SmileJet
Confidential โ€” for patient review

24 hour emergency dentist at Kings Cross Dental

1st floor, Dental Practice, 285-287 Gray's Inn Rd, London, United Kingdom

Last audited April 2026 By SmileJet Audit Team How we audit โ†’
4.8/5  · 65 reviews

Why Choose 24 hour emergency dentist at Kings Cross Dental in London?

Kings Cross Dental is a CQC-registered 24-hour emergency and general dental clinic in London WC1X, near King's Cross. Rated 4.6/5 with CEREC, Zoom whitening, Invisalign, and implants.

Kings Cross Dental is a leading private dental practice and 24-hour emergency dental clinic located at 285-287 Gray's Inn Road, London WC1X 8QD โ€” a highly central address near the major transport interchange of King's Cross and St Pancras International. Registered and regulated by the Care Quality Commission (CQC), the practice is led by Dr Baber Nisar (Principal Dentist) and a multi-disciplinary team of dentists, hygienists, and support staff dedicated to delivering patient-centred care across the full spectrum of general, cosmetic, restorative, and emergency dentistry. With a Google rating of 4.6/5 from over 100 verified patient reviews, Kings Cross Dental in London has earned a reputation for professional excellence, warm service, and genuine accessibility โ€” particularly its around-the-clock availability for patients in urgent dental pain across London.

What sets Kings Cross Dental apart from the majority of London dental practices is its genuine 24-hour emergency dental service: when patients call in pain outside office hours, they are answered by a real person โ€” not an answering machine or automated service. Non-registered patients are welcome to use the emergency service without prior registration, making the London WC1X practice a genuine safety net for anyone experiencing acute dental pain, trauma, or infection anywhere in the capital. Same-day emergency appointments are frequently available, and all emergency patients receive a personal follow-up call within 24 hours and a free review appointment with their treating dentist.

Treatments & Specialties

Kings Cross Dental offers a comprehensive range of treatments serving the full breadth of dental needs for London patients. Emergency dentistry is a defining specialty: the clinic is equipped and staffed to handle toothache, abscesses, cracked or broken teeth, lost crowns or fillings, dental trauma from accidents, and other acute conditions that require immediate professional attention in London. The practice's 24-hour availability and central location near King's Cross make it a first-call resource for emergency dental care across north and central London.

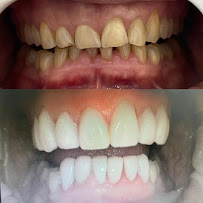
Cosmetic dentistry at Kings Cross Dental includes professional Zoom teeth whitening โ€” one of the most effective in-chair bleaching systems available in London โ€” as well as smile makeovers and composite bonding, which uses tooth-coloured resin to reshape, lengthen, or repair front teeth in a single appointment. CEREC same-day crowns allow the London team to design, mill, and fit a permanent ceramic crown during one appointment โ€” eliminating the need for temporary crowns and multiple visits. Dental implants provide a permanent, natural-looking solution for missing teeth, with the implant placement carried out by experienced clinicians at the Gray's Inn Road practice.

Orthodontic treatment via Invisalign clear aligners is available for patients seeking discreet teeth straightening in London. Root canal treatment saves teeth with infected pulp from extraction. General dentistry services โ€” including routine examinations, dental hygiene (with hygienists Neha and Klaudia), white fillings, extractions, and crown replacement โ€” maintain the oral health foundation upon which cosmetic and restorative treatments are built. The clinic also offers a holistic dentistry approach for patients who prefer minimally invasive, biocompatible treatment options.

Technology & Facilities

Kings Cross Dental is equipped with several advanced dental technologies that improve the precision, comfort, and efficiency of treatment for London patients. CEREC (Chairside Economical Restoration of Esthetic Ceramics) technology enables same-day ceramic crown fabrication: a digital 3D scan of the prepared tooth is taken intraorally, the restoration is designed on screen, and then milled from a solid ceramic block within the surgery โ€” all in a single appointment. This eliminates the need for temporary restorations and multiple anaesthetic injections.

The Wand anaesthesia delivery system is a computer-controlled injection device that delivers local anaesthetic slowly and at a constant pressure, significantly reducing the discomfort associated with traditional dental injections โ€” particularly valuable for anxious patients. Zoom whitening technology uses a specific wavelength of lamp energy to activate the bleaching gel for rapid, effective results in a single hour-long session. 360-degree panoramic X-ray (OPG) imaging provides a comprehensive view of the entire dental arch, jaw, and surrounding structures โ€” essential for implant planning, wisdom tooth assessment, and complex restorative diagnosis. Video consultations and e-Smile assessment digital services extend the clinic's accessibility beyond its physical London WC1X location.

