable & at ease id highly recommend them if you are looking at getting anything done with teeth.Ive referred a friend who's looking to get some work done🦷🦷🦷❤️👌 …

L

Lissa Akuila

March 2026 · ★ 5

Hello they help me alot just got my dentures really good service i would really recommend you guys to anyone that needs help they have payment plans and everything you need since everything is going up at this time! Thank you Dental members for helping me have back my smile thank you 10/10 for me.

S

Sharath Nair

March 2026 · ★ 5

I had done my Root canal from here and I would have rated more than 5 if there was an option. The best place in Sydney where people take care of you and your tooth with modern equipments and elite service. Dr.Safa is a legend who gave me an immediate closest booking date on telling my issue with pain and Dr.Alina is the coolest Dr that I have ever met, she is so happy and jolly while she is doing the anything on your tooth. Please choose this place if you want to be really happy.

K

Kris Jovevski

March 2026 · ★ 5

For someone like me, who suffers from general anxiety a trip to the dentist only exacerbates this much more I only have true praise for Dr Bulai , Celine, and all the staff at Macquarie st. I can't tell you how comfortable and relaxed I feel especially with all the work I've been having done and I am so happy and satisfied with the quality of the work ams the experience each and every time! I somewhat look forward to the next visit (which is coming up) . much love and respect for the whole team at dental members Macquarie St Sydney. Kind regards Kris

N

Narudol Preeyawonges

March 2026 · ★ 5

My dental implants been pretty well so far..and all the staff members are friendly..I'd like to thank to Dr saade,Dr.Safa for looking after me for the whole my journey Thanks you so much Sincerely Narudol

Clinic response ():

Response from the owner a year agoHello Narudol, Thank you for the 5 Star review. It's been a pleasure working with you over the last 12 months.

D

Daniel Son

March 2026 · ★ 5

Wow! These guys come HIGHLY recommended by myself. The professionalism and genuine care they've shown me has been A1. Do not go anywhere else. If your looking for quality work, than these guys are the best option by far!

Clinic response ():

Response from the owner 2 years agoThank you for your kind words!. Your recommendation means a lot to us. 🙏🙏Daniel …

Loading more reviews...
All reviews loaded

Your Safety & Quality Guarantee

Every clinic on SmileJet is evaluated by our international medical advisory board and must meet strict quality, safety, and hygiene standards.

Similar Clinics in Sydney

Nearby Clinics in Australia

Book Free Consultation

Request Sent!

We'll get back to you within 24 hours with a personalised quote.

Dental Members Macquarie St

Free & no obligation. We typically respond within 24 hours.

★ 4.7 (108 reviews)

Verify on AI

Ask AI assistants about this — powered by smilejet.app