Why Choose Kings Cross Dental in London

For London patients who prioritise genuine accessibility and around-the-clock availability, Kings Cross Dental is uniquely positioned. The authentic 24-hour emergency dental service โ€” with live telephone answering at any hour โ€” provides a level of reassurance that few London dental practices can offer. Whether a patient experiences a broken tooth at midnight, a dental abscess on a Sunday morning, or severe toothache on a bank holiday, Kings Cross Dental in London is reachable and responsive.

The clinic's multilingual team can communicate in multiple languages โ€” important in a diverse city like London โ€” and non-registered patients are warmly accepted for emergency care without any prior registration requirement. Transparent pricing ensures patients understand the costs involved before treatment begins. Free parking is available near the Gray's Inn Road practice from 7pm to midnight Monday to Saturday, and all day Sunday, making evening and weekend appointments particularly convenient for working London patients who cannot attend during standard business hours.

Patient Experience

Patient reviews of Kings Cross Dental across Google and review platforms consistently highlight the practice's warm, welcoming atmosphere โ€” a quality that is particularly meaningful for patients attending in acute pain or anxiety during out-of-hours emergencies. The combination of clinical competence and genuine human care creates a patient experience that stands out in London's often impersonal private dental market. Reviewers frequently praise Dr Baber Nisar and associate dentist Dr Leyli Bassiri for their thorough explanations, gentle technique, and the confidence they inspire in patients.

The practice's commitment to post-treatment follow-up โ€” with a personal call within 24 hours after every emergency appointment โ€” demonstrates an unusual level of care for patient outcomes beyond the clinical procedure itself. For patients undergoing elective cosmetic treatments such as Zoom whitening, CEREC crowns, or Invisalign at the London practice, the same attentive, communicative approach applies throughout the treatment journey. The Kings Cross location and the quality of the patient experience have established the clinic as a trusted dental home for London residents in WC1, N1, EC1, and surrounding postcodes.

Location & Accessibility

Kings Cross Dental is situated at 285-287 Gray's Inn Road, London WC1X 8QD โ€” in the King's Cross area of the London Borough of Camden. The practice is exceptionally well-connected within the London transport network: King's Cross St Pancras Underground station (serving the Circle, Metropolitan, Hammersmith & City, Piccadilly, Northern, and Victoria lines) is minutes away on foot, as is King's Cross National Rail station (with services to Edinburgh, Leeds, and destinations across eastern England) and St Pancras International (Eurostar connections to Paris, Brussels, and Amsterdam). The nearby Chancery Lane and Russell Square Underground stations provide additional options for patients approaching from different directions across London. The Gray's Inn Road address also benefits from free parking from 7pm to midnight on weekdays and Saturdays, and all day Sunday โ€” an advantage in central London for patients attending evening or weekend appointments.

Patient Reviews from London

4.8

โ˜… 65 reviews

D

David Waters

March 2026 ยท โ˜… 5

Was booked in on the same day whilst visiting London and was seen and had my issue resolved. Friendly staff and good service !

Clinic response ():

Response from the owner 2 hours agoDear David, Thank you so much for your kind review! ๐Ÿ˜Š Weโ€™re really glad we could help you on the same day and get everything sorted while you were visiting London. Weโ€™re delighted you had a positive experience with us. Safe travels, and youโ€™re always welcome back! โ€ฆ

R

Rutvik Kanani

March 2026 ยท โ˜… 5

Very professional clinic. Emese at the reception was welcoming and friendly. The dentist Dr Marta was gentle and caring. I would definitely recommend this clinic.

Clinic response ():

Response from the owner a week agoDear Rutvik, Thank you so much for your kind words and 5โญ review! ๐Ÿ˜Š Weโ€™re delighted to hear that Emese made you feel welcome and that Dr Marta provided gentle, caring treatment. Your recommendation means a lot to our whole team, and we look forward to seeing you again at the clinic!

S

Sarah Ibrahim

March 2026 ยท โ˜… 5

Highly recommend! Emese the receptionist gave me such a genuinely warm welcome it made a usually dreaded task into something manageable. The dentist cleaned the most intense stains ive ever had and even stayed late to make sure it was thorough. My teeth havent looked this good in years. Will defo go back for a 6 month clean

Clinic response ():

Response from the owner a week agoDear Sarah, Thank you so much for your kind review! Weโ€™re delighted to hear that Emese made you feel so welcome and that you had such a positive experience with your clean. Weโ€™ll be sure to pass your lovely feedback on to the team. Itโ€™s great to know youโ€™re happy with the results, and we look forward to seeing you again for your 6-month clean! ๐Ÿ˜Š๐Ÿฆท

A

Antonia May Cross

March 2026 ยท โ˜… 5

Dr Marta and team are amazing - I was so fearful and anxious of the dentist but they're warm, welcoming and really make me feel at ease. They've brought my teeth back to good health and I've immediately felt the difference.

Clinic response ():

Response from the owner a month agoDear Antonia, Thank you so much for your lovely review! ๐ŸŒŸ Weโ€™re so happy to hear that you felt at ease with Dr Marta and the team. Helping patients overcome fear and feel comfortable is incredibly important to us. Itโ€™s wonderful to know youโ€™re already feeling the difference in your dental health! We look forward to seeing you at your next visit ๐Ÿ˜Š

Y

yousef

March 2026 ยท โ˜… 5

I called in and had treatment done within the day; the staff were very kind and the service was great.

Clinic response ():

Response from the owner 3 months agoDear Yousef, Thank you so much for the wonderful review! Weโ€™re glad we could get you in quickly and that you felt well cared for by our team. We look forward to seeing you again! :)

V

Vidhi Gupta

March 2026 ยท โ˜… 5

I had a fantastic experience at Kings Cross Dental - this was my second visit and I booked last minute and was accommodated very efficiently and with a smile! I had a hygiene appointment as well as my teeth being filed, the dentist was very helpful and explained the procedure and made me feel immediately comfortable. Emese at reception was a delight, as she was the first time! I really enjoy coming to this practice and will be returning again shortly :)

Clinic response ():

Response from the owner 11 months agoDear Vidhi, Thank you so much for your wonderful review! Weโ€™re thrilled to hear you had such a positive experience with us. Emese, our hygienist, and the whole team are grateful for your kind words. We look forward to welcoming you back to Kings Cross Dental soon! ๐Ÿ˜Š โ€ฆ

D

Dan Clewett

March 2026 ยท โ˜… 5

The care, communication and support at Kingโ€™s Cross Dental is exceptional . I was seen quickly. I had minor surgery and the Doctor was both patient and skilled. The pain management (pain was minimal) and follow up was superb. Many thanks to all staff involved

Clinic response ():

Response from the owner 6 months agoDear Dan, Thank you for the amazing feedback! We're so glad to hear you had a great experience with us at Kingโ€™s Cross Dental. Itโ€™s wonderful that everything went smoothly, from the care to the follow-up. Weโ€™ll be sure to share your kind words with the team. Wishing you all the best!

N

Nicole Kim

March 2026 ยท โ˜… 5

Very responsive as I needed an emergency appointment and prescription!

Clinic response ():

Response from the owner a year agoDear Nicole, Thank you for your kind review! We're glad we could assist you promptly. Your comfort and care are our top priorities, and we look forward to supporting you in the future!

D

Doreen Barcy

March 2026 ยท โ˜… 5

Very friendly and helpful. Explain procedures fully and very professional. I would highly recommend KingsCross Dental.

Clinic response ():

Response from the owner a year agoDear Doreen, Thank you for your wonderful review! We're so glad you had a great experience with us. Your recommendation means a lot, and we look forward to continuing to provide you with top-quality care at KingsCross Dental!

Z

Zein Rafie

March 2026 ยท โ˜… 5

Friendly staff and top notch dental care! The receptionist was super welcoming, and the dentist did an excellent job with my fillings and whitening. Highly recommend!

Clinic response ():

Response from the owner 8 months agoDear Zein, Thank you so much for your kind words! We're thrilled to hear you had a great experience with our team and are happy with your care. We truly appreciate your recommendation! ๐Ÿ˜Š๐Ÿฆท โ€ฆ

Loading more reviews...
All reviews loaded

Your Safety & Quality Guarantee

Every clinic on SmileJet is evaluated by our international medical advisory board and must meet strict quality, safety, and hygiene standards.

Similar Clinics in London

Book Free Consultation

Request Sent!

We'll get back to you within 24 hours with a personalised quote.

24 hour emergency dentist at Kings Cross Dental

Free & no obligation. We typically respond within 24 hours.

★ 4.8 (65 reviews)

Verify on AI

Ask AI assistants about this โ€” powered by smilejet.app